症狀
1.孤立性腎囊腫,大多數無症狀。
2.囊腫較大,合併感染則可有腰痛或偶有鏡下血尿。
3.囊腫合併結石,感染則患側腎區可有叩擊痛。
孤立性腎囊腫檢查
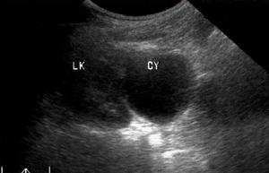
1.體格檢查,B超或CT發現腎囊腫。
2.尿路造影術顯示患腎有占位性病變,但CT或MRI除外囊腫惡變或腎癌液化。

治療原則
1.小的囊腫,無症狀不需治療。
2.大的囊腫,直徑>4cm以上者可行囊腫穿刺抽液 注藥治療(如注入四環素或95%酒精)
3.囊腫巨大,有壓迫症狀或疑有惡變則宜手術治療。
治療方法
1.囊腫較小,單純口服先鋒酶素Ⅳ或氟呱酸片就可;囊腫較大或合併感染結石,需手術治療則需靜脈用藥,療程也酌情延長。
2.囊腫內注射療法,使用的硬化劑有較多種類,但以四環素效果較好,可兼有抗感染和硬化的功能。
3.中醫治療:中醫治療腎囊腫。中醫腎臟病研究要藉助現代科技特別是現代醫學對腎臟病的新認識和新觀點,開拓思路,指導科研和臨床,提高療效。腎囊腫在中醫學中可屬“症積”、“痞塊”、“腹痛”、“尿白”和“肝陽”等範疇。先天稟賦不足,腎氣衰微,作強失職,惡血內阻,漸成囊狀,病延日久,腎氣衰於下,肝陽亢於上,濕濁停於中焦,尿少泛惡,浮腫頭痛諸症叢生,終至危境而告終。
保健貼士
1、主要見於成人,發病率隨年齡而增加,50歲以上者約半數人至少有一個囊腫;
2、單純性腎囊腫的治療,應考慮病變範圍,囊腫的性質和合併症各種因素。因為腎囊腫多發於老年人,即使囊腫較大,應考慮囊腫對腎臟和全身情況的影響,囊腫生長的速度等,如囊腫生長較快,有惡變的證據或徵象,則可手術治療。

孤立性腎囊腫危害
1、腰、腹疼痛嚴重影響患者的日常生活。
由於腰、腹的疼痛,對患者的日常生活和工作都會造成諸多的不便。
2、腎囊腫容易造成腎積水
儘管腎囊腫是以硬化方式出現的,但是還是會引發積水的,所以在身體出現腫脹時,應當注意檢查腎臟,是否有病變。
3、腎囊腫容易造成腎癰
腎癰可生在突起發熱及局部疼痛前數周有過皮膚感染史的患者,雖然不常見此類病,但是仍須謹慎。
4、腎囊腫往往伴有腎功能損害和高血壓
腎囊腫會導致腎臟局部硬化,隨之腎臟功能也受到影響。腎囊腫面積越大,腎功能受損也越嚴重。在腎臟功能受損時同時,還會伴有高血壓的出現,腎臟受損越嚴重,高血壓也就越嚴重。
5、腎囊腫容易引發腎癌
腎囊腫儘管不會產生明顯的症狀,但是容易引發腎癌症,往往發現的時候就是晚期,因此日常需要引起注意。
孤立性腎囊腫易發人群
1、家族遺傳患者。家族中有腎囊腫遺傳史的人。
2、在污染環境裡生活的人。長期在嚴重污染的環境中生活的人,或接觸有毒化學物質(包括服用腎毒性藥物)或射線的人。
3、情緒異常者。情志的異常變化,特別是長期過度抑鬱或驚恐的人。
4、過度勞累者。包括體力勞動過度、腦力勞動過度而又缺乏體育鍛鍊或鍛鍊方法、強度不當者、房勞過度者等。
5、腰、腹部出現局部不適者。腰、腹部出現局部不適者以及出現不明原因高血壓或腎功能異常者等等。
護理方法
1.兩手搓熱,手指併攏,手掌攤開,緊貼面部,以雙手中指的指腹部為先導,分別從鼻翼兩旁的迎香穴開始,沿鼻柱兩側緣向上推擦,經目內眥、眉頭等處到達前額部。
2.然後兩手左右分開,橫推至兩鬢,兩掌心也隨之掩眼而過,由兩鬢再向下,經過顳部的太陽穴及耳前、面頰等部,返回到鼻翼兩旁之起點。
3.再重新開始,按上述路線循環進行。
功效:浴面有暢通氣血、祛散風寒、明目通竅、醒腦提神及美容等作用。可用於防治感冒、頭痛、神經衰弱等。對慢性腎炎之體虛易感冒者甚宜。
