病因
肺部纖維化臨床表現
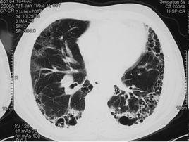
肺部纖維化檢查
1.查體
進行性氣急、乾咳、肺部濕囉音或捻發音。
2.X線檢查
早期雖有呼吸困難,但X線胸片可能基本正常;中後期出現兩肺中下野彌散性網狀或結節狀陰影,偶見胸膜腔積液,增厚或鈣化。
3.實驗室檢查
可見血沉增快,一般無特殊意義。
4.肺功能檢查
可見肺容量減少、彌散功能降低和低氧血症。
5.肺組織活檢
可提供病理學依據。
診斷
根據臨床表現及相關檢查可確診。
治療
1.藥物治療
(1)糖皮質激素。
(2)免疫抑制劑或細胞毒藥物。
(3)抗氧化劑。
(4)抗纖維化藥物。
(5)受體抑制劑。
(6)免疫調節劑。
(7)其他藥物。
(8)基因治療方法。
2.氧氣療法
3.濕化與霧化治療
4.呼吸機的套用
5.肺臟移植

