概述
豬結核病豬結核病是由結核分枝桿菌(Mycobacteriumtuberculosis)所引起的人畜和禽類的一種慢性傳染病,其病理特點是在多種組織器官形成肉芽腫和乾酪樣、鈣化結節病變。其很早就存在於人類生活環境中,在2000多年前就有結核發病情況的記錄,在埃及木乃伊中也發現了骨病變。在中國,結核病也曾給中華民族和動物飼養造成了嚴重的危害,解放後,全國開展了大規模防“癆”治結核行動,通過開展愛國衛生運動,改變人們不良的衛生習慣,提高了全民身體素質;並開展了接種卡介苗、結核菌素等措施,提高人體對結核病的抵抗力。全民結核病感染率、患病率、發病率、死亡率等有大幅度下降;同時加強對患病動物接種卡介苗結合結核菌素試驗,淘汰陽性動物,使社會上對結核病總體控制能力達到一定的水平,結核病感染髮病率等呈逐年下降趨勢。
病原
豬結核病引起結核病的分枝桿菌主要有三種,結核分枝桿菌(Mycobacteriumtuberculosis)亦稱人型結核菌,主要感染人、類人猿、猴、狗、牛等,也感染豬,但對豬病變一般認為僅局限於腸膜和頸部淋巴結,但現在已發現在豬肺部出現乾酪樣結核病;牛分枝桿菌(M.bovis),亦稱牛型結核菌,主要感染牛,但豬與病牛接觸也可感染;禽分枝桿菌(M.avian),亦稱禽結核菌主要感染家禽,某些哺乳動物與病雞或病禽圈舍的墊料等接觸也可感染,其中以兔和豬最易感。
豬對三型分枝結核桿菌人型、牛型和禽型均敏感。VanEs和Martin(1925)的調查表明,在美國絕大多數結核病由禽分枝桿菌引起,而且禽分枝桿菌的血清型1,2,4和8從豬結核病灶中最常分離到(Mitcheu等,1975;Thoen等,1975b)。在美國和其它國家澳大利亞、巴西、法國、德國、日本和南非等國家至少從豬中分離出15個血清型禽分枝桿菌,由此可以看出,由禽分桿菌引起的豬結核病在世界廣泛分布。在豬結核病中也分離到人型分枝桿菌。
在動物病灶內的結核桿菌比較細長而略彎曲,長1~4微米,寬0.2~0.5微米,兩端鈍圓。單在或成叢排列。菌體內有顆粒狀結構,並具有分枝狀特點。無鞭毛、無莢膜、無芽孢,在人工培養基上,由於菌型、菌株、菌齡和環境條件的不同,可出現多種形態,如球形、棒狀或絲狀。
本菌為革蘭氏陽性,一般染料難以著染,若加溫或用媒染劑染色後,可抵抗鹽酸酒精的脫色作用,Ziehl-Neelsen氏染色法是常用的一種抗酸性染色法。經此法染色後,結核桿菌呈紅色,其他非抗酸菌和細胞雜質均呈蘭色。
結核桿菌能被螢光染料,如金胺著染,在螢光顯微鏡下呈現明亮的金黃色螢光。
豬結核病結核桿菌為嚴格需氧菌,在pH6.0~8.0均能生長,最適生長pH為6.5~6.8。最適生長溫度為37~37.5℃。生長速度很慢,據報導在人工培養基上最快的分裂速度為18小時一代,需2~6周才能出現肉眼可見的菌落。對營養要求極高,必須在含有血清、雞蛋、甘油、馬鈴薯及某些無機鹽的特殊培養基上,才能良好地生長,初代分離培養,更是如此。在固體培養基上,菌落呈灰黃白色,乾燥顆粒狀,顯著隆起,表面粗糙皺縮,形式菜花狀。
在液體培養其內,在液面形成粗紋皺膜,培養基保持透明,若培養液中加入吐溫-80,可使結核桿菌呈分散均勻生長。
結核桿菌不發酵糖類。過氧化物酶陽性,人型結核菌能還原硝酸鹽為亞硝酸鹽。某些菌株能產生少量硫化氫。V-P及甲基紅試驗均為陰性。在牛乳中生長,牛乳無變化。
結核桿菌因含大量的脂類,抵抗力較強,對於乾燥的抵抗力特彆強大。在乾燥痰液,病變組織和塵埃內能存活2~7個月。在陰暗處能存活數周,對直射日光較敏感。痰內細菌經照射0.5~2小時後死亡。但散光對其殺滅作用不強,雖經照射40天或更長時間,細菌仍然存活。對紫外線敏感。
結核桿菌對濕熱敏感,65℃15分鐘,70℃10分鐘,80℃5分鐘,100℃立即死亡。
結核桿菌對化學消毒藥抵抗力較強,5%石灰酸和2%來蘇兒,經12~24小時才能殺死。在4~5%鹼液中能維持數小時。在4%氫氧化鈉,3%鹽酸或6%硫酸中半小時,活力不受影響,因此常用於處理有雜菌污染的樣品。
流行病學
豬結核病本菌可侵害多種動物,三型菌均可感染豬。豬主要通過消化道感染,也可通過呼吸道感染。結核病患豬是本病的傳染源,特別是通過各種途徑向外排菌的開放性結核患畜。肺結核乳頭的痰、乳腺結核分泌的乳汁、腸結核病畜排泄的糞便等污染空氣、廄舍、飼料和飲水而成為重要的傳染源。給豬飼餵結核病畜的內臟或未煮熟的下腳料、來自結核病人的泔水、結核病牛未經消毒的牛奶和其它副產品等均可使豬發病。患結核病的牛、雞糞便中含有活的結核桿菌,用雞、牛糞便及剩料餵豬同樣是危險的。飼養過結核病雞的場地上養豬,也可以使豬感染髮病。本病多為散發,無明顯的季節性和地區性。
病理學
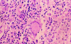
豬結核病病變常局限在咽、頸部淋巴結和腹腔淋巴結。病理學特點是在器官組織發生增生性或滲出性炎症,或兩者混合存在。機體抵抗力強,對結核菌的反應以細胞增生為主,形成增生性結核結節,由類上皮細胞和巨細胞集結在結核菌周圍,形成非特異性肉芽組織。當機體抵抗力低時,則以滲出性炎症為主,即在組織中發生纖維蛋白和淋巴細胞的彌蔓性沉積,後發生乾酪樣壞死、化膿或鈣化。牛結核桿菌引起的可在肝臟、肺臟、脾臟、腎臟等器官及其相應淋巴結形成多少不等、大小不一的結節性病變,尤其在肺和脾較為多見。
症狀
豬結核病豬對三型結核菌都有易感性,且對禽分枝桿菌的易感性較其它哺乳動物高,但牛分枝桿菌比其它兩型的結核菌會在豬中引起更嚴重的病,呈進行性感染,常導致死亡。豬結核病主要經消化道感染,多表現為淋巴結核,在扁桃體和頜下淋巴結髮生病灶,很少出現臨床症狀。當腸道有病灶時則發生下痢。
診斷
豬結核病結核病感染豬群生前一般無明顯症狀,可根據死後的剖檢病變進行診斷,必要時可做變態反應試驗、細菌學和血清學試驗進行確診。
變態反應試驗是目前診斷該病最現實的方法。該診斷方法主要包括提純結核菌素(PPD)和舊結核菌素(O.T)診斷方法。用牛分支桿菌提純菌素0.1mL或舊結核菌素原液0.1mL,在豬耳根外側皮內注射,另一側注射禽分支桿菌提純菌素0.1mL,48~72h後觀察判定,發生明顯紅腫者為陽性。
細菌學試驗可采病畜的痰、尿、糞、乳及其他分泌物,做塗片檢查、細菌的分離培養和培養物的動物接種試驗。
血清學診斷檢測特異性抗體可用多種方法,如凝集反應、瓊脂擴散試驗、沉澱反應:酶聯免疫吸附試驗(ELISA)被認為是目前較好的方法。
預防
豬結核病平時性的預防措施:本病一般不採取免疫,平時應注意加強飼養管理,避免各種不良應激,提高豬群的非特異性免疫力,建立切實、有效、可行的獸醫衛生防治制度,以保證平時性防疫工作落到實處,有條件的種豬場可反覆檢疫淘汰隱性感染豬,培育健康豬群。引種時注意隔離檢疫,防止外來結核分枝桿菌侵入。豬場內不可飼養其他動物,以免互動感染,同時不可用未經處理的雞糞餵豬。
流行時的防治措施:發病後病豬及用變態反應檢出的陽性豬應立即淘汰,病變部位廢棄處理或焚燒,豬場有關人員應注意個人防護,污染場地和有關用品用20%漂白粉或20%石灰乳進行嚴格消毒,豬舍應嚴格消毒2~3次,經3~6個月空舍方可再度養豬。
治療
豬結核病儘管結核桿菌對鏈黴素、異煙肼類和對氨基水楊酸等敏感,但豬發病通常不予治療。

