流行病學
STEVENS-JOHNSON綜合症1.發病率 Stevens-Johnson綜合徵的發病率較低。Char等報導每年在每100萬人中僅有4.2人發生Stevens-Johnson綜合徵。Schoph等報導在德國Stevens-Johnson綜合徵每年的發生率為1.1/100萬。法國所報導的發病率為每年1.2/100萬~1.3/100萬,而義大利的發病率為0.6/100萬。中國尚無Stevens-Johnson綜合徵發病率的報導。
2.眼部併發症的發生率 Stevens-Johnson綜合徵患者中,80%出現眼部併發症在某些嚴重病例,急性併發症包括角膜炎、角膜穿孔嚴重者發生眼內炎。慢性併發症有結膜瘢痕瞼內翻、乾眼症和瞼球粘連等。這些併發症可繼發角膜損害,從而導致長期併發症的出現約有1/3的Stevens-Johnson綜合徵患者會出現明顯的視力改變。由於愛滋病患者經常出現淚液分泌減少,所以其併發症的發生率要明顯升高。
病因
Stevens-Johnson綜合徵的發生與多種因素有關如全身用藥、局部用藥、感染惡性腫瘤和膠原血管性疾病等。
發病機制
STEVENS-JOHNSON綜合症Stevens-Johnson綜合徵的急性期可出現OKT4+ 細胞的大量刪除現象。毒性表皮壞死溶解型Stevens-Johnson綜合徵皮膚的主要浸潤細胞就是OKT4亞群。Langerhans細胞也可能起到抗原遞呈細胞的作用或者是產生某些淋巴因子,而這些淋巴因子趨化T輔助細胞進入這些部位。毒性表皮壞死溶解型Stevens-Johnson綜合徵患者水皰內液體中的CD8淋巴細胞數量明顯增加。這些淋巴細胞缺乏CD45RA而具有高水平CD29,這表明它們是致敏性細胞毒性T細胞,可能是重要的調節細胞和效應細胞。IFN-γ1b可能具有促進多形性紅斑形成的作用,針對抗原刺激而產生的IFN-γ可以促進細胞黏附分子的表達,而這些細胞黏附分子能夠使殺傷性T細胞與表皮細胞相結合。
毒性表皮壞死溶解型Stevens-Johnson綜合徵患者的HLA-B12的陽性率明顯增高在磺胺類藥物相關性毒性表皮壞死溶解患者,HIA-B12、HLA-DR7和HLA-A29的出現率顯著上升。還難以確定毒性表皮壞死溶解是否與遺傳因素有關係。
臨床表現
紅斑毒性表皮壞死溶解型Stevens-Johnson綜合徵的前驅症狀包括不適、發熱、結膜和皮膚的燒灼感出疹常呈麻疹樣,而且可累及面部和肢端病變在後期可以相互融合,從而導致大的水皰形成和皮膚剝脫。毒性表皮壞死溶解的特點是皮膚的受損面積超過20%。口腔黏膜、唇黏膜生殖器黏膜和結膜也可受累。還可出現發熱、白細胞增多、腎功能衰竭、肺栓塞、胃腸道出血、膿毒血症等現象。
1.眼部早期表現 Stevens-Johnson綜合徵時可發生非特異性結膜炎,但結膜炎常出現在皮膚受累之前15%~75%的Stevens-Johnson綜合徵患者還會發生雙側卡他性、化膿性和假膜性結膜炎。另外可有嚴重的前葡萄膜炎。在該綜合徵的急性期可出現角膜潰瘍,其持續時間一般為2~4周。Stevens-Johnson綜合徵僅累及單眼的病例較少見。
2.慢性眼病 由於炎症反應的存在,在慢性期常有結膜瘢痕形成在球結膜和瞼結膜發生粘連時,可出現眼眶囊腫。結膜杯狀細胞破壞所引起的淚道瘢痕化可能導致淚膜異常。如果患者沒有淚道瘢痕化,那么可能出現畏光。這些患者的淚膜異常多由黏液層缺乏、角膜乾燥所引起。瞼內翻和倒睫能夠引起角膜上皮缺損。角膜病變不是急性炎症的初期表現而是杯狀細胞功能障礙倒睫和乾眼症所引起的。
3.繼發性眼部表現 少數的Stevens-Johnson綜合徵患者可出現與倒睫、瞼內翻角結膜炎和瞼緣炎無關的繼發性結膜炎症。這種結膜炎可持續8天~5周。
併發症
可以並發嚴重的前葡萄膜炎角膜潰瘍、瞼內翻瞼球粘連、角膜血管化和淚膜不穩定等。
診斷
STEVENS-JOHNSON綜合症診斷標準鑑別診斷
1.急性眼-皮膚病變 葡萄球菌感染燙傷綜合徵容易與毒性表皮壞死溶解型Stevens-Johnson綜合徵相混淆。由於這兩種疾病的治療及預後有明顯區別,所以其鑑別診斷就非常重要。葡萄球菌感染燙傷綜合徵常發生在兒童。臨床上這種患者的皮膚壓痛明顯而全身毒性症狀不明顯。葡萄球菌感染燙傷綜合徵患者的表皮能夠迅速再生,並恢復其屏障功能未發現有黏膜損傷,且表皮的剝脫僅限於表層。該疾病的起因是由於葡萄球菌釋放某種毒素,而這種毒素能夠引起表皮的損害。對於葡萄球菌感染燙傷綜合徵可以使用適當的抗生素來治療。
毒性表皮壞死溶解Stevens-Johnson綜合徵還要與中毒性休克、川崎病、Leiner病和繼發於其他疾病的紅皮病相鑑別另外還要注意熱燒傷或中毒所引起的接觸性皮炎。
2.慢性眼部病變 毒性表皮壞死溶解型Stevens-Johnson綜合徵與瘢痕性類天皰瘡非常相似。瘢痕性類天皰瘡患者的瞼球粘連比較常見,而Stevens-Johnson綜合徵則比較少見。在毒性表皮壞死溶解型Stevens-Johnson綜合徵的慢性期,典型皮膚病變有助於其診斷。在Stevens-Johnson綜合徵眼部黏膜可出現與瘢痕性類天皰瘡相似的慢性瘢痕而且其持續的最長時間可達31年。瘢痕性類天皰瘡患者的黏膜活檢可發現基底膜的線狀免疫沉著物。
慢性眼部病變的鑑別診斷還包括由細菌、藥物、變應原、化學燒傷維生素A缺乏等引起的慢性角結膜炎和沙眼等。仔細詢問病史有助於與Stevens-Johnson綜合徵的鑑別診斷。
檢查
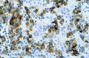
結膜細胞2.眼部的組織病理學改變 多形性紅斑型Stevens-Johnson綜合徵患者急性期眼部可出現非特異性的炎症反應。同時可發生廣泛的小動脈和小靜脈壞死,伴有膠原的纖維素樣變性在疾病的慢性期,角膜、結膜和眼瞼的瘢痕化比較明顯。Stevens-Johnson綜合徵的結膜活檢發現存在杯狀細胞缺失的現象。在Stevens-Johnson綜合徵的急性期是以非特異性炎症細胞浸潤為特徵的,可累及結膜的上皮下層。在上皮下的微血管內發現存在循環免疫複合物。在Stevens-Johnson綜合徵時可有基底部上皮細胞的增殖,而且結膜細胞增殖的程度與疾病的嚴重程度有一定的關係。
3.皮膚的病理學改變 多形性紅斑可發生表皮與基底膜分離的現象也可有內皮水腫、淋巴細胞-組織細胞的血管周圍浸潤出現在藥物關聯性Stevens-Johnson綜合徵還可出現嗜酸性粒細胞的增加。毒性表皮壞死溶解型Stevens-Johnson綜合徵與多形性紅斑型Stevens-Johnson綜合徵的病理學改變相似。真皮血管可出現明顯的內皮水腫現象最先出現的改變是真皮表皮接合部的空泡樣改變,並可進一步發展成真皮表皮分離和表皮下水皰形成。真皮層的主要炎症細胞能夠誘導輔助性T淋巴細胞亞群免疫球蛋白和補體的沉積並不顯著。
預後
Stevens-Johnson綜合徵毒性表皮壞死溶解對全身的損害較大其併發症可能會終生存在。Stevens-Johnson綜合徵毒性表皮壞死溶解的預後與早期的嚴重程度關係密切。為進一步減輕該病對視力的損害,最重要的是防止併發症的出現。為改善其預後,在皮膚病變早期對眼部進行詳細的檢查是非常必要的。同時,要考慮到其嚴重的併發症,如倒睫、角膜上皮疾患和繼發性感染。角膜上皮成形術、瞼緣縫合術無防腐劑人工淚液和矯正倒睫都可能有助於改善該綜合徵的預後。
