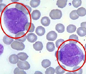
幼單核細胞幼單核細胞 胞體:直徑15-25 μ 胞核:圓形或不規則形。有摺疊之摺痕,凹陷或切跡。染色質較原單核粗糙疏鬆些,絲網織狀結構或模糊不清,淡紫紅色,核膜不清楚,核仁0-3個,不太清楚,較大。胞漿:中等量,灰蘭色,無核周界,可見嗜天青顆粒,密集在部分胞漿中。
疾病
急性單核細胞白血病:簡稱急性單白血病。屬法美英協作組分類法中的M5型。由Scirllling氏等於1913年首先描述,故又稱急性單核細胞自血病Schilling型。本病骨髓中單核細胞(包括原始、幼稚及成熟單核細胞)明顯增生,占非紅系細胞的80%或以上,如在骨髓單核細胞中原始單核大於或等於80%,則稱為未分化型(M5a),否則如幼稚及成熟單核細胞大於20%,則稱為部分分化型(M5a)。本病的臨床特點有齒齦腫脹、出血、潰瘍、壞死及口腔和咽喉部糜爛常見;
頸部淋巴結腫大較顯著,肝脾腫大較急性粒細胞白血病多見及明顯;皮膚的白血病性病損多,包括斑紅疹、結節。膿瘡疹、剝脫性皮炎等;常伴有高溶菌酶血症及高溶菌酌尿症,易致蛋白尿及腎功能衰竭;中樞神經系統白血病中較高。外周血白細胞多小於15×109/L,出現較多的原始、幼稚及成熟單核細胞。過氧化物酶在原始單核細胞中呈陰性或弱陽性反應,在幼稚單核細胞中呈弱陽性反應。特異性酯酶呈陰性或弱陽性,非特異性酯酶呈強陽性,且可被氟化鈉抑制,藉此有助於本病及急性粒單細胞白血病與其他類型的急性白血病的鑑別。治療與急性粒細胞白血病相似。應特別注意口腔及肛周的清潔護理,對中樞神經系統白血病的預防宜積極。
