病理
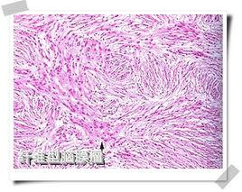
起源於腦膜成分的腫瘤中,只有含蛛網膜細胞或含向蛛網膜細胞分化的細胞的腫瘤才可以歸類為腦膜瘤。Ⅰ級腦膜瘤是復發和侵襲性生長風險較小的腦膜瘤,Ⅱ 級和Ⅲ級腦膜瘤較Ⅰ級腦膜瘤瘤細胞豐富、細胞生長活躍、核大深染、異形性明顯,是復發和侵襲性生長風險大的腦膜瘤。纖維型腦膜瘤是腦膜瘤的常見亞型,屬於較少機會復發和侵襲的腦膜瘤,WHO 分級I級。瘤細胞及其核均呈長梭形,膠質纖維較多,瘤細胞排列成疏鬆的同心漩渦狀。腦膜瘤 的病理學分型、組織結構特點、良惡性等對手術方案的制定有重要的意義。
MRI表現
腦膜瘤的常規序列MRI表現與病理分型、分級的對照研究,國內外有許多報導,結論不一。多數學者認為綜合考慮腦膜瘤的各個方面的表現,如信號強度、包膜、瘤周水腫情況、強化後的表現、瘤內的血管等,可以給出某一亞型腦膜瘤的提示[4,5,8,9,10]。多數研究認為T1WI與腦膜瘤的病理學分型無明顯的相關性。纖維型腦膜瘤往往包膜完整,瘤體內膠原纖維玻璃樣變及鈣化的出現使其自由水含量減少,間質成分增多,因此造成其T2WI信號較低,許多學者認為這種表現是纖維型腦膜瘤 常見的表現[5,8,9]。
MRI基本原理
在生理狀態下,人體內的水分子處於不停的微觀運動中,即隨機熱運動或布朗運動,這種現象就稱為彌散現象。DWI就是通過成像脈衝序列的設計,將彌散對 MRI信號的影響放大,從而達到診斷和鑑別診斷目的的一種功能性MRI序列。其重點考慮的是分子擴散運動所引起的質子間微觀距離的變化對MRI信號的影響。在大多數生物體內,彌散過程受到許多天然屏障的阻礙,如各種膜成分、大分子蛋白、多糖等,這種彌散稱為受限彌散。利用這種原理可以測得分子擴散受限的定量指標,從而評價機體的微觀構造和環境。MRI彌散加權成像鑑別蛛網膜囊腫和膽脂瘤、腦膿腫和囊變壞死的腫瘤的的作用已經得到肯定。另外還用於膠質瘤的分級、腫瘤治療效果的監測和評價、選擇腫瘤活檢的穿刺點、惡性腫瘤周圍浸潤的顯示等方面。
病理分型
DWI套用於顱內腫瘤的研究也有許多報導,研究認為DWI表現和ADC值與腫瘤細胞結構、細胞核漿比、細胞間基質、細胞外間隙、血管間隙等相關,但不同作者的觀點並不一致。腦膜瘤DWI可以表現為高、等、低信號,與腦膜瘤的分級、分型無明顯的相關性,而ADC值與腫瘤的細胞密度和級別有相關性[1,3,6]。本文主要對纖維型腦膜瘤的MR彌散加權信號表現展開討論。作者在回顧分析我院經病理證實的腦膜瘤時發現腦膜瘤的DWI信號表現多樣,高信號或以高信號為主者較多見,其次是等信號或混雜信號,並且與常規序列T1WI及T2WI信號之間沒有明顯的相關性。
Christopher D.Filippi等的一項研究也得出相似的結果。低信號腦膜瘤較少見,上述諸多影響DWI表現的因素都可能對低信號的形成起到作用,但是具體的作用機制有待進一步研究。低信號纖維型腦膜瘤較其他病理亞型的低信號腦膜瘤發生率明顯增多,考慮可能與其瘤體內膠原纖維含量多,而水分子含量少有關。部分生長活躍和惡性腦膜瘤也可以表現為DWI低信號,但推測其形成原因可能與纖維性腦膜瘤不同。DWI表現為明顯均勻低信號不能作為腦膜瘤分級的依據,這與以往的研究結果相同。
纖維型腦膜瘤MRI彌散加權成像信號表現多樣,不能單純根據信號對其作出分型診斷及進行分級,但當出現明顯均勻低信號時可以首先考慮纖維型腦膜瘤。

