病因
多為間接暴力致傷。分為3型:
1.伸直型
比較常見,多發生兒童。肘關節伸直或過伸位跌倒,前臂鏇後掌心觸地。作用力順肱骨傳向下前方,先造成尺骨斜形骨折,殘餘暴力轉移於橈骨上端,迫使橈骨頭衝破並滑出環狀韌帶,向前外方脫位,骨折斷端向掌側及橈側成角。成人直接暴力打擊造成骨折,骨折為橫斷或粉碎型。
2.屈曲型
多見於成人。肘關節微屈曲,前臂鏇前位掌心觸地,作用力先造成尺骨較高平面橫形或短斜形骨折,橈骨頭向後外方脫位,骨折斷端向背側橈側成角。
3.內收型
多發生於幼兒。肘關節伸直,前臂鏇前位,上肢略內收位向前跌倒,暴力自肘內方推向外方,造成尺骨喙突處橫斷或縱行劈裂骨折,移位較少,而橈骨頭向外側脫位。
臨床表現
外傷後肘部及前臂腫脹,移位明顯者可見尺骨成角或凹陷畸形。肘關節前外或後外方可摸到脫出的橈骨頭。前臂鏇轉受限。腫脹嚴重摸不清者局部壓痛明顯。
檢查
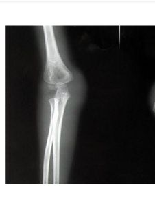
X線檢查:前臂正、側位片可以確診。應包括肘關節以免漏診,注意肱橈關節的解剖關係,必要時可拍健側X線片作對照。凡尺骨上段骨折、而X線片未見到橈骨頭脫位時,應注意除外是否為橈骨頭脫位後自行復位。
診斷
根據患者有明顯外傷史,患肢疼痛,活動受限,局限性壓痛。Х線片可確定骨折部位及移位情況。X線攝片顯示在尺骨 1/3交界處,橫形或短斜形骨折多無嚴重粉碎。如尺骨骨折移位明顯,橈骨小頭將完全脫位。在前後位X線攝片、尺側位片可見橈骨頭脫位。
治療
由於此種損傷兼有骨折與脫位,治療較為複雜。如果在具體措施上不能二者兼顧則預後多不佳,即便手術復位及內固定,其療效亦往往難以十分滿意。因此,治療時務必加以重視。需根據患者年齡及骨折情況等不同特點酌情加以處理,具體方法及要求如下:
1.兒童孟氏骨折
絕大多數可用閉合復位治療。麻醉後,將患肢置於上肢螺鏇牽引架上,在牽引下術者一手拇指壓住橈骨小頭、另一手持住患兒腕部,在邊牽引、邊鏇轉前臂的同時,迫使橈骨小頭返回原位。當聞及彈響聲時表示已還納,此時可將患肢肘關節屈曲至70°~80°,如此可減少橈骨小頭的滑出率。如橈骨小頭向後脫出,則應取略伸位,並以上肢石膏托固定。數天后腫脹消退再更換上肢石膏1~2次。
2.成人孟氏骨折
治療多較複雜。
(1)尺橈骨雙骨折+橈骨小頭脫位 原則上採取開放復位及內固定,其中包括對環狀韌帶的修補或重建。尺骨及橈骨骨折宜選用髓腔三角針或鋼板螺釘內固定,並注意尺橈骨本身的生理弧度 。
(2)其他類型者 仍先以手法復位及石膏固定。具體要求如下:①麻醉。②儘量利用骨科牽引床操作,尺骨鷹嘴以克氏針牽引。③先對橈骨頭復位。復位後屈時至80°~90°(前脫位者),或110°~120°(後脫位者),然後再對尺骨進行復位。④透視或拍片顯示骨折端對位滿意後,立即行上肢石膏固定留置繃帶於石膏內層,備石膏剖開時用;注意石膏塑形。⑤再次拍片,至少應達到功能對位,否則需改為開放復位。⑥消腫應及時更換石膏,並定期拍片及複查以防再次發生移位。如手法失敗,應儘早開放復位及內固定術。

