診斷
一.病史、症狀:
發病年齡多在青壯年,男女無差別。早期無症狀,瘤體較大或合併感染後,可有咳嗽、喀痰、呼吸困難甚至咯血等症狀,可反覆發作,少數有杵狀指。
二.體檢發現:
早期無症狀,瘤體巨大者,肺部聽診可有局部呼吸音減弱,合併感染後肺部可有濕性羅音。
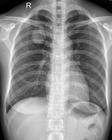
三.輔助檢查:
X線胸片可見圓、橢圓形,大小不等實性或囊性陰影,囊內密度不均,常可發現牙齒或鈣化影,胸部CT掃描可更清楚顯示囊內結構有助確診。必要時可行經胸壁肺活檢或開胸探查確診。
四.鑑別診斷:
應與肺癌、其他肺部良性腫瘤相鑑別。
【治療措施】
無症狀者不需要治療,有感染時給予抗生素治療,瘤體巨大壓迫症狀嚴重,可手術切除。
畸胎瘤是由什麼原因引起的
發病原因
椎管內胚胎組織異位性腫瘤系胚胎髮育過程中殘存的胚層細胞發展而成。依組織結構不同可分為表皮樣囊腫、皮樣囊腫、畸胎樣囊腫及畸胎瘤。前兩種是由外胚層組織發生而成。畸胎瘤含有3個胚層結構,畸胎樣囊腫則含有2個胚層結構。
發病機制
椎管內畸胎瘤是由起源於3個胚層的細胞混合而成的。根據組織學特徵,畸胎瘤可分為成熟的、幼稚的及惡性畸胎瘤三類型。椎管內畸胎瘤的起源尚存有爭議。Poeze等認為椎管內畸胎瘤可能起源於胚胎形成早期,幼稚生殖細胞錯位,脊髓中央管室管膜憩室形成或胚胎髮育異常等機制。有的病人可以在畸胎瘤鄰近部位皮膚處出現成簇叢狀生長的毛髮,或伴有脊柱裂,這樣表現的最可能為胚胎形成早期幼稚的生殖細胞錯位所致。
畸胎瘤的危害
1、是卵巢生殖細胞腫瘤中常見的一種,因為生殖細胞中含有人體外胚葉、中胚葉和內胚葉三種組織成分,所以瘤子裡會有毛髮、油脂、皮膚、牙齒、骨片等外胚葉組織,也可能含有中胚葉或內胚葉組織如肌肉、胃腸、甲狀腺組織等,可以像“怪物”般那樣可怕。
2、縱隔畸胎瘤常可壓迫呼吸道而引起嗆咳、呼吸大夫困難及頸靜脈怒張;後腹膜畸胎瘤多有腹痛,並可引起腸梗阻。盆腔和骶尾部隱型畸胎瘤多因便秘、排便體貼困難、尿瀦留而就診。
3、而且瘤體會合併感染破裂,由於是異常組織,長時間在體內有惡變的可能。
4、瘤體有惡性和良性之分,常表現為腫瘤迅速生長,失去原有彈性、外生性腫瘤可見淺表靜脈怒張、充血、局部皮膚被浸潤並伴有皮膚溫度增高。同時出現消瘦、貧血、瘤性發熱等全身報告症狀。
卵巢畸胎瘤
卵巢畸胎瘤是常見的卵巢生殖細胞腫瘤,來源於生殖細胞異常增生集聚形成,可發生於睪丸、卵巢、縱隔、骶尾部等,瘤中常會有毛髮、牙齒、肌肉、脂肪等人體胚葉組織.卵巢畸胎瘤的種類主要包括未成熟畸胎瘤和成熟畸胎瘤,一般來說未成熟畸胎瘤的預後效果較差,手術無法保證徹底清除,且有復發的危險.而良性畸胎瘤的預後較好,瘤組織分化成熟,約有2%發生惡變.臨床上畸胎瘤的良惡性判斷可通過B超、CT、MRI或病理檢查.按照您所提供的超聲報告,應該屬於良性,但需要到大醫院進一步明確診斷,建議再做一次檢查以確定包塊的性質.手術可考慮選擇創傷小、恢復快的腹腔鏡手術.良性卵巢畸胎瘤不一定要切除卵巢,可行局部剔除術或部分卵巢切除術,惡性則要根據情況而確定手術的範圍.一般術後婦女月經正常,不影響卵巢和生育功能,而受孕率通常也不會降低.

