概述
良性顱壓增高症又稱假性腦瘤。漿液性腦膜炎。中毒性腦積水。耳源性腦積水。高壓性腦膜積水。假性腦膿腫。原因不明的腦水腫。未確定原因的視乳頭水腫。腦脊液吸收減少症候群等。是一組病因尚不完全清楚具有顱內壓增高的症狀。無局限性神經系統體徵。腦脊液各項化驗正常。預後較為良好。並應除外顱內腫瘤。炎症。阻塞性腦積水等疾病的綜合征。
病因
在大多數病例中病因學不明;本綜合徵包括了不同病因引起的若干病症,這一點是不容置疑的.假性腦瘤較常見於20~50歲之間的女性,特別是體重超過正常標準者.在兒童中,長期腎上腺皮質激素治療的突然中止,或攝入過量的維生素A或四環素,都能引起假性腦瘤.一般都能自發恢復.
症狀和體徵
包括程度不定的頭痛(往往是輕度)以及視神經乳頭水腫,而病人在其他各方面的表現看來都健康.部分或完全的單眼失明(唯一比較嚴重的神經體徵)可見於5%左右的病例,生理盲點常有擴大.CT與MRI一般都正常,或者顯示腦室系統略小.腦電圖正常.腦脊液壓力增高,但腦脊液成分正常.
累及矢狀竇後1/3或一側橫竇或直竇的顱內靜脈竇的閉塞;繼發於肺部疾病中慢性二氧化碳瀦留與血氧過低症的顱內壓增高;或者偶爾由一些不太明確的異常例如缺血性貧血與甲狀旁腺功能不足所引起的顱壓增高;以上這些情況的臨床表現都可以與假性腦瘤相似.
臨床表現
良性顱壓增高症高顱壓綜合徵是神經科常見的綜合徵,指顱腔內的壓力即腦內壓力增高,一般顱內壓力常用蛛網膜下腔的腦脊液壓力來表示。臨床上以頭痛、嘔吐和視乳頭水腫為其主要特徵。
(一)頭痛
頭痛是顱內壓增高的主要臨床表現和主訴。其發生率達90%以上。並且常常是最早出現的臨床症狀。顱內壓增高的頭痛往往是持續性頭痛或間歇性頭痛。頭痛的程度輕重不等;患病早期較輕微。也可以不典型。隨著病情的進展。頭痛逐漸加劇。以早晨起床時頭痛最為明顯。頭痛多為瀰漫性。或前額或後枕部明顯。頭痛可以隨著咳嗽。噴嚏。用力大便時加重。頭痛的機理可能是由於顱內壓增高壓迫。牽拉。刺激腦膜或腦內疼痛敏感組織如腦內靜脈和靜脈竇。腦膜中動脈。顱底大血管及其分支。三叉神經感覺支。舌咽神經。迷走神經以及頸神經顱內支等而致。位於啞區的占位性病變引起顱內壓增高的時間常較晚些。一般來說。頭痛不能作為顱內占位性病變定位診斷的主要指標。但有參考意義。當腦室系統的占位性病變。如第三腦室。第四腦室或導水管有占位性病變時。這種病變組織可以成為腦室系統中的活瓣。隨著體位的改變阻塞腦脊液循環。造成急性顱內壓增高。從而出現突然劇烈的頭痛。嘔吐和眩暈。重者甚至出現昏迷和呼吸循環功能紊亂。當改變體位時。臨床症狀消失。這種現象臨床上叫做Bruns綜合徵。
囪門未閉嬰兒的顱內壓增高。一是患兒不能敘述是否有頭痛。往往是表現為煩躁。哭啼。二是顱內壓增高可以由囪門的隆起而代償。檢查時可感覺到囪門飽滿。張力增高。老年人由於腦萎縮及老年人對顱內壓增高反應遲鈍。頭痛可以不明顯。
(二)嘔吐
與飲食無關的嘔吐。常在清晨空腹時出現。嘔吐劇烈。多呈噴射性。噁心可以不明顯。經常伴有劇烈的頭痛。嘔吐的原因可能是由於顱內壓增高刺激迷走神經核所致。也可能是由於顱內壓增高。腦內的血液相對較少。導致腦供血不足。腦組織缺血。缺氧。位於延髓的嘔吐中樞缺血缺氧而致。
〔三)視乳頭水腫
視乳頭水腫是顱內壓增高的主要體徵。視神經乳頭水腫是指視乳頭表面和篩板前區神經纖維的腫脹。
顱內壓增高時。壓力傳至視神經周圍的蛛網膜下腔。影響視網膜中央靜脈和淋巴組織的回流。引起視乳頭表面及其鄰近視網膜上的小血管擴張。靜脈淤滯。隨著顱內壓的增高壓迫更為明顯。視網膜中央靜脈擴張充血。毛細血管擴張。內皮細胞分離。可引起滲血和出血。視乳頭水腫多為雙側同時發生。無神經系統定位意義。如一側水腫。或一側水腫另一側萎縮等多能提示病變的部位。
通過檢眼鏡檢查所發現的早期視乳頭水腫。即在視乳頭周圍有毛刺樣邊界不清。隨著水腫的發展。視乳頭邊緣逐漸模糊。視乳頭充血。顏色成紅色。視乳頭生理凹陷消失。視乳頭隆起。常超過2個屈光度。視網膜靜脈充盈。怒張。搏動消失。顱內壓持續增高甚至可有滲血和出血。點狀甚至片狀出血。火焰狀出血。隨著病情的進展和時間的延長。視乳頭長期得不到血液供應而成為繼發性視神經萎縮。即視乳頭邊緣不清。可出現生理盲點擴大。周邊視野向心縮小。中心視力暗點及陣發性黑蒙。視力下降甚至失明。
輕度視乳頭水腫可以在顱內壓增高几小時內形成。高度視乳頭水腫一般需要幾天的時間。當顱內壓增高解除之後。視乳頭水腫即開始消退。1周左右即可以發現視乳頭水腫明顯減輕。
(四)其他表現
良性顱壓增高症1。外展神經麻痹和復視由於外展神經在顱內走行較長。當顱內壓增高時。部分患者可以使外展神經受壓而出現完全或不完全性麻痹。使患側眼球外展受限。而其他方向活動正常。臨床上導致復視。
2。耳鳴和眩暈由於顱內壓增高部分患者可能使內耳迷路及前庭受到刺激或內耳充血。導致耳鳴和眩暈。
3。抽搐發作一般單純的。較輕的顱內壓增高時不出現抽搐。抽搐發作多在顱內壓增高的後期或顱內壓增高是由於腦局部有刺激性病變所致。如腦腫瘤。腦囊蟲病。腦內炎症性病變等。抽搐發作可以表現為局限性發作或全面性發作。
4。瞳孔改變瞳孔改變可以表現為或大。或小。或忽大忽小等。如果瞳孔變大後固定不變。則表示在視神經傳導通路或腦幹部位有受損。如果雙側瞳孔不等大。並且伴有意識障礙者。多提示有領葉鉤回病的可能。
5。生命體徵的改變腦幹受到影響時。特別是延髓功能受到威脅時。常有生命體徵的變化。表現為:
(1)血壓增高:由於延髓血管運動中樞對缺血和缺氧特別敏感。所以當顱內壓增高時。機體為了維持腦的血液供應。特別是延髓的血液供應。而被動提高血壓。一般顱內壓增高越快。血壓上升越高。到後期。當延髓功能衰竭時。血壓下降。
(2)脈搏緩慢:一般急性顱內壓增高時。都伴有脈搏的緩慢。顱內壓增高越快則脈搏越慢。慢性顱內壓增高者。脈搏減慢一般不明顯。
(3)呼吸變化:急性顱內壓增高時。呼吸深而慢;如果顱內壓持續增高時。呼吸可以表現為不規則。或嘆息樣呼吸。最後導致呼吸循環衰竭。
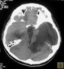
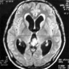
診斷顱內壓增高綜合徵的診斷主要根據臨床三個主要特徵即頭痛。嘔吐和視乳頭水腫。必要時應藉助放射學檢查和腰穿測定腦脊液壓力來明確診斷。顱內高壓診斷並不困難。應選擇適當的檢查以明確病因。
應注意的是嬰幼兒由於有顱骨骨縫的開大及對頭痛的主訴表達不明確。視乳頭水腫也可能不出現。嘔吐。煩躁。哭啼可能是主要症狀。老年人對顱內壓力的反應性較不敏感。臨床醫師應提高警惕。對診斷有困難者應做必要的輔助檢查如腰穿測壓及腦脊液學檢查。放射學檢查。以及CT。MRI及各種造影檢查等。
預防
臨床上發病以中年以前(40歲以下)多見。女性較男性發病率明顯增高。肥胖者居多。常月經不規則而內分泌檢查正常。起病通常緩慢。最突出的表現是顱內壓增高三主征。即頭痛。嘔吐和視乳頭水腫。而無腦局灶性損害的臨床表現。嬰幼兒主要表現為精神改變。興奮。易激惹。煩躁不安。食慾缺乏及嘔吐。頭痛症狀可以不明顯。年長兒童及成人則常以頭痛起病。頭痛常為瀰漫性或限於某一部位。咳嗽及用力時加重。可伴有噁心。嘔吐。視力模糊。復視。眩暈。視力減退多為雙側。病情嚴重者甚至失明。體徵有雙側視乳頭水腫。嚴重者可伴有視網膜出血及繼發性視神經萎縮。可有視野缺損。生理百點擴大。視野呈向心性縮小。約1/3的患者有一側或兩側外展神經麻痹。無其他局限性神經系統體徵。
腦脊液壓力增高。細胞及生化檢查正常。腦電圖多數正常。個別患者可有輕度的瀰漫性改變。頭顱平片少數患者有鞍背或鞍底脫鈣現象。成年患者多無異常。兒童可有骨縫分離等顱內壓增高的徵象。氣腦或腦室造影及頭顱CT。MRI除少數患者有側腦室輕度擴大或縮小外。腦室系統不存在梗阻。移位。變形。不對稱等現象。腦血管造影正常。
診斷良性顱內壓增高須慎重。要通過臨床腳的。全面的檢查。並應密切連續觀察與隨訪。排除了顱內占位性病變。特殊炎症。阻塞性腦積水及其他腦部器質性病變等引起顱內壓增高的各種腦部病變之後。再根據下列條件考慮此診斷:
1。具備顱內壓增高的症狀與體徵。腦脊液壓力測定。至少在1.961kPa(200mmH2O)以上。而且至少重複數次證明壓力確屬增高。必要時須做連續顱內壓描記。
2。腦脊液的細胞數。蛋白質。氯化物及糖含量均在正常範圍。
3。頭顱X線攝片可有顱內壓增高的改變。腦CT增強前。後及MRI檢查無占位性病變。腦血管造影正常。
鑑別診斷
良性顱壓增高症因顱內壓增高以頭痛*吐和視乳頭水腫為主要體徵。臨床上鑑別主要也是與有頭痛。嘔吐和視乳頭水腫的疾病相鑑別。
(一)與頭痛相鑑別的疾病
血管性頭痛。頭痛多呈發作性。病期常較長。頭痛時輕時重。每次持續時間幾小時至幾天。間歇期正常。痛前可有先兆如閃光。暗點。幻視。之後出現頭痛。呈跳動性。疼痛可輕可重。重時頭痛劇烈。伴有嘔吐。嘔吐後頭痛可以緩解。若試用麥角胺製劑能緩解疼痛。頭顱CT。MRI等正常。視乳頭無水腫。腰穿壓力正常。腦血流圖檢查或經顱都卜勒檢查常有異常改變。
(二)視乳頭水腫相鑑別的疾病
視神經乳頭炎。本病可有頭痛。嘔吐和視乳頭水腫。充血等。類似顱內壓增高的表現。但①視神經乳頭炎視力減退突然。1-2d內可完全失明。顱內壓增高患者引起的視乳頭水腫可能很嚴重。但視力障礙不太明顯。②視神經乳頭炎可為一側或兩側先後發病。顱內壓增高引起的視乳頭水腫多為雙側。③患者活動眼球時視神經乳頭炎患者有眼球或其周圍的疼痛。顱內壓增高患者無疼痛。④視神經乳頭炎患者怕光。顱內壓增高引起的視乳頭水腫患者無怕光。⑤視神經炎患者中心視野有暗點。有時因視力下降過快而無法測定中心視野。視乳頭水腫患者早期中心視野正常。視神經乳頭炎患者腰穿壓力正常。頭顱CT。MRI等影像學檢查正常。
(三)與嘔吐相鑑別的疾病
胃腸道疾病。消化系統疾病可以導致噁心。嘔吐。或伴有頭痛。仔細詢問病史。患者是以消化道症狀為主如腹痛。腹瀉等。與進食有關。嘔吐後症狀能明顯緩解;消化道造影或胃鏡檢查可幫助診斷。頭顱CT。MRI等檢查正常。腰穿壓力正常。腦脊液檢查正常。
(四)頭痛。嘔吐都可能伴有的疾病
神經官能症患者經常敘述頭痛。頭暈。有時也有噁心。嘔吐。這種患者經常伴有失眠。記憶力下降。注意力不集中。頭昏。頭脹等。並且受周圍環境的影響。腰穿壓力正常。輔助檢查正常。
治療
根據病因而定.假性腦瘤一般不造成嚴重的後果,因此一旦診斷確定,主要是對症處理,適當的解釋與安慰,配合輕鎮痛劑以治療頭痛.大約10%~20%病例有一次或多次復發,有時候病情穩步進展加重直至引起失明.當症狀持續不見減輕,可套用乙醯唑胺,每天總量750mg,分次口服.進行系列性的腰穿釋放腦脊液可能有效.腎上腺皮質激素無效,而且能助長體重增加,這些病人中有許多本來就都已屬於肥胖;目標應該是使體重減輕.應定期複查視力與視野;若出現生理盲點擴大以外的視野缺損,或雖經內科藥物治療視力仍進展性下降,應考慮採用外科措施來降低顱壓.有兩個有效的外科措施:腰段椎管-腹膜腔分流手術與視神經開窗術.一旦發生失明,可能成為永久性,各種治療都無效.
併發症—腦疝
腦疝是指腦組織由於受到壓力的影響。通過腦內的正常的腔隙或裂孔。致使腦組織從壓力高的一側向壓力低的一側移位。從而導致臨床上一系列的症狀和體徵叫做腦疝。臨床上常見的腦疝有小腦幕切跡疝和枕骨大孔疝兩種。
