病因病機
顱內血腫--X光片在正常狀態下,顱腔容積等於顱內血容量、顱內腦脊液量和腦組織體積三者的總和。
由於顱骨缺乏伸縮性和腦組織缺乏壓縮性,故維持正常顱內壓時,只有顱內血容量和腦脊液量的增減能起到代償作用。在顱腔內血腫形成的早期,機體可借顱內血管反射性收縮,使顱內血容量減少,腦脊液產生速度減慢,腦室和腦池排空,腦脊液經蛛網膜下腔加快吸收等作用,以代償顱內血腫所占的體積。但顱腔可供代償的容積僅為8%~10%,當血腫進一步增大,超過代償限度,即引起顱內壓增高。
病理分類
顱內血腫==硬腦膜外血腫按血腫在顱內結構解剖層次不同
(1)、硬腦膜外血腫系指血腫形成於顱骨與硬腦膜之間者。硬腦膜外血腫的主要來源是腦膜中動脈;除此之外,硬腦膜表面小血管、顱內靜脈竇、腦膜中靜脈、板障靜脈或導血管損傷也可釀成硬腦膜外血腫。(2)、硬腦膜下血腫系指血腫形成於硬腦膜與蛛網膜之間者。急性和亞急性硬腦膜下血腫的出血來源主要是腦皮質血管。
(3)、腦內(包括腦室內)血腫系指血腫形成於腦實質內或腦室內者。腦內淺部血腫多由於挫裂的腦皮質血管破裂所致,常與硬腦膜下血腫同時存在;腦內深部血腫系腦深部血管破裂所引起,腦表面無明顯挫裂傷。
按症狀出現時間的不同
(1)、急性型傷後3日內出現者,其中大多數發生在24小時以內。
(2)、亞急性型傷後4-21日出現者。
(3)、慢性型傷後3周以後出現者。
臨床表現
1、各型顱內血腫均可出現頭痛、嘔吐等顱高壓症狀,慢性血腫可有視乳頭水腫。
2、意識障礙可有不同的特點
(1)、硬膜外血腫:原發昏迷-中間清醒期-繼發昏迷。
(2)、硬膜下或腦內血腫:原發昏迷並可逐漸加重,多無中間清醒期。
(3)、遲發血腫:血腫常在傷後24-72小時發生,意識障礙逐漸加重,或意識障礙由清醒轉為昏迷。
(4)、慢性硬膜下血腫:多無意識障礙,以慢性顱內壓增高為主要表現,可出現精神異常。
3、可出現相應的神經系統定位體徵,較為表淺的腦內血腫可因伴有蛛網膜下腔出血而有腦膜刺激征。
病理診斷
症狀與體徵
(1)頭痛、噁心、嘔吐頭部外傷後出現劇烈頭痛、噁心、嘔吐頻繁時,應當考慮有顱內血腫的可能。(2)意識障礙進行性意識障礙為顱內血腫主要症狀之一。顱內血腫出現的意識變化過程,與原發性腦損傷的輕重有密切關係。若原發性腦損傷較輕時,傷後無原發昏迷,待血腫形成後始出現意識障礙(清醒一昏迷)。原發性腦損傷略重時,則常能見到典型的“中間清醒期”(昏迷一清醒一再昏迷)。若原發性腦損傷嚴重,則常表現為昏迷程度進行性加重(淺昏迷一深昏迷),或一度稍有好轉以後又很快惡化(昏迷——好轉——昏迷)。總之,原發性昏迷的長短取決於原發性腦損傷的輕重,而繼發性昏迷的遲早主要取決於血腫形成的速度。
(3)瞳孔改變顱內血腫所致的顱內壓增高達到一定程度,便可形成腦疝。一側瞳孔進行性散大,光反應消失,是小腦幕切跡疝的徵象之一,系腦疝擠壓腦幹時,動眼神經受大腦後動脈壓迫所致。單側瞳孑L散大多出現在血腫的同側,若繼續發展,腦幹受壓更加嚴重,中腦動眼神經核受損,則兩側瞳孔均散大,說明病情已進入垂危階段。
(4)生命體徵變化血腫引起顱內壓增高時,血壓隨之出現代償性增高,脈搏徐緩、充實有力,呼吸減慢、加深,血壓升高和脈搏減慢常較早出現,顱後窩血腫時,則呼吸減慢較多見。
(5)神經系統體徵傷後立即出現的局灶症狀和體徵,系原發性腦損傷的表現。單純硬腦膜外血腫,除非壓迫腦功能區,早期較少出現體徵。硬腦膜下血腫和腦內血腫立即出現偏癱等徵象,是因腦挫裂傷所致。當血腫增大引起小腦幕切跡疝時,則可出現對側錐體束征。腦疝發展,腦幹受壓嚴重時導致去腦強直。
輔助檢查
(1)I頭部x線檢查注意觀察有無骨折線通過腦膜中動脈和靜脈竇溝,一般可以幫助早期診斷。
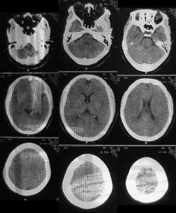
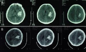
(2)cT掃描不僅可以直接顯示血腫大小和部位,還可以了解腦室受壓和中線結構移位的程度及並存的腦挫裂傷、腦水腫等情況,應及早套用於疑有顱內血腫患者的檢查。硬腦膜外血腫cT表現為顱骨內板與硬腦膜之間的雙凸鏡形或弓形高密度影;急性或亞急性硬腦膜下血腫cT表現為腦表面新月形高密度、混雜密度影,多伴有腦挫裂傷和腦受壓;腦內血腫表現為腦挫裂傷區附近或腦深部白質內類圓形或不規則高密度影。
治療方法
硬腦膜外血腫
顱內血腫--CT(1)、手術治療可根據CT所見採用骨瓣或骨窗開顱,清除血腫,妥善止血。血腫清除後,如硬腦膜張力高或疑有硬膜下血腫時,應切開硬膜探查。對少數病情危急,來不及做CT等檢查者,應直接手術鑽孔探查,再擴大成骨窗清除血腫。
(2)、非手術治療凡傷後無明顯意識障礙,病情穩定,cT所示血腫量少於30rnl,中線結構移位小於1.0cm者,可在密切觀察病情的前提下,採用非手術治療。
硬腦膜外血腫在顱內血腫中療效最好,目前死亡率已降至10%左右。導致死亡的主要原因有:
①、診治延誤,腦疝已久,腦幹發生不可逆損害;
②、血腫清除不徹底或止血不善,術後再度形成血腫;
③、遺漏其他部位血腫;
④、並發嚴重腦損傷或其他合併傷。
硬腦膜下血腫
急性和亞急性硬腦膜下血腫的治療原則與硬腦膜外血腫相仿。需要強調的是,硬腦膜外血腫多見於著力部位,而硬腦膜下血腫既可見於著力部位,也可見於對沖部位。所以,如果因病情危急或條件所限,術前未做cT確定血腫部位而只能施行探查時,著力部位和對沖部位均應鑽孔,尤其是額、顳極及其底部,是硬腦膜下血腫的最常見部位。此外,此類血腫大多伴有腦挫裂傷,術後應加強相應的處理。
急性和亞急性硬腦膜下血腫患者的預後不如硬腦膜外血腫,因為前者大多伴有較嚴重的腦損傷。
腦內血腫
腦內血腫的治療與硬腦膜下血腫相同,多採用骨瓣或骨窗開顱,清除硬腦膜下血腫和明顯挫碎糜爛的腦組織。對少數腦深部血腫,如顱內壓增高顯著,病情進行性加重,也應考慮手術,根據具體情況選用開顱血腫清除或鑽孔引流術。
腦內血腫患者的預後較差,病情發展較急者死亡率高達50%左右。
符合非手術治療指征的患者,可施行中醫藥治療,辨證施治方法與腦挫裂傷相似。
中醫辨證
顱內血腫--針刺1、血脈瘀阻證:傷後立即昏倒,或昏迷持續不醒,或偶有清醒繼又昏迷,劇烈頭痛嘔吐,煩躁擾動,喉中痰鳴,舌淡有瘀斑,苔薄白,脈弦。活血化瘀,利水消腫。活血消腫湯加減。
2、氣滯血瘀證:傷後不省人事,牙關緊閉,兩手握固,或手足拘攣,或四肢顧冷,呼吸氣粗,苔白,脈沉伏。理氣活血,化瘀開閉。桃紅四物湯加減。
3、肝風夾痰證:傷後昏迷不省,或神昏謂妄,胸高氣上,呼吸不利,喉中痰鳴,面色潮紅,煩躁抽搐,甚則角弓反張,舌紅絛,苔黃膩,脈弦細數。平肝熄風,豁痰開竅。鎮肝熄風湯加減。
(二)針刺治療
神志昏迷者針人中、十宣、湧泉穴等;呃逆者針天突,配內關、中腕;嘔吐者針內關,配足三里、天突。
(三)單方驗方
龍琥醒腦顆粒劑每次10g,沖服,每日3次。
識別病症
顱內血腫--頭部外傷頭部有外傷史:傷情可輕可重,有些傷勢很重,但不一定有血腫,有的當時很輕,後來卻形成較大血腫,因此只要有頭部外傷,就要嚴密觀察,二十小時內出現血腫機會最多,三天后才算比較放心。
頭痛、嘔吐:是血腫形成增大,導致顱內壓增高引起的症狀,頭痛為脹痛,嘔吐為噴射性,與飲食無關。
煩躁或嗜睡:這對觀察兒童傷情尤為重要,如果傷後由安靜轉為煩躁不安或嗜睡,喚醒後片刻又睡去,常意味著昏迷即將到來。
意識障礙:多在傷後立即出現短暫的神志不清或朦朧,很快清醒後,沒有任何症狀,數小時後,又出現意識障礙不清,這種昏迷──中間清醒──二次昏迷的規律表現,是硬膜外血腫的典型特徵。也有無早期昏迷的,只有遲發昏迷者,不容忽視。
定側定位體徵:一側肢體無力、感覺遲鈍、眼閉不嚴、嘴歪、以及癲癇發作等,可分析損傷或血腫的位置,家屬發現這些早期表現對醫生診斷大有幫助,因晚期已不明顯。腦疝表現:如在昏迷加深時又出現瞳孔一側大一側小,或呼吸不規律,表明有腦疝形成,病人危在旦夕,必需立即手術救治。頭部外傷後嚴密觀察是頭等重要的。發現顱內血腫,手術治療,預後較好。如果誤診或沒有及時治療,後果就難以估量。
臨證備要
顱內血腫--腦損傷即引起顱內壓增高,當顱內壓增高到一定程度可形成腦疝。根據血腫在腦內的位置不同可分為:硬腦膜外血腫、硬腦膜下血腫、腦內血腫。臨床以顱內高壓征為表現,診斷首先要明確出血的部位和出血量的多少,這對治療有指導意義。顱內血腫的治療效果與有無腦疝發生或腦幹受壓時間長短有密切關係。
有生命危險的患者,必須及時搶救,密切觀察病情變化,必要時及時請腦外科會診或轉科,千萬不可延誤搶救時機。嚴格掌握顱內血腫的開顱手術指征,一經確診儘快手術,開顱探查,清除血腫,徹底止血,減壓。中醫藥治療慢性硬腦膜下血腫較有影響的是20世紀70年代用顱內消瘀湯治療顱內血腫,用補陽還五湯加味治慢性硬腦膜下血腫,此外也有個案及少量中西醫結合綜合治療的臨床報告。以中醫為主治療這一病證難度大,但能體現中醫藥的長處。
