疾病名稱
大前庭導水管綜合徵
疾病概述
大前庭導水管綜合徵(LVAS)也稱先天性前庭水管擴大。過去對本病的診斷率較低,近年來由於高分辨CT的套用,使本病的診斷率不斷提高。
疾病別名
先天性前庭水管擴大
疾病分類
耳鼻喉科
疾病描述
大前庭導水管綜合徵(LVAS)也稱先天性前庭水管擴大。過去對本病的診斷率較低,近年來由於高分辨CT的套用,使本病的診斷率不斷提高。
症狀體徵
病人一般在2歲左右開始發病。主要表現為聽力波動性下降,個別病人會表現出突發性耳聾,也有病人表現為發作性眩暈伴波動性聽力下降,類似梅尼埃病。病人的聽力逐步下降可致全聾。
疾病病因
常染色體隱形遺傳病,家庭中多為單個病例發病。
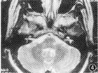
診斷檢查
主要依據高分辨CT確診。在顳骨軸位CT深測量前庭導水管直徑,超過1.5mm時應考慮本病,結合臨床表現可作出診斷。
治療方案
目前尚無有效的治療方法。早年有學者曾主張行內淋巴囊減壓術,現已證明內淋巴囊減壓術對本病無效。有殘餘聽力的病人可佩戴助聽器,極重度聾者可行人工耳蝸植入術。

