fatty degeneration of liver
其原因為:脂蛋白合成障礙、中性脂肪合成過多、脂肪酸的氧化或酯脂障礙。
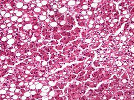
肝臟發生脂肪變性時,輕者,眼觀無明顯異常,嚴重時,可見肝臟腫大,質地較軟,色澤淡黃至土黃,切面結構模糊,有油膩感,有的甚至質脆如泥。鏡下可見在變性的肝細胞漿內出現大小不一的空泡,起初多見於核的周圍,以後變大,較密集散布於整個胞漿中,嚴重時可融合為一大空泡,起初多見於核的周圍,以後變大,形似脂肪細胞。如果肝臟的脂肪變性伴有慢性肝淤血時,則肝切面由暗紅色的淤血部分和黃褐色的脂肪變性部分相互交織,形成類似中藥檳榔切面的色彩,故稱之為“檳榔肝”。冰凍切片,脂滴可被蘇丹三染成橘紅色。
肝脂肪變性系病理診斷,其臨床意義:肝脂肪變性是可復性損傷,病因消除後可恢復正常。重度肝脂肪變性稱為脂肪肝,可引起肝腫大、痛壓和肝功能異常。長期脂肪肝可引起肝細胞壞死、纖維增生,肝硬化。

