疾病概述
額葉病因
胼胝體變性(Marchiafave–Bignami)氏綜合徵致病原因不明,常見於慢性酒精中毒患者有長期大量飲酒的嗜好,飲酒史都在10年以上,量大,餐餐不離,有時以酒代飯,均以額葉受損症狀為主,如癲癇發作、語言不清、失語、步態不穩、表情淡漠等。
因此,胼胝體變性與慢性酒精中毒有密切關係,是慢性酒精中毒罕見併發症之一。慢性酒精中毒可造成肝功能損害和胃腸道功能紊亂,造成體內營養物質代謝失調,引起嚴重的營養缺乏,尤以蛋白質、硫胺素、葉酸、類酸等缺乏為著,從而引起腦內髓磷脂代謝障礙,導致腦內的脫髓鞘改變。胼胝體是半球內最大的連合纖維束,髓磷脂含量相對較高,易引起神經細胞的變性、壞死。另外乙醇及其代謝產物(如乙醛)可以和卵磷脂結合,沉積在組織中產生毒素作用,腦組織中卵磷脂最豐富,較易受損害。
流行病學
胼胝體進行性變性較為罕見目前國內尚未查到相關健康搜尋的發病率統計學資料。酒精中毒在歐美國家,其發病率僅次於心腦血管疾病和腫瘤。隨著生活水平的逐漸提高鶒,在我國其發病率亦不斷增加。目前臨床上因酒精中毒導致神經系統損害的患者有明顯增多趨勢,Marchliafara-Bignami病也在其中之列。
發病機制
本病屬於與酒精中毒有關但發病機制未明的疾病。主要侵犯胼胝體中間層其次為鄰近的大腦白質和小腦中腳也可受累。視放射和前連合受累罕見。病變部位呈對稱性髓鞘脫失。部分或整個胼胝體受累以中央部分的纖維受累最重。損害區域肉眼觀察呈灰色軟化帶。鏡檢有殘餘的膠質及血管,病變與血管之間無明顯關係。
Marchliafara-Bignami病發病機制不清長期酗酒無疑是明顯的危險因素,確已證實大量無節制地飲酒,對機體許多器官系統均有很大的損害作用神經系統是酒精濫用致病的主要靶器官之一但本病也見於非嗜酒者實驗性氰中毒及一氧化碳中毒可致本病故可能與缺血、缺氧有一定關係。
檢查
實驗室檢查:
1.血、尿酒精濃度的測定有診斷及中毒程度評估意義;
2.其他血液檢查包括血生化、肝功腎功、出凝血功能及免疫球蛋白等。
其它輔助檢查:
1.心電圖、腦電圖、腦CT或MRI檢查,有鑑別診斷及中毒程度評估意義
2.肌電圖和神經電生理檢查,有鑑別診斷意義。臨床表現:1.本病最早由Marchliafara和Bignami(1903)報導該病主要發生在對各種酒精飲料成癮的、嚴重酒精中毒的中年男性。2.Marchliafara-Bignami病的臨床表現無特徵性與其他酒精中毒導致的神經系統損害相似,但患者多有認知和行為異常常表現為焦慮不安、情感淡漠、幻覺、情緒障礙和行為反常病人在幾年內可發生進行性痴呆。有健康搜尋的表現為周期性木僵及昏迷,並可出現震顫、抽搐、譫妄和幻覺。嚴重者可迅速昏迷而死亡。還有的患者表現有語言障礙、動作遲緩、強直或癱瘓、大小便失禁等。
3.體徵可有原始的吸吮反射,抓握反射和伸性肌強直等。部分病例CT或MRI可顯示胼胝體變窄和局限性萎縮。
早期症狀
腦萎縮1.本病最早由Marchliafara和Bignami(1903)報導。該病主要發生在對各種酒精飲料成癮的、嚴重酒精中毒的中年男性。
2.Marchliafara-Bignami病的臨床表現無特徵性,與其他酒精中毒導致的神經系統損害相似,但患者多有認知和行為異常。常表現為焦慮不安、情感淡漠、幻覺、情緒障礙和行為反常。病人在幾年內可發生進行性痴呆。有的表現為周期性木僵及昏迷,並可出現震顫、抽搐、譫妄和幻覺。嚴重者可迅速昏迷而死亡。還有的患者表現有語言障礙、動作遲緩、強直或癱瘓、大小便失禁等。
3.體徵可有原始的吸吮反射,抓握反射和伸性肌強直等。部分病例CT或MRI可顯示胼胝體變窄和局限性萎縮。
本病診斷非常困難,如嚴重的慢性酒精中毒患者出現上述臨床表現,應懷疑本病。但死前很少明確診斷。通常是死後屍體解剖確診。少數病例CT或MRI能顯示胼胝體病變。
併發症
濫用酒精對人體許多器官系統均有很大健康搜尋的損害作用現已證實酒精中毒可引起消化道炎症肝腎功能損害、嚴重心律失常,充血性心力衰竭、心臟附壁血栓形成,心肌病心肌梗死、高血壓,以及血小板數增多、凝集功能增加和纖維蛋白自發性溶解時間延長等。
診斷
本病診斷非常困難,如嚴重的慢性酒精中毒患者出現上述臨床表現,應懷疑本病。但死前很少明確診斷。通常是死後屍體解剖確診。少數病例CT或MRI能顯示胼胝體病變。
鑑別診斷
1.應注意與引起昏迷的疾病相鑑別,如鎮靜催眠藥中毒、一氧化碳中毒、腦卒中、顱腦外傷等。
2.還應與精神病、癲癇、窒息性氣體中毒、低糖血症等相鑑別。3.智慧型障礙和人格改變,應與其他腦病引起的痴呆鑑別。
治療措施
1.首先要戒酒,戒酒後腦功能有可能逐漸改善。
2.除積極治療酒精中毒或一氧化碳中毒等原發病外,無特異治療方法。
3.對症可給予多種維生素治療。同時應對症給予增加腦組織營養、改善神經細胞代謝等治療。
預防保健
預後:
本病預後不良,極少恢復,嚴重者可迅速昏迷而死亡。部分病人健康搜尋在幾年內可出現痴呆,並呈進行性發展到後期呈完全性痴呆強哭強笑、四肢強直、肌肉萎縮、不能行走和臥床不起,甚或去皮質狀態等。最終多死於併發症,常在死後屍體解剖方能確診。
預防:
少量合理飲酒對人體可能有一定益處,避免長期大量飲酒是預防酒精中毒導致的Marchliafara-Bignami病的主要措施健康搜尋。本病也見於非嗜酒者,氰中毒及一氧化碳中毒也可致本病,故預防原發病十分重要。
症狀分析
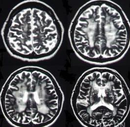
胼胝體變性患者胼胝體密度減低,呈均勻或部分欠均勻的低密度影;無占位性徵象,有腦萎縮表現,其中有廣泛性腦白質病變。胼胝體發生腦梗塞少見,梗塞多為小腔隙性梗塞灶,不會出現與胼低體形態相同的低密度影,腫瘤為占位性病變,有占位徵象。患者的CT表現為胼胝體密度均勻性或部分均勻性減低,CT值均在20HU以下,正常中老年人胼胝體CT值均在23HU以上,具有特徵性,急性期增強可有強化,晚期不強化,診斷不難胼胝體變性,多認為與酒精中毒有關。胼胝體變性臨床表現缺乏特異性,因而診斷困難,以往報導病例多為屍解發現,隨著影像診斷學發展,其早期診斷成為可能。
由於其聯絡纖維的不同,胼胝體各部位變性出現相應的臨床表現,如壓部損傷致下肢功能障礙、失語和同向偏盲。胼胝體廣泛變性時症狀繁多、缺乏定位體徵,表現情緒異常、嗜睡、性格改變及運動障礙等。胼胝體變性根據臨床發病的形式不同,可分為3類:急性、亞急性、慢性。急性發病突然,表現昏迷和嚴重的神經紊亂;亞急性表現為嚴重的持續性呆傻;慢性的特點為分離綜合徵和漸進性痴呆。其預後與臨床表現密切相關。
胼胝體變性特徵性病理改變為胼胝體中層壞死、脫髓鞘、軟化灶形成,可累及部分或整個胼胝體,也可侵犯前、後聯合及其它白質;組織學檢查胼胝體病變區內可見不同程度的髓鞘脫失,伴反應性膠質增生,病變中心區髓鞘和少枝細胞幾乎消失,而軸索改變較輕。壞死區境界較清晰,可呈小囊狀並伴有大量巨嗜細胞浸潤,特別是病灶周邊區。脫髓鞘和壞死可同時出現,也可在不同患者或同一患者不同時期單獨存在。並且多數病例兩側大腦半球白質內可出現對稱性脫髓鞘改變,肉眼顯示許多灰色病灶區。
病症案例
胼胝體進行性變性治療單位:首都醫科大學附屬北京朝陽醫院
科室:神經內科
時間:2005年11月
病例:患者,男性,52歲,因頭暈,共濟失調,雙手顫抖就診。頭顱核磁示胼胝體病變,首先考慮胼胝體梗死,予抗栓治療後效果不明顯,患者家屬和醫生都非常著急,仔細追問病史患者有長期大量飲酒史近40年,醫生上網以開闊思路,明確診斷。
結果分析:通過上述病例的可看出高達81%的幾率支持胼胝體變性,與初步診斷不同,將本病的特點及預後不佳向患者家屬交代,得到了家屬的理解,給予患者維生素B等營養神經治療,病情平穩後出院,按照常規思路。
酒精殺手
酒精Marchiafava-Bignami病是一種罕見的胼胝體脫髓鞘病變,發生於慢性酒中毒病例。該病在其他許多國家亦有發生並涉及其他多種酒精飲料,曾推測本病與營養性病因有關,但確切性質不明,病理學與發病環境將其與橋腦中央脫髓鞘症聯繫起來,可能是後者的一種變異(低鈉血症)。
酒精對人的大腦有直接神經毒性作用。當酒精進入人神經細胞膜類脂層時,就開始起破壞性作用:神經細胞脫水、變性、壞死、缺失,神經細胞體萎縮、樹突減少,從而導致大腦萎縮。慢性酒精中毒可造成肝功能損害和胃腸道功能紊亂,造成體內營養物質代謝失調,引起嚴重的營養缺乏,尤以蛋白質、硫胺素、葉酸、類酸等缺乏為著,從而引起腦內髓磷脂代謝障礙,導致腦內的脫髓鞘改變。胼胝體是半球內最大的連合纖維束,髓磷脂含量相對較高,易引起神經細胞的變性、壞死。進一步一發胼胝體進行性變性等疾病。酒精中毒可並發Korsakoff綜合徵和Wernicke腦病。酒精中毒者(和其他營養不良的病人一樣)可出現小腦變性。它的病理和臨床特徵可能與Wernicke腦病相同。姿勢和步態共濟失調可在幾周或幾個月內緩慢起病。也可突然起病。CT顯示上蚓部和小腦葉前部萎縮,套用硫胺素及其他維生素B類可改善症狀。
治療預防
胼胝體進行性變性治療MRI是診斷胼胝體變性最有價值的診斷方法。MRI與CT比較,有多角度、多序列成像優勢,特別是矢狀位、冠狀位比CT顯示病變更早、更準確、更全面,較易與其它疾病鑑別。FLAIR序列能抑制腦脊液的高信號,使病變顯示更加突出,並可區別病灶的新舊程度,進展期表現為高信號,軟化灶形成後為低信號,還可顯示腦萎縮情況及與胼胝體變性並存的其它部位白質脫髓鞘情況,顯示病灶為高信號,說明病灶為進展期,為臨床治療提供可靠依據。一般認為胼胝體變性異常強化持續不超過20天,發病3周后將不出現強化。有研究提示急性發病的胼胝體變性多累及膝部和壓部,慢性表現的病例體部受累多見。
胼胝體進行性變性症患者應立即戒酒。如酒癮已深,以往曾發生癲癇、譫妄、幻覺等戒斷症狀,為防止驟然停飲導致戒斷反應,可予氯丙嗪口服或肌注。國外曾套用行為療法戒酒,在接觸酒類同時,套用阿撲嗎啡或吐根鹼,以產生噁心嘔吐;也有服用戒酒硫(antabuse),使酒的氧化停滯在乙醛階段。
要達到長期戒酒目的。主要需了解病人形成酒精依賴的心理社會因素,因人制宜地採取措施,使病人樹立戒酒的信心和決心。戒酒時應對其慢性中毒症狀作對症處理。飲酒時做到“飲酒而不醉”的良好習慣,切勿以酒當藥,以解煩愁、寂寞、沮喪和工作壓力等,飲酒時不應打亂飲食規律,切不可“以酒當飯”,以免造成營養不良。

