簡介
變形蟲又音譯為“阿米巴”。細胞膜纖薄;由於原生質的流動,使身體表面生出無定形的指狀、葉狀或針狀的突起,稱為“偽足”,身體即藉此而移動。身體的形狀輪廓也會隨偽足的伸縮而有變化。偽足間可自由包圍融合,藉此包裹事物進行消化。自然界常見的為大變形蟲。大變形蟲可吞噬草履蟲。
變形蟲是一種單細胞生物,屬原生動物,主要生活在清水池塘,或在水流緩慢藻類較多的淺水中,以至一般泥土也可找到,亦可成寄生蟲寄生在其他生物裡面。
變形蟲能感染人類神經系統,而且一旦感染很難治癒,可能導致感染者在一周內死亡。喝水通常不會感染影響大腦的疾病,但在髒水中游泳或用污染水清洗口鼻,則有可能感染。
分類
界:動物界
門:原生動物門
綱:肉足綱
科:變形蟲科
特點
世界上各種生物都有自己的形狀和獨特的模樣,可是變形蟲卻與眾不同,它的身體只有孤零零的一個細胞,細胞由薄膜、細胞質和細胞核組成,沒有心肝脾肺腎。但動物的一切生理機能,如運動、消化、呼吸、排泄等,都可以由這唯一的細胞承擔。
變形蟲通常在污水、池塘或濕土中生活,當它捕食、運動和抗敵時,細胞質便伸出去,形成“偽足”。這個偽足可以從身體的任何一部位延伸出來,而且各條偽足經常在伸縮著,因此它的形態也就經常變換,不能定形。
變形蟲是沒有屍體的動物。當變形蟲長大之後,就開始繁殖,由一個分裂而變成兩個。這樣,老的變形蟲就消失了。難怪科學家稱變形蟲為“永遠不死”的動物,或者稱之為“永生的蟲”。
變形蟲這一家族有不少種類。例如在海水中生活的有孔蟲、夜光蟲、放射蟲,在淡不中生活的有太陽蟲、變形蟲,在人體和動物體內寄生的有瘧原蟲、痢疾內變形蟲。
變形蟲等原生動物,可以用來作為判定水質污染程度的指標動物。
圈養細菌做種
最小的農場主:變形蟲盤基網柄菌生活在土壤里的粘菌里一些單細胞生物體的行為表現出最基本的農業形式。例如吃細菌的土棲變形蟲會把細菌節省下來,留作“種子”,這些微小的單細胞生物體也許是世界上最小的農場主。
變形蟲不會把特定地點的所有細菌都吃光,它們會留下一些,在缺少食物來源的地方把它們當作“種子”進行播種。大約有三分之一的變形蟲扮演著“農場主”的角色。變形蟲盤基網柄菌(Dictyosteliumdiscoideum)生活在土壤里的黏菌里,這些微小的單細胞個體展現出與眾不同的社會再生產形式。
成千上萬個這種生物體聚集在一起,形成一個移動的多細胞“鼻涕蟲”。它產生的“子實體”包含孢子,孢子可以長成新細胞。盤基網柄菌在耗盡食物時,會選擇群居,但不是有性生殖。一些情況下,子實體不僅包含孢子,而且有在覓食地節省下來的細菌。
隨著孢子在新地點落腳,這些細菌將像“種子”一樣,為它們的生存提供食物來源。喜歡群居的盤基網柄菌存在一種原始的耕種合作關係,這包括播種和收穫莊稼。大約三分之一的無性生殖有機物從事細菌養殖工作。
盤基網柄菌不是一次吃完所有細菌,而是很早開始停止進食,把剩下的細菌合併到它們的子實體裡。它們在散播孢子時,會一併帶上細菌,它們找到合適地點後,會用這些細菌‘播種’新食物,如果新地點食物匱乏,這種做法將為它們的生存創造條件。科學家在美國維吉尼亞州和明尼蘇達州的幾個地方收集到35個變形蟲變種。他們能分辨出屬於同一種類的變形蟲牧場主和非牧場主。
病原體
主要有痢疾內變形蟲、開氏棘變形蟲、卡氏棘變形蟲、星棘變形蟲、多噬棘變形蟲、巴勒斯坦棘變形蟲、羅氏棘變形蟲、哈氏棘變形蟲、福氏納氏蟲等。重要病原體為痢疾內變形蟲。
痢疾內變形蟲(Entamoebahistolytica)又名溶組織阿米巴,屬於原生動物門,肉足綱,根足亞綱。寄生在人的腸道內,自由生活,能溶解腸壁組織引起阿米巴痢疾。其形態按照生活過程可分為三型:大滋養體,小滋養體和包囊。所謂滋養體,是寄生原蟲的寄生階段。痢疾內變形蟲的大小滋養體結構上基本相同,不同的是大小,大滋養體約12-40納米,運動活潑,能分泌蛋白分解酶,溶解腸壁組織;小滋養體約7-15納米,偽足短,寄生於腸腔,運動較緩慢,僅以細菌和黴菌為食物。包囊具有抵抗不良環境的能力,是原蟲的感染階段。除阿米巴痢疾外,還會造成肝膿腫。當藥物進入腸道時,它們會形成孢子而隨糞便排出體外,經人、畜飲水後再進入寄主體內。
阿米巴痢疾分布遍及全球,以熱帶和亞熱帶地區為多見,毒力較強的蟲株也集中於這些地區,呈穩定的地方性流行。感染率與社會經濟水平、衛生條件、人口密度等有關。如溫帶已開發國家感染率為0%~10%,熱帶開發中國家則可達50%以上,農村患者多於城市。夏秋季發病較多,男多於女,典型的年齡曲線高峰在青春期或青年期。多呈散發性,水源性流行偶有發生。
普通型起病多緩慢,全身中毒症狀輕,常無發熱,腹痛輕微,腹瀉,每日便次多在10次左右。愈後一般良好,與病程長短、有無併發症、是否及早診斷和及時有效地治療有關。暴髮型患者、有腦部遷徙性膿腫、腸穿孔及瀰漫性腹膜炎等患者預後較差。
食腦變形蟲
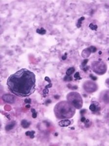
顯微鏡下看到的被變形蟲感染的腦組織福氏納格里阿米巴原蟲能“吃”人腦子,是指原蟲進入人腦後,迅速繁殖然後沿著腦膜向腦中心部位播散,引起化膿性腦膜腦炎、血管出血和腦實質壞死。由於福氏納格里阿米巴原蟲在自然界以吃細菌和其它微生物為生,它們的體內經常寄生著許多細菌,因此還有可能把細菌帶進腦子裡,引起細菌性炎症。
從原蟲鑽入腦,到出現腦膜腦炎的症狀(即潛伏期)僅需要5~8天。感染者最初是頭痛、嘔吐、咽痛、流鼻涕。二三天后頭痛、嘔吐加重,並出現高熱,體溫可高達39℃~40℃。有些病人還會出現運動失調、定向力障礙、復視、行為和性格改變或精神錯亂。疾病繼續發展,病人會發生抽搐,最終進入昏迷和呼吸衰竭。絕大多數病人一旦患病生存的希望十分渺茫,大多數在1周內死亡。
![變形蟲[生物] 變形蟲[生物]](/img/9/c44/nBnauM3XwgzN4kDOzIzM5gTO5MTMxczM3ITNyQTNwAzMwIzLyMzLwczLt92YucmbvRWdo5Cd0FmLxE2LvoDc0RHa.jpg)
