簡介
胼胝體變性(Marchiafave–Bignami氏綜合徵),又稱原發性胼胝體變性。是一種罕見脫髓鞘性病變。致病原因不明,常見於慢性酒精中毒患者。原發性胼胝體變性病因病理病機最初認為本病是義大利紅酒引起的胼胝體脫髓鞘,後又見非酒精中毒引起的類似疾病。可能由血腦屏障以及神經細胞膜改變等繼發的通透性改變引起。有人認為可能與長期大量酗酒、酒精性營養不良,長期處於低血Na狀態有關。發現長期大量飲用純高梁白酒的胼胝體變性患者,其臨床和影像學表現典型。臨床表現主要表現為進行性痴呆和昏睡。見於大量飲酒的中老年朋友。
患病原因
胼胝體變性(Marchiafave–Bignami)氏綜合徵致病原因不明,常見於慢性酒精中毒患者有長期大量飲酒的嗜好,飲酒史都在10年以上,量大,餐餐不離,有時以酒代飯,均以額葉受損症狀為主,如癲癇發作、語言不清、失語、步態不穩、表情淡漠等。
因此,胼胝體變性與慢性酒精中毒有密切關係,是慢性酒精中毒罕見併發症之一。乙醇及其代謝產物(如乙醛)可以和卵磷脂結合,沉積在組織中產生毒素作用,腦組織中卵磷脂最豐富,較易受損害。
症狀分析
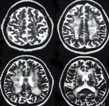
腦萎縮胼胝體變性患者胼胝體密度減低,呈均勻或部分欠均勻的低密度影;無占位性徵象,有腦萎縮表現,其中有廣泛性腦白質病變。胼胝體發生腦梗塞少見,梗塞多為小腔隙性梗塞灶,不會出現與胼低體形態相同的低密度影,腫瘤為占位性病變,有占位徵象。患者的CT表現為胼胝體密度均勻性或部分均勻性減低,CT值均在20HU以下,正常中老年人胼胝體CT值均在23HU以上,具有特徵性,急性期增強可有強化,晚期不強化,診斷不難胼胝體變性,多認為與酒精中毒有關。胼胝體變性臨床表現缺乏特異性,因而診斷困難,以往報導病例多為屍解發現,隨著影像診斷學發展,其早期診斷成為可能。
由於其聯絡纖維的不同,胼胝體各部位變性出現相應的臨床表現,如壓部損傷致下肢功能障礙、失語和同向偏盲。胼胝體廣泛變性時症狀繁多、缺乏定位體徵,表現情緒異常、嗜睡、性格改變及運動障礙等。胼胝體變性根據臨床發病的形式不同,可分為3類:急性、亞急性、慢性。急性發病突然,表現昏迷和嚴重的神經紊亂;亞急性表現為嚴重的持續性呆傻;慢性的特點為分離綜合徵和漸進性痴呆。其預後與臨床表現密切相關。 胼胝體變性特徵性病理改變為胼胝體中層壞死、脫髓鞘、軟化灶形成,可累及部分或整個胼胝體,也可侵犯前、後聯合及其它白質;組織學檢查胼胝體病變區內可見不同程度的髓鞘脫失,伴反應性膠質增生,病變中心區髓鞘和少枝細胞幾乎消失,而軸索改變較輕。壞死區境界較清晰,可呈小囊狀並伴有大量巨嗜細胞浸潤,特別是病灶周邊區。脫髓鞘和壞死可同時出現,也可在不同患者或同一患者不同時期單獨存在。並且多數病例兩側大腦半球白質內可出現對稱性脫髓鞘改變,肉眼顯示許多灰色病灶區。
酒精殺手
酒精中毒已是遍及全球的一種常見病,對人類的健康危害日趨嚴重,尤其是在歐美國家,其發病率僅次於心腦血管疾病和腫瘤;在中國隨著生活水平的逐漸提高,胼胝體進行性變性發病率亦不斷增加。 Marchiafava-Bignami病是一種罕見的胼胝體脫髓鞘病變,發生於慢性酒中毒病例。該病在其他許多國家亦有發生並涉及其他多種酒精飲料,曾推測本病與營養性病因有關,但確切性質不明,病理學與發病環境將其與橋腦中央脫髓鞘症聯繫起來,可能是後者的一種變異(低鈉血症)。
酒精對人的大腦有直接神經毒性作用。當酒精進入人神經細胞膜類脂層時,就開始起破壞性作用:神經細胞脫水、變性、壞死、缺失,神經細胞體萎縮、樹突減少,從而導致大腦萎縮。慢性酒精中毒可造成肝功能損害和胃腸道功能紊亂,造成體內營養物質代謝失調,引起嚴重的營養缺乏,尤以蛋白質、硫胺素、葉酸、類酸等缺乏為著,從而引起腦內髓磷脂代謝障礙,導致腦內的脫髓鞘改變。胼胝體是半球內最大的連合纖維束,髓磷脂含量相對較高,易引起神經細胞的變性、壞死。進一步一發胼胝體進行性變性等疾病。酒精中毒可並發Korsakoff綜合徵和Wernicke腦病。酒精中毒者(和其他營養不良的病人一樣)可出現小腦變性。它的病理和臨床特徵可能與Wernicke腦病相同。姿勢和步態共濟失調可在幾周或幾個月內緩慢起病。也可突然起病。CT顯示上蚓部和小腦葉前部萎縮,套用硫胺素及其他維生素B類可改善症狀。
治療預防
MRI是診斷胼胝體變性最有價值的診斷方法。MRI與CT比較,有多角度、多序列成像優勢,特別是矢狀位、冠狀位比CT顯示病變更早、更準確、更全面,較易與其它疾病鑑別。FLAIR序列能抑制腦脊液的高信號,使病變顯示更加突出,並可區別病灶的新舊程度,進展期表現為高信號,軟化灶形成後為低信號,還可顯示腦萎縮情況及與胼胝體變性並存的其它部位白質脫髓鞘情況,顯示病灶為高信號,說明病灶為進展期,為臨床治療提供可靠依據。一般認為胼胝體變性異常強化持續不超過20天,發病3周后將不出現強化。有研究提示急性發病的胼胝體變性多累及膝部和壓部,慢性表現的病例體部受累多見。
胼胝體進行性變性症患者應立即戒酒。如酒癮已深,以往曾發生癲癇、譫妄、幻覺等戒斷症狀,為防止驟然停飲導致戒斷反應,可予氯丙嗪口服或肌注。國外曾套用行為療法戒酒,在接觸酒類同時,套用阿撲嗎啡或吐根鹼,以產生噁心嘔吐;也有服用戒酒硫(antabuse),使酒的氧化停滯在乙醛階段。 要達到長期戒酒目的。主要需了解病人形成酒精依賴的心理社會因素,因人制宜地採取措施,使病人樹立戒酒的信心和決心。戒酒時應對其慢性中毒症狀作對症處理。飲酒時做到“飲酒而不醉”的良好習慣,切勿以酒當藥,以解煩愁、寂寞、沮喪和工作壓力等,飲酒時不應打亂飲食規律,切不可“以酒當飯”,以免造成營養不良。

