診斷依據
臨床表現
1、寒冷季節發病,夏季消退,好發於中青年女性,特別股屯肥胖者易見。
2、臨床表現分成多形紅斑型、青斑性血管炎型和紅斑結節型等。
①多形紅斑型:在股外上方和臀部發生豆大至指頭大、圓形、鮮紅色水腫性紅斑,中央呈黯紅或紫紅色,境界清楚,輕微隆起,可向周圍擴展增大而互相融合,對稱分布。
②青斑性血管炎型:皮疹青紫、黯紫紅或青褐色網狀斑,表面輕度糜爛,結痂、脫屑,中央具有淺瘢痕。
③紅斑結節型:局部皮膚發生黯紫色或紅褐色的紅斑或小結節,有時可見淡紅色豆大的斑塊。
實驗室檢查
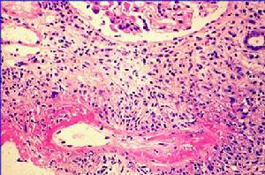
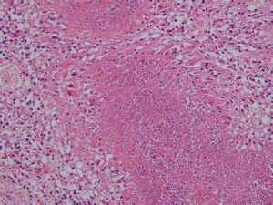
股臀皮膚血管炎病理
真皮上部血管擴張,血管壁增厚,內皮細胞腫脹,示圍管性淋巴細胞和單核細胞浸潤。
鑑別診斷
需與下列皮膚病相鑑別:多形紅斑、冷球蛋白血症、冷纖維蛋白原血症、白細胞碎裂性血管炎、凍瘡。
治療方法
1、注意保暖,避免受寒。
2、有原發病時應及早治療。
3、可用維生素C、皮質類固醇或免疫抑制劑,如環磷醯胺等。
4、局部可作對症處理。

