病因
腰椎結核和其它部位結核一樣大多是由肺結核引起,結核菌隨血液流傳到骨組織,大多數結核菌被消滅,腰椎結核的病因只有少數結核菌逃避抗結核藥物,隱藏在身體內,當身體免疫力下降時定植感染,造成骨質破壞發展成為骨結核。
結核菌喜歡生長在血液豐富的地方,脊椎椎體以松質骨為主,它的滋養動脈為終末動脈,靜脈血流到這裡速度緩慢,結核桿菌容易停留在椎體部位。而腰椎的活動度在整個脊柱中最大,因此在骨關節結核中,以腰椎的發病率最高。
病理生理
腰椎結核腰椎結核多見於成人,病變局限於椎體的上下緣,很快侵犯至椎間盤及相鄰的椎體。椎間盤破壞是本病的特徵,因而椎間隙很窄。
椎體破壞後形成的寒性膿腫可以有兩種表現:①椎旁膿腫:膿液匯集在椎體旁,可在前方、後方或兩側。以積聚在兩側和前方比較多見。膿液將骨膜掀起,還可以沿著韌帶間隙向上和向下蔓延,使數個椎體的邊緣都出現了骨腐蝕。它還可以向後方進入椎管內,壓迫脊髓和神經根。②流注膿腫:椎旁膿腫積聚至一定數量後,壓力增高,會穿破骨膜,沿著肌筋膜間隙向下方流動,在遠離病灶的部位出現膿腫。腰椎病變所致的椎旁膿腫穿破骨膜後,積聚在腰大肌鞘內,形成腰大肌膿腫。淺層腰大肌膿腫可以穿越腰筋膜到腰三角,成為腰三角膿腫。腰三角是一個潛在的間隙,它的邊緣是髂嵴後緣、骶棘肌的外緣與腹內斜肌的後緣。腰大肌膿腫還可沿腰大肌流竄至股骨小轉子處,成為腹股溝處深部膿腫。它還能繞過股骨上端的後方,出現在大腿外側,甚至沿闊筋膜下流至膝上部位。
臨床表現
主要表現
腰痛是腰椎結核最常見的症狀,疼痛的性質多為鈍痛或酸痛,伴有壓痛及叩擊痛,在勞累、咳嗽、睡前疼痛加重。上腰椎結核可有大腿痛,下腰椎結核可有坐骨神經痛,這是由於結核膿腫、肉芽組織及壞死的椎間盤或死骨向後突入椎管內,使脊髓或神經根受到壓迫或刺激時,可出現放射痛。具體表現如下:
疼痛
初期局部疼痛多不明顯,待病變發展刺激或壓迫其鄰近的神經根,如胸椎結核的出現肋間神經痛;腰椎結核刺激或壓迫腰叢神經引起腰腿痛;單純骨結核或滑膜結核發展為全關節結核時疼痛加重,往往這時才引起病人注意。為了減輕疼痛,患部肌肉一直處於痙攣狀態,藉以起保護作用。當病人體位改變時,尤其是在夜間熟睡失去肌肉痙攣的保護時,疼痛更加明顯,小兒常常表現夜啼等。
腫脹
四肢關節結核局部腫脹易於發現,皮膚顏色通常表現正常,局部稍有熱感。關節腫脹逐漸增大,肢體的肌肉萎縮,患病關節多呈梭形。
功能障礙
通常病人的關節功能障礙比患部疼痛出現更早。為了減輕患部的疼痛,各關節常被迫處於特殊的位置,如肩關節下垂,肘關節半屈曲位,髖關節屈曲位,踝關節足下垂位。頸椎結核常用兩手托下頜,胸椎或腰椎結核者肌肉保護性痙攣,致使彎腰困難而小心下蹲拾物等特有的姿勢。
畸形
隨著病變發展,骨關節或脊椎骨質破壞,上述特有的姿勢持結不變且進一步發展,關節活動進一步受限而出現畸形,脊柱結核多出現成角後凸畸形。
影像學檢查
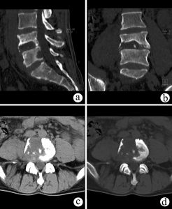
X線片上表現以骨質破壞和椎間隙狹窄為主。骨質破壞集中在椎體的上緣或下緣,很快侵犯至椎間盤,表現為椎體終板的破壞和進行性椎間隙狹窄,並累及鄰近兩個椎體。
寒性膿腫表現:在腰椎正位片上,腰大肌膿腫表現為一側腰大肌陰影模糊,或腰大肌陰影增寬,飽滿或局限性隆起。慢性病例可見多量鈣化陰影。
CT檢查可以清晰地顯示病灶部位,有無空洞和死骨形成。即使是小型的椎旁膿腫,在CT上檢查時也可發現。CT檢查對腰大肌膿腫有獨特的價值。
MRI具有早期診斷的價值,在炎性浸潤階段即可顯示異常信號,但主要用於觀察脊髓有無受壓和變性。
診斷與鑑別
腰椎結核根據症狀、體徵與影像學表現,典型病例診斷不難,但必須與下列疾病作鑑別。
1、強直性脊柱炎本病均有骶髂關節炎症,沒有全身中毒症狀,X線檢查看不到骨破壞與死骨,胸椎受累後會出現胸廓擴張受限等臨床表現足資鑑別。
2、化膿性脊柱炎發病急,有高熱及明顯疼痛,進展很快,早期血培養可檢出致病菌。X線表現進展快,其特徵性X線表現可作鑑別。
3、腰椎間盤突出無全身症狀,有下肢神經根受壓症狀,血沉不快。X線片上無骨質破壞,CT檢查可發現突出的髓核。
4、脊柱腫瘤多見於老人,疼痛逐日加重,X線片可見骨破壞累及椎弓根,椎間隙高度正常,一般沒有椎旁軟組織塊影。
5、退行性脊椎骨關節病為老年性疾病,普遍性椎間隙變窄,鄰近椎體上、下緣硬化發白,有骨橋形成,沒有骨質破壞與全身症狀。
疾病治療
全身治療
1、支持療法注意休息、營養,每日攝入足夠的蛋白質和維生素。平時多臥床休息,必要時遵醫囑嚴格臥床休息。有貧血者可給補血藥,重度貧血或反覆發熱不退的可間斷性輸給少量新鮮血。混合感染的急性期可給以抗生素治療。
2、抗結核藥物療法目前以異煙肼、利福平和乙胺丁醇為第一線藥物。尤以異煙肼與利福平為首選藥物。為了提高療效和防止長期單味抗結核藥物所產生的耐藥性,故目前都主張聯合用藥。異煙肼成人劑量為每日300mg,分3次口服,或早晨一次頓服。由於骨關節結核病灶處血供差,藥物滲入慢,因此用藥時間不宜過短,一般主張口服異煙肼2年。利福平的成人劑量為450mg早晨一次頓服。利福平對肝有毒性作用,於用藥3個月後即應檢查肝功能,視肝功能的情況決定是否繼續利用利福平。一般套用利福平的時間為3個月。乙胺丁醇對結核桿菌有明顯的抑菌作用。它滲透至病灶的能力比較強,成人劑量為750mg一次頓服。乙胺丁醇偶見有視神經損害。一般主張異煙肼+利福平,或異煙肼+乙胺丁醇。嚴重病人可以三種藥物同時套用。
結核病全身症狀明顯,發熱不退者可用對氨基水楊酸鈉或阿米卡星靜脈注射。對氨基水楊酸鈉的劑量為每日12g,避光靜脈注射;阿米卡星劑量為每日1g。因為都有毒性反應,靜脈用藥應控制在2周以內。
經過抗結核藥物治療後,全身症狀與局部症狀都會逐漸減輕。用藥滿2年後能否撤藥?治癒的標準為:①全身情況良好,體溫正常,食慾良好;②局部症狀消失,無疼痛,竇道閉合;③X線表現膿腫縮小乃至消失,或已經鈣化;無死骨,病灶邊緣輪廓清晰;④3次血沉都正常;⑤起床活動已1年,仍能保持上述4項指標。符合標準的可以停止抗結核藥物治療,但仍需定期複查。
局部治療
1、局部制動用石膏背心或支架(上腰椎結核)以及石膏腰圍帶一腿(下腰椎結核),固定期為3個月,固定期間應多臥床休息。全身情況不好不能耐受固定的,可以睡特製的石膏床3個月。
2、手術治療手術有三種類型:①切開排膿:寒性膿腫廣泛流注出現了繼發性感染,全身中毒症狀明顯,不能耐受病灶清除術時可作切開排膿挽救生命。②病灶清除術:腰椎結核可以經下腹部斜切口或正中切口,從腹膜外間隙經腰大肌膿腫而進入病灶。術後的抗結核藥物治療與局部制動仍不容忽視。③矯形手術:糾正脊柱後凸畸形。
飲食與禁忌
腰椎結核患者多有食慾減退、身體消瘦、貧血或低蛋白血症,應積極補充營養,給予可口、易消化、富於營養的食物。營養狀況較差的可補給魚肝油,維生素B、C等。貧血的可給鐵劑、維生素B12、葉酸等。應常吃以下四種食物:
高熱能
結核病是慢性消耗性疾病,因此,該病患者對熱能的需要比正常人多,一般每公斤體重每日消耗熱能30千卡。例如,一個體重為66公斤的患者每日需要總熱量為2000千卡左右。輕體力勞動者每日熱量的供給應達到每公斤體重40千卡。患者應儘量進食糖類,這樣既能補充熱能又可節約蛋白質。
高蛋白
結核病對蛋白質的消耗很大,而蛋白質是修補人體組織的重要營養素,有益於病灶的癒合。所以,結核病患者應增加高蛋白食物的攝入量。一般情況下,該病患者每日蛋白質的攝入量應為每公斤體重1.2~1.5克,其中優質蛋白質如肉食、水產品、蛋、乳及大豆製品應占蛋白質總攝入量的50%以上。患者應多食牛奶及奶製品,因為牛奶中含酪蛋白和鈣多,且質量好,吸收率高,更有益於結核病灶的鈣化和癒合。
高維生素
結核病患者應重點補充維生素A、B、C、D。維生素A能增強人體的免疫力; 維生素D能促進鈣的吸收; 維生素C有利於病灶的癒合和血紅蛋白的合成; 維生素B可加快人體的代謝過程,有促進食慾的作用; 維生素B6還能對抗由於使用異煙肼治療而引起的副作用。在我國的膳食中,新鮮蔬菜和水果是人們攝取維生素的主要來源。乳、蛋、動物內臟等富含維生素A; 酵母、花生、豆類、瘦肉等富含維生素B6。因此,骨結核患者應多吃上述食物。此外,該病患者應經常進行日光浴,多參加戶外活動,以增加體內的維生素D。必要時骨結核患者可服用複合維生素。
高膳食纖維和水
足夠的膳食纖維和水可維持人體的酸鹼平衡、保持大便通暢、防止毒素被腸胃吸收。因此,骨結核病患者應多吃富含膳食纖維的蔬菜、水果及粗糧,多飲水。
四忌
1.忌菸酒吸菸會增加對呼吸道的刺激,易導致或加劇咳嗽;飲酒能使血管擴張,加重患者咳嗽、氣喘、咯血等症狀。因此,骨結核患者必須戒菸忌酒。
2.忌吃海產品 如無鱗魚無鱗魚包括鮪魚、鮐鮁魚、馬條魚、竹莢魚、魷魚、沙丁魚等。這些魚中的組織胺含量很高,而異煙肼是一種單胺氧化酶抑制劑,兩者若同時食用,會因人體內缺少大量有效的單胺氧化酶而使組織胺氧化,從而造成組織胺大量蓄積,以致引起患者頭痛頭暈、噁心嘔吐、皮膚潮紅、眼結膜充血、蕁麻疹樣皮疹、腹痛腹瀉、呼吸困難、血壓升高,甚至會使患者出現高血壓危象和腦出血。
3.忌食含乳糖的食品 乳糖能完全阻礙人體對異煙肼的吸收,使之不能發揮藥效。
4.忌食牛奶 服用利福平時喝牛奶會影響人體對藥物的吸收,從而使藥效降低。
注意事項
嚴重貧血的患者可間斷輸血,每周1~2次,每次100~200ml。肝功能不好的需進行保肝治療。合併感染的可給廣譜抗生素,或根據藥物敏感試驗給敏感藥物。對截癱患者應加強護理,預防褥瘡,並防止肺部感染和泌尿系感染。 為了緩解、防止增加畸形,避免病變擴散,減少體力消耗,及時使患者休息,患部制動非常重要。患者全身狀況好壞與病灶好轉或惡化有密切關係。休息和營養作為改善全身情況的一個重要步驟是治療腰椎結核所不可缺少的。休息使機體代謝作用降低,消耗減少,體溫下降,體重增加,有利於體力恢復。因此,患者要有足夠的休息和睡眠。同時改善營養狀況也很重要。
中醫治療方法
治療方法
中醫治療腰椎結核,針對早期腰椎結核患者無創腔、無竇道、無大片死骨的特點,採用中醫靶位體液擴散式治療,利用皮膚有屏障性、調節性、自穩性、代謝性這四大生理功能,直接,施以特製中藥物。
重症治療
對於中晚期重症腰椎結核的治療,由於久治不愈反覆發作、時有手術介入,加大了治療難度。針對這種已有竇道或創腔的病患區域,
“靶位體液滲透療法” 所用藥物均經過微化處理,局部直接作用到病灶部位,藥物直接透皮吸收,直達骨組織,可有效改善局部適合細菌生存繁殖的酸性病理性環境,促進血液循環流通,恢復骨組織自身的再生修復能力。從而達到使破壞的骨組織主動修復的目的。
護理
骨結核是一種慢性消耗性疾病,病人在患病期間往往有較重的心理負擔,所以病人家屬就要給予他們更多的關心和照顧,在飲食、心理等日常護理方面一定要細心而周全.醫護人員及家屬在日常護理中要做到以下幾點:
要督促結核病人到結核病專業機構接受正規治療,避免亂醫和不規則治療,以減少多餘的經濟負擔和因不規則治療產生的耐藥性。
要陪同病人就診,聆聽醫生醫囑,接受結核病防治知識宣傳教育,知曉結核病防治知識。
要鼓勵、關懷病人,增強病人同疾病作鬥爭、結核病一定能治癒的信心。
要牢記病人服藥規律,提醒、督促、幫助病人按時、全程、規則服藥。
要督促、幫助病人養成不隨意對人咳嗽、不對人打噴嚏、不隨地吐痰的良好習慣,吐痰入盂,盂內加入漂白粉或“84”等消毒藥水。
要勸告活動期病人暫不結婚、懷孕或餵奶,不接吻。
要加強病人營養,食用高蛋白、高糖、高脂飲食。病人服藥不用牛奶、糖水送服。
要做到一人得病,全家體檢,重視預防,杜絕傳染。
要將病人餐具用開水煮沸後單獨存放,病人衣物、被褥經常暴曬。病人與家屬不同枕共眠。
要購置紫外線燈,掌握正確使用方法,經常消毒病人居住的房間。
求醫網腰椎結核專題
腰椎結核求醫網(www.qiuyi.cn)創立於2000年,是北京時代網創科技發展有限公司核心平台,我們力求打造中國最專業的醫療網站。求醫網正在努力為患者提供方便、快捷和專業的線上諮詢服務,同時建立海量信息庫為患者提供最全面的醫療信息資訊……
詳細 >>
本詞條全部內容由詞條認領機構及智願者共同編輯,互動百科權威評審。

