概述
基底核鈣化症隨著CT掃描健康搜尋在國內普及健康搜尋,基底核鈣化(calcificationofbasalganglia)的發現明顯增多有些是一側基底核鈣化,但大部分是兩側基底核鈣化。
國內蔣雨平等(1983)首先予以報導。近來有較多報導但本病實際發病率尚不詳Fahr病有兩側對稱性基底核鈣化,有時尚伴有小腦齒狀核和皮質散在鈣化可出現廣泛的神經損害表現,如帕金森病、舞蹈病、肌張力障礙共濟失調痴呆偶爾有抽搐等有家族史和遺傳學依據的可稱之為家族性Fahr病
兩側對稱性大腦基底核鈣化可以由許多原因造成,故這種表現實際是一種綜合徵,稱之為兩側對稱性大腦基底核鈣化綜合徵又稱Fahr綜合徵(Fahrs’ssyndrome)。Fahr綜合徵的各種原因:①特發性甲狀旁腺功能減退;②手術後甲狀旁腺功能減退;③假性或假假性甲狀旁腺功能減退;④Fahr病;⑤碳酸酐酶
基底核鈣化症病因
病因不明,目前認為主要與以下因素有關:
1.遺傳因素多為散發亦有家族性發病報告呈常染色體隱性或顯性遺傳。
2.外源性毒物激活腦內谷氨酸受體,產生神經毒作用導致鈣沉積健康搜尋
基底核鈣化症3.鐵及磷酸鈣代謝異常在Fahr病發病機制中占重要地位健康搜尋。
4.免疫因素。
發病機制:目前認為Fahr病是一種神經變性疾病,與病因有關的機制如下:
1.遺傳因素Geschwind等曾調查一個明顯遺傳傾向大家系發現患者發病年齡一代比一代提前對該家系中24名患者用微衛星DNA多態性標記檢測發現14號染色體長臂上D14S1014D14S75、D14S306位點具有明顯連鎖關係,提示遺傳因素在該病發生中起很大作用部分患者可伴其他遺傳性疾病健康搜尋,最常見為假性甲狀旁腺功能減退2型,難治性貧血等。
2.外源性毒物可激活腦內谷氨酸受體,產生興奮性神經毒作用,導致鈣健康搜尋在某些腦區沉積。有人將鵝膏蕈氨酸(ibotenicacid)注入鼠基底核區,3周后在肥大星形細胞中發現鈣斑沉積主要成分是鈣、磷還可含硫鋁矽等,與本病的病理改變相似.
基底核鈣化症3.鐵及磷酸鈣代謝異常有些家族性患者存在明顯的鐵代謝障礙如血清鐵蛋白水平下降、血清鐵及鐵結合能力降低肝、脾、骨髓和腦活檢可見鐵沉積等,主要由鐵轉運缺陷造成部分患者出現陣發性低鈣血症可能與伴發甲狀旁腺功能減退有關還可伴小腦鈣化。
4.免疫因素某些患者青年時患類風濕性關節炎檢查發現血沉明顯增快,CRPRA因子抗核抗體亦升高健康搜尋,部分病例活檢發現鈣斑周圍免疫炎性細胞浸潤.
主要病理變化:雙側基底核(尾狀核、豆狀核)可見鈣化斑健康搜尋,有時累及小腦齒狀核及大腦皮質,斑塊多位於血管外膜細胞漿內,少數位於膠質細胞突觸內。腦活檢可見大量低分化星形膠質細胞增生健康搜尋,甚至出現星形膠質細胞瘤健康搜尋主要位於早期鈣化斑形成區或大鈣化斑周圍,
基底核鈣化症臨床表現
1.家族性病例多於青春期或成年早期起病,有遺傳早發現象健康搜尋。部分患者伴少見的遺傳性疾病,如假性甲狀旁腺功能減退2型難治性貧血多種自身免疫性內分泌腺疾病等主要表現各種運動障礙,如扭轉痙攣單側或雙側手足徐動症、震顫及共濟失調等可見以肌強直為突出表現的Parkinson綜合徵及扭轉痙攣手足徐動症健康搜尋,手足徐動症隨病程可完全消失僅遺留Parkinson綜合徵症狀
基底核鈣化症2.與鈣磷代謝異常有關的甲狀旁腺功能減退或假性甲狀旁腺功能減退占基底核鈣化病例中的2/3左右.原發性甲狀旁腺功能減退造成的Fahr綜合徵,病程長有多次發作性手足抽搐史,有舞蹈、手足徐動或帕金森病樣表現小腦性共濟失調或少數患者有雙側肢體錐體束征陽性診斷原發性甲狀旁腺功能減退時需符合:無外傷或甲狀腺手術史血鈣過低、血磷過高慢性發作的手足“抽搐”史等
3.部分患者出現精神障礙如抑鬱、躁狂強迫行為、攻擊性易激惹、淡漠性別倒錯、譫妄等痴呆是該病最常見臨床表現之一健康搜尋但Fahr病痴呆類型不同於Alzheimer病及Pick病是兩者混合型。早期表現智慧型減退多為隱匿性,其後出現記憶力語言時間及空間定向力減退.
基底核鈣化症併發症:部分患者出現精神障礙,痴呆是該病最常見臨床表現之一,早期表現智慧型減退健康搜尋,多為隱匿性其後出現記憶力語言、時間及空間定向力減退
診斷:根據運動障礙症狀伴精神障礙智慧型減退等,CTMRI可見雙側基底核對稱性鈣化斑有家族史更支持診斷。須積極尋找病因明確為特發性或某些特殊原因導致Fahr綜合徵。Moskowitr(1971)提出Fahr病新診斷標準:①CT或X線片有雙側基底核對稱性鈣化;②無假性甲狀旁腺功能減退臨床表現;③血清鈣、磷健康搜尋在正常範圍內;④腎小管對甲狀腺素反應正常;⑤無感染、中毒及其他病因;⑥有或無家族史.有病因可找到的基底核鈣化,則為Fahr綜合徵。
鑑別診斷
本病須注意與各種原因引起的Fahr綜合徵鑑別(表1)
基底核鈣化症1.甲狀旁腺功能減退及假性甲狀旁腺功能減退是Fahr綜合徵最常見原因,患者血清鈣含量減少,有手足搐搦、驚厥表現。假性甲狀旁腺功能減退2型是少見的家族性遺傳病,除甲狀旁腺功能減退症狀體徵,尚有明顯骨骼及身體發育障礙。
2.兒童期顱內感染可引起基底核鈣化等報導2例兒童期腦膜腦炎患者健康搜尋,以後出現基底核鈣化一系列臨床症狀
3.新生兒Fahr綜合徵主要原因是產傷嚴重缺血缺氧性腦病、宮內窒息等,可在數月內引起Fahr綜合徵一系列表現,病史可以鑑別.
檢查
實驗室檢查:
1.血清鈣含量正常但伴甲狀旁腺功能減退或假性甲狀旁腺功能減退者血清鈣減少有低鈣臨床表現健康搜尋
2.血常規生化、腦脊液常規檢查無特異性.
其它輔助檢查:
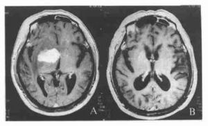
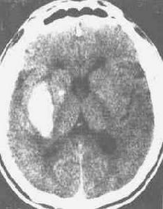
1.CT檢查可見對稱性基底核鈣化斑>800mm2,是該病重要的診斷標準,小腦齒狀核和大腦皮質也可有鈣化斑。
2.MRI檢查可見腦基底核及部分灰質T2WI高信號伴痴呆者可見雙側半卵圓中心區高信號SPECT檢查發現雙側基底核腦血流量較腦皮質明顯降低,血流量降低程度與疾病嚴重程度呈正比。
相關檢查:腦脊液,鈣.
治療
基底核鈣化症本病無特效療法健康搜尋主要對因及對症治療引起錐體外系症狀可酌情套用抗Parkinson病藥物及控制手足徐動症藥物,精神症狀可用抗精神病藥物。有報導可試用血小板凝集抑制劑或腦血管擴張劑,如複方阿魏酸鈉膠囊(利脈膠囊)氟桂利嗪(腦益嗪)尼莫地平、益利循等;用左鏇多巴/卡比多巴(神力酶)或左鏇多巴/苄絲肼(美多巴)治療震顫麻痹症狀;用硫必利(泰必利)或氟哌啶醇治療舞蹈症狀.
預防
預後:病程很長有報導可活到70歲以上。
預防:目前認為Fahr病是一種神經變性疾病預防與病因相關。有遺傳背景者預防措施包括避免近親結婚推行遺傳諮詢攜帶者基因檢測及產前診斷和選擇性人工流產等,防止患兒出生健康搜尋.
早期診斷、早期治療加強臨床護理,對改善患者的生活質量有重要意義.

