物質簡介
黃體
corpusluteum
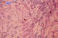
黃體溶解素黃體為排卵後由卵泡迅速轉變成的富有血管的腺體樣結構。如未受精形成的稱月經黃體,如受精則為妊娠黃體。排卵後卵泡壁塌陷,顆粒層向內形成皺襞,伴有卵泡膜內層毛細血管出血,傷口愈後,卵泡腔封閉,腔內充滿漿液性液體及血液,同時基膜崩潰,結締組織和血管隨之長入粒層,在黃體生成素作用下,顆粒細胞和卵泡膜內層細胞分裂增生,細胞成多邊形,胞質內有黃色顆粒和脂滴,呈黃色,故名。黃體細胞以顆粒細胞占多數,細胞大,著色淺,分泌孕酮;泡膜黃體細胞小,大部位於黃體外周,細胞較少,核和質都較黃體細胞深,分泌雌激素。黃體存在時間多少,視排出的卵受精與否,若卵子未受精,黃體僅維持二周即萎縮,被結締組織結疤所代替,即白體(corpusalbicans);若卵子受精成功並開始妊娠,黃體繼續增長,至妊娠2~3月後慢慢萎縮。
黃體由兩種細胞組成:
粒黃體細胞(Granulosaluteincell):由卵泡顆粒細胞轉變成粒黃體細胞,位於黃體中央,細胞大,染色淡,主要分泌孕酮。
膜黃體細胞(Thecaluteincell):位於黃體周邊,表面不平坦。細胞小,染色深,主要合成雄激素。
相關
哺乳動物黃體溶解的調控
黃體溶解的機理目前仍不十分清楚,已證實細胞凋亡在黃體溶解中起重要作用。激素和包括細胞因子在內的一些卵巢局部因子通過內分泌、自分泌和/或旁分泌方式參與了黃體細胞凋亡的調控,一些調節基因也參與了此過程。在生理情況下,它們之間可能存在著“激素-卵巢局部因子-基因“這樣一個相互影響的級聯調控機制,影響著黃體機能。

