臨床表現
本病患者血糖下降的速度很緩慢,故起病較緩,主要為反覆發作性低血糖症,大多見於清晨早餐前,少數也可見於午飯,晚飯前。飢餓,勞累,精神刺激,飲酒,月經來潮,發熱等可誘發低血糖症,由輕漸重,由偶發至頻發,從一年僅一、二次發作漸漸增加至一日數次發作。發作時間長短不一,最短暫者僅3~5分鐘,歷時長久者可連續數日。低血糖症的典型表現為whipple三聯征:
①有低血糖的症狀和體症;
②血漿葡萄糖<2.5mmol/L(45mg/dl);
③服糖後症狀很快減輕或消失。
本病患者發作時血糖低於正常,但臨床表現與血糖濃度未必成正比。初發者血糖未降至3.3mmol/L(60mg/dl)以下即出現低血糖症,久病者血糖降至1.1mmol/L(20mg/dl)仍無臨床症狀。一般認為,臨床表現與血糖下降的速度、程度、時間等有關,與病人的年齡及機體反應性關係較密切。如血糖下降緩慢,患者對低血糖敏感差,雖血糖已在2.5mmol/L以下,病人可以無交感神經興奮症狀,而逐漸出現精神錯亂,行為異常,嗜睡,昏睡以致昏迷。
本病的臨床症狀可歸納為:
①交感神經興奮和腎上腺素增多;
②意識障礙;
③精神異常;
④顳葉癲癇四個類型。
早期輕症大多以植物神經尤其是交感神經興奮為主;有心悸,軟弱無力,飢餓感,出汗,震顫,面色蒼白及嘔吐作惡等表現;較重者常呈中樞神經缺糖症群,有意識朦朧,昏睡,昏迷,抽搐,精神失常,木僵,肢體癱瘓,錐體束征陽性等。其中以意識障礙最多(占95%以上);其次為抽搐及精神異常。因而本病易誤診為神經及精神疾患。患者為了預防發病常多食,以致多數患者偏胖,久病多發後常影響智力及記憶力,定向力等。癌腫病人低血糖症更嚴重,常伴以肝腫大,消瘦,腹塊,腹痛,腹瀉等。多發性內分泌腺瘤(I型)患者伴有甲狀旁腺功能亢進症,垂體瘤,亦可伴有腎上腺皮質腺瘤或增生,甲狀腺腺瘤等。有的病例伴胰島非B細胞瘤,如胃泌素瘤等。此外,此組病人有的有糖尿病家族史,有的患者可伴有糖尿病。
病理說明
幾乎所有胰島素瘤位於胰腺實質內,異位瘤往往靠近胰腺,但很罕見。據國外Stefanini等報告及綜述世界文獻中951例資料,此組腫瘤均勻分布於胰頭,體及尾部。國內所見,大致與國外相似。腫瘤直徑從0.5cm至>0.5cm,其中87%為0.5~5cm,國內報導最小腫瘤僅0.2cm,大多患者(約65%)腫瘤直徑小於1.5cm,腫瘤大多呈灰白色或紫紅色,邊界清楚但大多無包膜,質較正常胰組織為軟,表面不平,血供豐富,瘤體小,位置隱蔽,手術時難以發現,尤其是胰頭和鉤突部的腫瘤。如腫瘤大並有鈣化則提示惡性可能,惡性腫瘤發現時多已淋巴結轉移,肝轉移最多見,其次為肺和骨轉移。腫瘤組織切面上呈結締組織多寡不一,內分泌細胞組織中有小管樣組織,有時呈澱粉樣變,瘤細胞中含小圓膠體,與其他分泌肽類的瘤細胞不易區別。近年來發現,在胰島B細胞瘤中,除了胰島素外,還含有胰升糖素,胃泌素,胰多肽,生長抑素等多種肽類物質,電鏡下瘤細胞大致可分為四類,典型B細胞中含典型B顆粒,分泌胰島素最多,約占瘤細胞的半數;其次為部分典型B細胞,部分不典型B細胞,其中含A、D細胞顆粒,分泌胰島素較少;第三類為不典型細胞,分泌胰島素更少,但胰島素原較多;第四類幾乎無顆粒,系癌腫樣細胞,但亞微結構示高功能活動,其分泌物可能主要為胰島素原或其類似物(但有報導用螢光抗體法並未證明這一點)。總之,腫瘤細胞的形態和分泌功能與分化程度有關,分化愈成熟者分泌胰島素愈多,愈不成熟者愈少,且同時有其他分泌可能。鏡下癌細胞排列呈索狀或腺樣,較小,胞漿透明而核染色較深,呈方形或多角形,細胞形態不一,核分裂常見,且有軟組織浸潤。胰島B細胞增生有瀰漫性及結節狀兩種,有時伴微小腺瘤。多發性內分泌腺瘤者有甲狀旁腺,垂體,腎上腺,甲狀腺腺瘤的各種組合,尤以前三者為多見。
診斷說明
本病由於神經精神症狀明顯,常被誤診為精神病,癲癇,腦血管意外,腦瘤等。因此,診斷低血糖的關鍵在於對此情況提高警惕。本病患者在低血糖時,如胰島素的分泌不減少,血漿葡萄糖在2.5mmol/L(45mg/dl)以下,而血漿胰島素水平>10μu/ml者應考慮胰島素瘤。但須與其他引起高胰島素血症的因素加以鑑別。為了明確病因須深入檢查,特別是鑑別B細胞瘤(或增生)與功能性原因不明性低血糖症,臨床上有時有困難。胰外腫瘤有時也不易鑑別,肝源性者大多有肝病及肝功能損害等佐證,內分泌源者有相應特殊症群可助分析。鑑別診斷除詳細分析病情外,須作下列檢查作為診斷依據。
空腹及發作時血糖
本病患者空腹及發作時血糖80%~90%在低血糖標準範圍內(<2.5mmol/L),但尚有少數可在3.3mmol/L(60mg/dl)以上,因此,有時必須連續測定5日以上的空腹血糖(或延長飢餓時間4小時),方能肯定有否空腹期低血糖症存在。如多次血糖在2.5mmol/L(45mg/dl)以下,則對本病診斷意義較大。
口服葡萄糖耐量試驗(OGTT)
本病患者約有半數服糖後呈典型低平曲線。服糖後一小時呈早期低血糖症者約11.1%(本院34例患者的分析資料),但不少患者曲線屬正常型或耐量減退型。患者之糖耐量典線的多形性可能與下列因素有關:①腫瘤分泌胰島素的量;②分泌胰島素呈持續性還是間歇性;③腫瘤組織分泌胰島素的自主程度;④瘤外正常胰島B細胞功能是否受到抑制。因此,在作口服糖耐量試驗同時應測定血漿胰島素,並延長至服糖後4小時。儘管OGTT對於本病之診斷價值並不很大,但對於低血糖症的鑑別診斷具有一定的意義(圖1419)。有些正常人在進行OGTT時,血漿胰島素水平正常,但也可出現低平曲線。
血漿胰島素及胰島素原測定
正常空腹靜脈血漿胰島素濃度為5~15μu/ml(本院放免法),文獻報告一般在5~20μu/ml,很少超過30μu/ml。患者胰島素分泌呈自主性,血漿濃度常高於正常。但高胰島素血症亦見於肥胖症,妊娠後期等情況而無低血糖症者,故認為計算胰島素釋放指數對本病診斷價值較高。血漿胰島素(IRI,空腹)與同時測定的血糖(G)之比值IRI/G(mg/dl)稱胰島素釋放指數。Fazans認為正常人此比值<0.3,如>0.3為異常。肥胖者,如血糖<3.3mmol/L(60mg/dl),比值>0.3亦為異常。Foster及Rubenstein認為正常人大多<0.4,胰島素瘤者>0.4,且常在1.0以上。此外,還可計算修正指數:血漿胰島素×100/血漿葡萄糖-30mg/dl,如<50μu/mg為正常,>85μu/mg提示本病。功能性低血糖症多為正常。正常人胰島素原占IRI的15%以下,本病患者血中IRI有25%~100%為胰島素原或其裂解產物之一。
C肽測定
正常人空腹血清C肽為1.0±0.23ng/ml,24小時尿C肽為364.0μg,本病患者高於正常。
刺激試驗
1.葡萄糖刺激胰島素釋放試驗(行4hOGTT同時測定胰島素)如胰島素高峰超過150μu/ml為陽性。
2.D860刺激試驗 空腹口服2gD860(與2gNaHCO3同服)後每半至1h測定血糖及胰島素,下列結果均為陽性:①血糖最低值為基值的35%以下(即下降>65%);②絕對值<1.66mmol/L;③低血糖持續180分鐘;④血漿胰島素峰值>120μu/ml。本試驗亦可作D8601g靜脈法,將D8601g溶於20m蒸餾水中,於2分鐘內靜注完畢,每5分鐘取血一次,共三次。陽性結果同上。此試驗只有60%的病人呈現陽性反應,且有假陽性(肝病或肥胖症),目前臨床已少用。
3.胰高糖素試驗 靜脈注射1mg胰升血糖素,然後每5分鐘採血一次,共3次。若有一次血漿胰島素水平>135μu/ml,應考慮本病的診斷。但陽性率僅50%,亦有假陽性者,如有過高反應時,約在注射後60分鐘可出現嚴重低血糖反應。各種刺激試驗用以探查B細胞是否有過強反應,有助於本病的診斷。但有的患者可無過強反應,而且此試驗有時可引起嚴重而持久的低血糖反應,有一定危險性,因此,本試驗僅限於經飢餓試驗未能確診者。如在試驗過程中有神經缺糖症狀出現,應立即終止試驗。
飢餓試驗(禁食試驗)
胰島B細胞瘤患者禁食12~18h後約有2/3病例血糖降至3.3mmol/L以下(靜脈血漿葡萄糖),24~36h後絕大部分患者發生低血糖症,如血糖<2.2mmol/L(40mg/dl),伴典型症群者應終止試驗。如禁食72小時而不發生低血糖症者可除外本病診斷。此為本病定性診斷中採用較多的試驗。
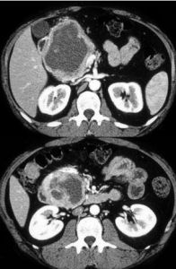
腫瘤的定性檢查
經上述各種檢查已證實有胰島素分泌過多者,應進一步作定位診斷。可採用B型超音波,電子計算機斷層攝影(CT)及選擇性動脈造影等以助診斷。腹腔動脈及腸系膜上動脈,脾動脈造影分別定位胰頭,胰體及胰尾部位的腫瘤。由於多數患者腫瘤體積很小,故B型超聲及CT掃描陰性者不能除外本病。選擇性腹腔動脈造影對細小腫瘤的定位有一定的價值。如有癌腫者還須作肝掃描,如有多發性內分泌腫瘤者,則須查血鈣,磷,尿鈣,尿磷及骨片,以便診斷有否合併甲狀旁腺功能亢進症,必要時行蝶鞍攝片及垂體,腎上腺功能試驗等以助診斷。
治療說明
對本病患者的治療,手術切除腫瘤是最理想的治療方法。
手術成功的關鍵是找到腫瘤,有時腫瘤位置隱蔽(文獻報導隱匿性瘤多見於胰頭及鉤突部位)或腫瘤太小不能發現或腫瘤為多發性未能全部發現時,手術可失敗。故對於難以定位或腫瘤未搜及者可考慮胰次全切除術,即切除2/3胰腺(胰尾及胰體),但成功率只有25%。反跳性高血糖是手術成功(已切除腫瘤)的佐證。術中局部探查淋巴結對確定腫瘤性質非常重要。對於少數尚無肝轉移的惡性胰島素瘤患者,手術切除受累淋巴結可望治癒。術前可試用氯苯甲噻二嗪(diazoxide)300~600mg/d,分3次口服,以抑制胰島素分泌,其副作用為鈉水瀦留(可同時加用雙氫克尿塞),胃刺激症狀及輕度多毛症。在手術日亦應使用此藥,以減少低血糖發生的危險性。
其他抑制胰島素分泌的藥物,如苯妥因鈉及鈣通道阻滯劑等亦可試用。長效生長抑素衍生物octreotideacetate(人工合成的生長抑素或稱SMS201-995)是一種具有前景的藥物,但國內尚未採用。鏈脲黴素是治療胰島B細胞癌的首選藥物,每周靜脈滴注0.6~1.0g/m2,總劑量為8~10g,約兩周可初見效果。最大療效見於5周后,但此藥毒性很大,治程中幾乎每例皆有噁心,嘔吐,厭食,腹瀉及腹痛等胃腸道反應,2/3患者可有轉氨酶增高,蛋白尿,肌酐清除率降低,尿素氮增高等,故此藥僅作為術後的輔助化療,對良性胰島B細胞腺瘤無明顯治療作用。
如鏈脲黴素無效或有嚴重反應不能堅持使用時,還可用L-天門冬醯胺酶(L-asparaginase)治療。手術療效的可靠佐證是血糖上升。此外,發作時應予口服糖水或靜注葡萄糖,最好予澱粉類食品維持,不然可再次發生更嚴重的低血糖症。
本病胰島素瘤被切除後療效良好,但長期低血糖症引起的腦細胞損害則不易完全恢復。惡性腫瘤預後較差。


