基本內容
蒼白球是位於大腦兩側半球深部的基底核的重要組成部分。基底核由尾狀核、蒼白球、殼組成。其中蒼白球和殼又被合稱為豆狀核。
圖基底核是錐體外系的中繼核。其接受大腦皮質、丘腦等處的神經衝動,並經蒼白球發出纖維至丘腦而與大腦皮質聯繫。蒼白球的下行纖維,通過紅核、黑質、網狀結構等影響脊髓下運動神經元。
一般來說,蒼白球的病變可出現肌張力增高、動作減少及靜止性震顫(如帕金森綜合徵)等症狀。

蒼白球是位於大腦兩側半球深部的基底核的重要組成部分,蒼白球病變可出現肌張力增高、動作減少及靜止性震顫等症狀。
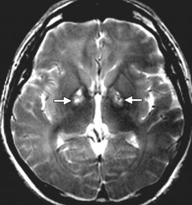
圖蒼白球黑質紅核色素變性,又名:Hallervordan-Spatz綜合徵;淡蒼白球和黑質網狀部進行性變性;蒼白球黑質色素變性(globuspallidu...
概述 病因 臨床表現 診斷 鑑別診斷蒼白球損毀手術在20世紀50年代就已經開展,不過手術效果並不一致。這可能是與選擇靶點不恰當有關。
用途 帕金森病簡介 手術準備 手術步驟 後期觀察"拉丁目名:ARANEAE中文目名:蜘蛛目拉丁亞目:Metathelae中文亞目:新蛛亞目中文科名:球蛛科拉丁科名:Theridiidae中文屬名:球蛛...
蒼白球色素變性又名是Hallervorden-Spatz綜合徵;淡蒼白球和黑質網狀部進行性變性
【概述】 【病因】 【病理】 【臨床表現】 【診斷】蒼白球黑質變性又叫Joseph病,是一種與鐵代謝異常有關的罕見...CT檢查可無明顯改變,磁共振檢查可有蒼白球萎縮和順磁物質(鐵質)沉積的低...蒼白球內嚴重的神經元缺失,代之以大量神經膠質細胞;黑質內神經元明顯減少,色澤...
參考資料s定名人:Boes. Str.年代:1906中文名:類蒼白球蛛原始文獻:Boes Abh.Sen
蒼白球黑質紅核色,是一種疾病名稱,是兒童晚期和青少年期遺傳代謝性疾病。
概述 原因 症狀 檢查 容易與哪些疾病混淆齒狀核紅核蒼白球路易體萎縮症,日本人群的發病率約為O.6/10萬人口,其他種族及人群罕見。
遺傳方式 分子遺傳學和發病機制 病理 臨床表現 輔助檢查