定義:
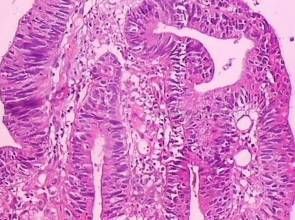
結腸腺癌是結腸腺上皮來源的常見消化道惡性腫瘤,屬於結腸癌多種病理類型中的一種。
病因:
其病因尚未明確,但本病的發生與多脂肪少纖維的飲食有關,腺瘤狀息肉、結腸血吸蟲、非特異性潰瘍性結腸炎、結腸腺癌細菌性痢疾、阿米巴腸病等亦與本病發生密切相關。約 40%的結腸癌分布於直腸及直腸乙狀結腸曲,其餘分布於乙狀結腸、盲腸、升結腸、降結腸、橫結腸及肝、脾曲等處。
分類:
結腸腺癌是結腸癌中類型最常見的一種,其餘分類有粘液腺癌及未分化癌,大體形態可呈息肉狀、潰瘍型等。
臨床表現:
結腸癌起病隱匿,早期僅見糞便隱血陽性,逐步為血便、痢疾樣膿血便,里急後重,有時呈 頑固性便秘,大便形狀變細,或糊狀大便,或腹瀉與便秘交替,這些改變成為結腸癌的突出表現。病人常有不同程度的腹痛,常有糜爛、壞死和繼發性感染,如發生在右側則會產生右腹部鈍痛,有時出現餐後腹痛。
左側結腸癌常並發腸梗阻,時有腹部絞痛,伴有腹脹、腸鳴音亢進等。腹部腫塊多見於右腹部,是右側結腸癌的表現之一,提示已到中晚期,腫塊表面可有結節感 ,一般可以推動,但到腫瘤晚期時則固定,合併感染時可有壓痛。結腸癌的患者可出現進行性貧血,低熱,進行性消瘦,惡液質,肝腫大、浮腫、結腸腺癌黃疸和腹水等。
結腸腺癌的化學治療:
化學治療在結腸腺癌的治療中占有重要地位,一般可於術後進行。手術後的病人化療一般一年~一年半內可使用2~3個療程,常用藥物主要是5-氟脲嘧啶(5-FU),也可聯合套用絲裂黴素、環磷醯胺等,5-FU每個療程總量可用7~10克。可口服或靜脈給藥,最好加入葡萄糖液中滴注.每次250毫克,每日或隔日一次。結腸腺癌如果反應較大如噁心、食慾減退、無力、白細胞和血小板計數下降等,可減少每次用量,或加大間隔期。骨髓抑制明顯時可及時停藥。口服法胃腸道反應比靜脈給藥大,但骨髓抑制反應輕。用藥期間必須注意支持治療,並用減少副作用的藥物。癌腫未能切除的病人行化療,有一定減輕症狀控制腫瘤生長的作用,但效果較差,維持時間短,如病人一般情況差時,副作用顯著,反而加重病情,不宜套用。

