簡介
過氧化物酶體普遍存在於真核生物的各類細胞中,但在肝細胞和腎細胞中數量特別多。與溶酶體不同,過氧化物酶體不是來自內質網和高爾基體,因此它不屬於內膜系統的膜結合細胞器。過氧化物酶體的標志酶是過氧化氫酶,它的作用主要是將過氧化氫(H2O2, Hydrogen Peroxide)水解。過氧化氫(H2O2)是氧化酶催化的氧化還原反應中產生的細胞毒性物質,氧化酶和過氧化氫酶都存在於過氧化物酶體中,從而對細胞起保護作用。
發現
由J. Rhodin(1954)首次在鼠腎小管上皮細胞中發現。是一種具有異質性的細胞器,在不同生物及不同發育階段有所不同。直徑約0.2~1.5um,通常為0.5um,呈圓形,橢圓形或啞呤形不等,由單層膜圍繞而成(圖6-31)。共同特點是內含一至多種依賴黃素(flavin)的氧化酶和過氧化氫酶(標誌酶),已發現40多種氧化酶,如L-胺基酸氧化酶,D-胺基酸氧化酶等等,其中尿酸氧化酶(urate oxidase)的含量極高,以至於在有些種類形成酶結晶構成的核心。
形態結構
過氧化物酶體(peroxisome)又稱微體(microbody), 過氧化物酶體在1954年被發現時, 由於不知道這種顆粒的功能,將它稱為微體(microbody)。
圖中p黑色球狀物為過氧化物酶體過氧化物酶體是由一層單位膜包裹的囊泡, 直徑約為0.5~1.0μm, 通常比線粒體小。與溶酶體不同,過氧化物酶體不是來自內質網和高爾基體,因此它不屬於內膜系統的膜結合細胞器。過氧化物酶體普遍存在於真核生物的各類細胞 中,但在肝細胞和腎細胞中數量特別多。過氧化物酶體含有豐富的酶類,主要是氧化酶,過氧化氫酶和過氧化物酶。氧化酶可作用於不用的底物,其共同特徵是氧化底物的同時,將氧還原成過氧化氫。過氧化物酶體的標誌酶是過氧化氫酶,它的作用主要是將過氧化氫(H2O2, Hydrogen Peroxide)水解。過氧化氫(H2O2)是氧化酶催化的氧化還原反應中產生的細胞毒性物質,氧化酶和過氧化氫酶都存在於過氧化物酶體中,從而對細胞起保護作用。
功能反應
過氧化物酶體的功能:
(1)使毒性物質失活
這種作用是過氧化氫酶利用過氧化氫氧化各種底物, 如酚、甲酸、甲醛和乙醇等,氧化的結果使這些有毒性的物質變成無毒性的物質,同時也使H2O2進一步轉變成無毒的H2O。這種解毒作
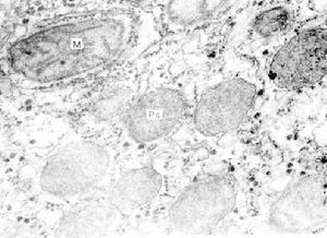
人肝細胞過氧化物酶體(Ps,沒有尿酸氧化酶結晶)(2)對氧濃度的調節作用
過氧化物酶體與線粒體對氧的敏感性是不一樣的,線粒體氧化所需的最佳氧濃度為2%左右,增加氧濃度,並不提高線粒體的氧化能力。過氧化物酶體的氧化率是隨氧張力增強而成正比地提高。因此,在低濃度氧的條件下,線粒體利用氧的能力比過氧化物酶體強,但在高濃度氧的情況下,過氧化物酶體的氧化反應占主導地位,這種特性使過氧化物酶體具有使細胞免受高濃度氧的毒性作用。
(3)脂肪酸的氧化
動物組織中大約有25~50%的脂肪酸是在過氧化物酶體中氧化的,其他則是在線粒體中氧化的。另外,由於過氧化物酶體中有與磷脂合成相關的酶,所以過氧化物酶體也參與脂的合成。
(4)含氮物質的代謝
在大多數動物細胞中,尿酸氧化酶(urate oxidase)對於尿酸的氧化是必需的。尿酸是核苷酸和某些蛋白質降解代謝的產物,尿酸氧化酶可將這種代謝廢物進一步氧化去除。另外,過氧化物酶體還參與其他的氮代謝,如轉氨酶(aminotransferase)催化氨基的轉移。
過氧化物酶體的反應:
各類氧化酶的共性是將底物氧化後,生成過氧化氫。
RH2+O2→R+H2O2
過氧化氫酶又可以利用過氧化氫,將其它底物(如醛、醇、酚)氧化。
R′H2+H2O2→R′+2H2O
此外當細胞中的過剩時,過氧化氫酶亦可催化以下反應:
2H2O2 → 2H2O + O2
動物中的過氧化物酶體
在動物中過氧化物酶體參與脂肪酸的β氧化(另一細胞器是線粒體),大鼠肝細胞過氧化物酶體在服用降脂靈後,酶濃度升高10倍。此外過氧化物酶體還具有解毒作用,因為過氧化氫酶能利用H2O2將酚、甲醛、甲酸和醇等有害物質氧化,飲入的酒精1/4是在過氧化物酶體中氧化為乙醛。
動物細胞中的過氧化物酶體植物中的過氧化物酶體
在植物中過氧化物酶體主要有:①參與光呼吸作用,將光合作用的副產物乙醇酸氧化為乙醛酸和過氧化氫,②在萌發的種子中,進行脂肪的β-氧化,產生乙醯輔酶A,經乙醛酸循環,由異檸檬酸裂解為乙醛酸和琥珀酸,加入三羧酸循環,因涉及乙醛酸循環,又稱乙醛酸循環體(glyoxysome)。
菸草葉肉細胞的過氧化物酶體(中央具有尿酸氧化酶)進化角度
從系統發生的角度來看:過氧化物酶體可能是一種古老的細胞器,在光合生物出現後,大氣中的氧含量逐漸提高,而細胞內的氧對早期的生物具有毒害作用,過氧化物酶體的功能就是消除細胞內的氧,並產生細胞所需要的某些代謝物。雖然在過氧化物酶體中黃素蛋白、氧化酶和過氧化氫酶之間可以形成一個簡單的呼吸鏈,但不起能量轉換的作用。後來線粒體產生後就取代了過氧化物酶體的這種功能,並且其電子傳遞與ATP合成相偶聯。
從個體發生的角度來看:過氧化物酶體來源於已存在過氧化物酶體的分裂。過氧化物酶體中所有的酶都由核基因編碼,在細胞質基質中合成,在信號肽的引導下,進入過氧化物酶體,引導蛋白質進入過氧化物酶體的信號序列是-Ser-Lys-Leu-COO-。但對於過氧化物酶體膜上與蛋白輸入有關的受體和轉位因子了解甚少,至少和23種被稱為peroxin的蛋白有關,其機理顯著不同於線粒體和葉綠體的蛋白轉運,如受體Pex5(一種peroxin)是伴隨著貨物進入過氧化物酶體的,然後再返回細胞質。
引發疾病
Zellweger綜合徵是一類與過氧化物酶體有關的遺傳病,也叫腦肝腎綜合徵,患者細胞的過氧化物酶體中,酶蛋白輸入有關的蛋白質變異,過氧化物酶體是“空的”。腦、肝、腎異常,出生3-6個內後死亡。
