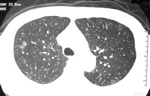
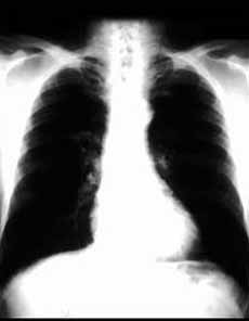
卡肺囊蟲肺炎體徵
卡肺囊蟲肺炎2.兒童-成人型(現代型)起病較急,開始時乾咳,迅速出現高熱、氣促、發紺,肺部體徵甚少,可有肝脾腫大。從起病到診斷,典型的為1~2周,接受大劑量激素治療者,病程短促,可於4~8天死亡。AIDS患者病程較為緩慢,漸進,先有體重下降、盜汗,淋巴結腫大,全身不適,繼而出現上述呼吸道症狀,可持續數周至數月。未經治療100%死於呼吸衰竭。本病症狀嚴重,但肺部體徵較少,多數患者肺部聽診無異常,部分病人可聞及散在濕囉音。
病因
卡肺囊蟲肺炎生理
卡肺囊蟲肺炎診斷
卡肺囊蟲肺炎檢查
卡肺囊蟲肺炎2.血氣和肺功能動脈血氣常有低氧血症和呼吸性鹼中毒。肺功能檢查肺活量減低。肺彌散功能(DLCO)低於70%估計值。
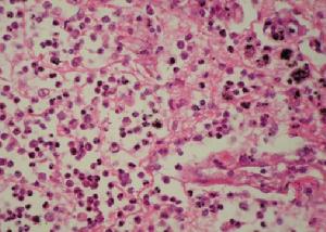
3.病原學檢查痰、支氣管肺泡灌洗液,經纖支鏡肺活檢做特異性的染色如吉姆薩(Giemsa)染色、亞甲胺藍(TBO)染色、Gomori大亞甲基四胺銀(GMS)染色,查獲含8個囊內小體的包蟲為確診依據。
4.血清學檢查常見的方法有對流免疫電泳檢測抗原,間接螢光試驗,免疫印跡試驗。檢測血清中抗體及補體結合試驗等,但缺乏較好的敏感性和特異性,尚不能用以診斷卡氏肺孢子蟲病。
治療
卡肺囊蟲肺炎1.一般治療患者應臥床休息,增加營養,糾正水電解質紊亂。糾正缺氧,經鼻或面罩給氧,FiO2<50%時,動脈血氧分壓在9.32kPa(70mmHg)以上,嚴重缺氧者則採用輔助通氣或體外膜氧。儘量減少免疫抑制劑的套用,但對嚴重瀰漫性病變者,尤其是AIDS患者則應短期使用糖皮質激素如潑尼松龍40mg,6h1次,連用7天。
2.病因治療
(1)磺胺甲噁唑/甲氧苄啶(複方磺胺甲異噁唑):是較為理想的治療藥物,初治有效率為77%。一般劑量甲氧苄啶(TMP)每天20mg/kg,磺胺甲噁唑(SMZ)每天100mg/kg,靜脈注射或分4次口服。病情嚴重者用靜脈注射,7~10天病情好轉可改用口服,療程至少14天。副作用包括皮疹、轉氨酶升高,中性粒細胞減少,血肌酐升高等,AIDS病人半數以上可出現副反應。
(2)噴他脒(Pentamidine):對肺孢子蟲有致死作用,但副反應發生率可達50%。劑量為4mg/kg,肌注,1次/d,療程14天。初治有效率為70%,復治有效率為50%。缺點是毒副反應大,主要為腎性、低血糖、直立性低血壓、白細胞和血小板減少、噁心嘔吐及肌注部位疼痛和膿腫等。主張常規藥物不能耐受和無效時用,仍可取得一定療效。有報導用噴他脒吸入治療,40mg/kg,1次/d,取得較滿意療效。AIDS患者,套用磺胺甲噁唑/甲氧苄啶(TMP-SMZ)或噴他脒療程要長,3周或更長。初期療效同非AIDS患者相似,但藥物副作用的發生率和嚴重性更明顯,復發率也高,可達50%。對TMP-SMAK或噴他脒過敏或治療失敗者,可用下列藥物:①氨苯碸(Dapsone)加甲氧苄啶(TMP),前者每天100mg,後者每天200mg/kg,分4次口服;②二氟甲基烏氨酸(DFMO,eflomithine),每天100mg/kg靜脈滴注或75mg/kg口服,每6小時1次;③克林黴素加伯氨喹,均為每次450mg,3次/d,口服。
預防
卡肺囊蟲肺炎卡氏肺孢子蟲分布廣泛,可寄生於健康人體和多種動物,病人和孢子蟲攜帶者為本病的傳染源,主要通過空氣和人與人接觸傳播。卡氏肺孢子蟲人群感染率為1%~10%,正常人感染呈亞臨床經過,血清中可檢出抗體。免疫抑制宿主感染後引起疾病,出現明顯症狀。
