病因
Spagnuolo認為本症屬類固醇激素的併發症。
發病機制
發病機制還不清楚。Spagnuolo認為由於停用類固醇激素,失去對脂肪沉積失控所致脂肪細胞內脂酶一過性障礙,引起脂肪細胞變性、損傷。
臨床表現
通常停用類固醇激素後2周左右出現大小不等的皮下結節、質硬、境界清楚有壓痛,皮損表面顏色正常或潮紅。多見於兒童,皮損常於皮下脂肪貯積最多的部位,如臀部軀幹、四肢近側端等處。本病經歷數周或數月後可自然消退。全身症狀缺如,有時可有發熱關節疼痛,重者可有心臟腸道脂肪貯積甚而可引起心衰或胃腸症狀,危及生命。
診斷
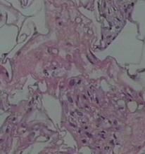
根據臨床表現,皮損特點組織病理特徵性即可診斷。
檢查
組織病理:皮下脂肪小葉間早期有中性粒細胞與單核細胞為主的炎症浸潤。晚期出現組織細胞、泡沫細胞、淋巴細胞和異物巨細胞浸潤,脂肪細胞變性、細胞內含有針狀結晶,類似新生兒皮下脂肪壞死症所見脂肪結晶,甚至可見整個腸道脂膜炎病變。
治療
本病症狀常可自然消退無須特殊治療。
預後
病經歷數周或數月後可自然消退。重者可有心臟、腸道脂肪貯積,甚而可引起心衰或胃腸症狀,危及生命。
預防
避免大劑量使用類固醇激素或停止使用時需要逐漸減量而停止。

