肺青黴病體徵
肺青黴病病因
肺青黴病1.菌落特徵
(1)生長速度:在25~28℃培養時,一般生長較快,培養12~14天通常菌落直徑可達5~6cm。
(2)顏色:表面顏色主要表現在分生孢子區,大多數為藍色或灰綠色。氣生菌絲大部無色,少數有色。基內菌絲體無色或呈各種顏色,色素滲於基質,可使基質表現相應顏色。
(3)菌落質地:典型可分4種類型。①絨狀:很少有氣生菌絲。分生孢子梗幾乎全由埋伏型菌絲或緊貼於基質的一層緻密的菌絲層生出。②絮狀:有較多疏鬆而糾纏的氣生菌絲團。分生孢子梗主要由氣生菌絲分支而出,其著生點遠離基質。③繩狀:大部分氣生菌絲集成一縷縷繩索狀,低倍鏡下易辨認。④束狀:分生孢子梗大部分由基質生出,非均勻分布,或多或少成簇,使菌落成粒狀或粉狀外觀,甚至大部分分生孢子梗可集合成一條條菌絲束,實際觀察中可有過渡類型存在。有的菌種能產生滲出液或特殊氣味。
2.帚狀支
(1)單輪青黴組:帚狀支由單輪瓶梗構成。
(2)對稱二輪青黴組:有緊密輪生的梗基,每個梗基上生著細長尖銳瓶梗,全部帚狀支對主梗而言大體對稱,緊密如漏斗狀,分生孢子多為橢圓形。
(3)不對稱青黴組:包括一切帚狀支作兩次或更多次分支,對主梗而言不對稱,近於對稱者亦無對稱二輪組那樣緊密結構及細長漸尖銳的瓶梗。
(4)多輪青黴組:帚狀支極複雜,多次分支且常對稱。此組菌為數很少。
生理
肺青黴病診斷
肺青黴病檢查
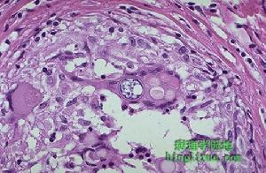
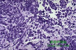
肺青黴病2.細菌培養在葡萄糖蛋白腖瓊脂和察氏培養基上,25~28℃孵育下迅速生長,菌落為絨狀、絮狀、繩狀或束狀。表面多為藍色或灰綠色。基質可有各種顏色。
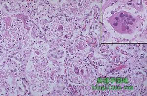
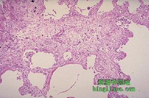
其他輔助檢查:X線胸片呈現局灶性肺炎症浸潤或空洞形成,有報告X線征呈“皂泡”狀,密度普遍很淡,下肺較集中,皂泡壁厚和大小極不一致。
鑑別
肺青黴病治療
肺青黴病對於未明確病原者,抗生素不宜作為常規使用。盲目套用抗生素會導致耐藥菌的產生、二重感染等一些嚴重後果。但如果患者出現發熱、膿性痰和重症咳嗽,則為套用抗生素的指征。對急性氣管支氣管炎的患者套用抗生素治療,可套用針對肺炎衣原體和肺炎支原體的抗生素,如紅黴素,每天1g,分4次口服,也可選用克拉黴素或阿奇黴素。在老年人、患有心肺基礎疾病者可以套用大環內酯類、β-內醯胺類或喹諾酮類口服抗菌藥物。肺炎支原體、衣原體和百日咳桿菌對紅黴素和多西環素甚為敏感。
流行病
肺青黴病