相關病例
顱腦外傷別讓“中間清醒期”騙了一天上午, 某學校小李與同學打桌球時因故發生爭吵,被一位同學用木椅在左側頭部砸了一下,小李當即昏倒在地上。當老師趕來時,他已經清醒過來,老師馬上將他送到醫院急診。經過醫生檢查,病人左側頭部傷處有個雞蛋大的血腫及一個約1厘米長的皮膚裂口,縫了兩針後,用消毒紗布進行了包紮,還注射了破傷風抗毒素。醫生要求把小李留下來繼續觀察,但是家長認為孩子只是頭皮受了點小傷,有點頭痛而已,因而拒絕留院觀察,帶著孩子回家了。第二天清晨,小李頭痛加劇、嘔吐,神志不太清醒,家長這時才感受病情嚴重,隨即將小李送來醫院,到達醫院他已處於深昏迷狀態,左側瞳孔散大,經CT檢查診斷為“硬腦膜外血腫”,正準備進行急診開顱手術,病人呼吸突然停止,其家長捶胸頓足,追悔莫及…… 顱腔是一個封閉腔,顱骨外是頭皮,顱骨內緊貼著一層硬腦膜,其內裹著是大腦組織。顱腦受傷後,大腦受到較大的震動,腦功能發生短暫的障礙,病人此時會出現短時間的意識障礙,如果沒有腦組織損傷,病人會很快清醒,這就是人們常說的“腦震盪”。在大腦受到震動的同時,如果發生了顱骨與硬腦膜之間的血管破裂出血,可形成危及生命的“硬腦膜外血腫”。在病人出現中間清醒之後,由於血腫壓迫腦組織,病人會再度出現昏迷。病人清醒時間的長短,取決於破裂血管的大小和出血速度的快慢,短者數分鐘,長者數小時(據統計,90%的病人在24小時內,少數病人還可更長一些)。當出血增多時,隨著腦組織受壓程度的加重,病人昏迷越來越深,同時出現脈搏減慢、血壓升高、受傷側瞳孔散大等顱壓升高和腦疝形成的症狀和體徵,這時如得不到及時診斷和手術清除血腫止血,就會危及病人生命。因此,頭部外傷的患者,尤其是有傷後短暫昏迷者,無論有無頭皮裂傷,一般都應緊密觀察24小時或更長一點時間,以便及時發現“硬腦膜外血腫”的跡象,進行早期診斷和及時手術,以搶救病人的生命。
相關影像學資料
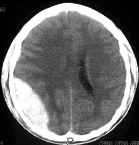
右頂部硬膜外血腫
右頂部硬膜外血腫參考資料
1. http://www.qzwb.com/gb/content/2002-08/20/content_575566.htm
中間清醒期
