病因
目前確切病因不明。一般認為直腸腺癌與以下因素相關:1.飲食因素
如長期高脂肪、高蛋白及低纖維素飲食者,直腸腺癌的發病率增高。
2.直腸腺瘤
直腸腺癌多由直腸腺瘤癌變而來,其中以絨毛狀腺瘤癌變率最高,並且腺瘤越大癌變率越高,較大的無蒂寬基腺瘤性息肉較有蒂容易癌變,一般認為腺瘤性息肉是癌前病變。
3.遺傳性癌前病變
遺傳性非息肉病性結直腸癌、家族性腸結腸息肉病等。
4.大腸炎症性疾病
(1)潰瘍性結直腸炎的癌變率在1%~9%。
(2)血吸蟲結腸炎:由於血吸蟲卵長期沉積於結直腸黏膜,導致慢性炎症、潰瘍形成,隨之發生癌變。
臨床表現
1.便血
直腸腺癌2.大便習慣改變
由於腫塊及其產生的分泌物,可產生腸道刺激症狀,如便意頻繁、排便不盡感、里急後重等症狀,但排出物多是黏液膿血狀物,以後次數逐漸增多,甚至夜間不能入睡,改變了往日大便習慣。
3.腸道狹窄及梗阻現象
疾病進一步發展,癌腫浸潤腸壁周徑較大時,使腸腔狹窄,出現腹痛、腹脹、大便變細、變形等表現,晚期為排便困難,直至出現腸梗阻症狀。有時在腹部可捫及結節或條索狀包塊。
4.肛門疼痛及肛門失禁
直腸腺癌一般不出現疼痛,但直腸下段腺癌如浸潤肛管部可引起局部疼痛,如累及肛管括約肌則可引起肛門失禁,黏液血便經常流出,污染內褲;癌腫感染或轉移,可引起腹股溝部淋巴結增大。
5.其他
直腸腺癌如浸潤其他臟器及組織,可引起該處病變症狀:侵犯骶神經叢可使骶部及會陰部疼痛,類似坐骨神經部疼痛;侵犯膀胱、前列腺,可引起膀胱炎、尿道炎、膀胱直腸瘺、尿道直腸瘺,女性可引起陰道直腸瘺,即陰道排出糞便或黏液膿血。肝轉移後可引起肝腫大及黃疸、腹水等肝功能受損症狀,全身症狀可有消瘦、貧血等惡液質現象,有時還可出現下消化道大出血及穿孔後引起瀰漫性腹膜炎等症狀。
檢查
1.直腸指檢直腸指檢是診斷直腸腺癌的最重要的方法,我國75%的直腸癌位於直腸中下段,直腸指檢易觸及。直腸指檢發現腫塊時,要記錄腫塊大小、形態、質地、位置、活動度、占腸腔周徑多少、腫塊下緣距離肛門的距離等。
2.血CEA檢測
大約30%~40%大腸癌患者血CEA檢測陽性,尤其肝轉移的患者陽性率較高。血CEA對判斷直腸癌患者的預後有較大作用,如果術前血CEA的水平高,術後1個月左右恢復正常,說明腫瘤切除較完整;若血CEA恢復正常後經過一段時間又升高,提示腫瘤有復發轉移可能。
3.糞便隱血檢查
此檢查是大規模篩查結直腸癌的重要方法,本法簡單、無痛,便於開展。無症狀陽性者癌腫發現率在1%以上。
4.直腸鏡或結腸鏡檢查
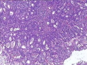
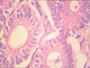
腸鏡檢查可以在直視下肉眼作出診斷,而且可以鉗取腫塊組織作病理切片檢查,以確定腫塊性質及其分化程度,活檢組織行病理檢查是確診直腸癌最好的方法。
5.盆腔磁共振檢查、腹盆腔CT
可了解腫瘤的部位、與鄰近結構的關係、直腸周圍及腹盆腔其他部位有無轉移,有助於術前臨床準確的分期,制定合理的綜合治療的策略。
6.直腸腔內B超
可為直腸癌的診斷提供參考,可顯示出腫瘤浸潤的深度、範圍和方向,以及鄰近組織和器官是否受侵犯,有益於術前對腫瘤的局部侵犯情況進行評估,以制定治療方案。
7.胸部CT或胸部X線檢查
了解肺部、胸膜、縱隔淋巴結等有無轉移。利於術前分期,制定綜合治療方案。
診斷
根據臨床表現及輔助檢查不難作出臨床診斷。治療
直腸癌的治療是以外科手術為主,輔以化療、放療或靶向治療等的綜合治療。1.手術治療
手術是早期直腸腺癌的主要治療方法,凡是能夠切除的直腸癌如無手術禁忌證,都應儘早施行直腸癌根治性切除手術;一些不能進行根治性切除術的患者,如出現大出血或者腸梗阻,也需要進行手術,叫姑息手術。
手術方式的選擇:根據癌腫所在部位、大小、活動度、細胞分化程度、術前的排便控制能力及術前臨床分期等因素進行綜合判斷,具體如下:
(1)局部切除術適用於早期瘤體小、局限於黏膜或黏膜下層、分化程度高的直腸癌。
(2)腹會陰聯合直腸癌根治術、永久性乙狀結腸造口(Miles手術)適用於癌腫距離肛門小於5cm的直腸癌患者;本術式優點是徹底、根治效果好,但是手術損傷大,形成永久的人工肛門。
(3)經腹直腸癌切除術(Dixon手術)適用於癌腫距離肛門大於5~7cm的直腸癌患者,切除腫瘤及腸段後,將結腸與直腸或肛管在腹腔內行吻合。該術式保留了肛門及肛門括約肌,患者可以自然排便。
(4)經腹直腸癌切除、近端造口、遠端封閉手術(Hartmann手術) 適用於因全身一般情況很差,不能耐受Miles手術或者急性腸梗阻不宜行Dixon手術的直腸癌患者。
近年來出現的腹腔鏡輔助手術是一項外科新技術。大量研究表明,腹腔鏡下直腸癌根治術的預後與開腹手術相比無差別,但是腹腔鏡行直腸腫瘤切除術具有創傷小、術後併發症少、疼痛輕、恢復快等優點。
2.化療
化療是治療大腸癌的一個重要輔助手段,對於已經根治切除者,其目的是預防和降低轉移及復發率;對於未能行根治性手術的患者,亦可進行化療,以抑制腫瘤進展、緩解症狀,儘量延長患者生存期。化療時機有術前、術中和術後之分。化療給藥途徑有口服、動脈灌注、門靜脈給藥、靜脈給藥、術後腹腔置管灌注給藥及溫熱灌注化療等。化療方案的選擇要依據患者直腸癌分期、全身情況等因素綜合決定。目前最常用的化療方案是:靜脈給藥給予“5-FU+亞葉酸鈣+鉑類”,口服“卡培他濱”等。
3.放療
放射治療在直腸腺癌治療中有著重要的地位,是手術治療外的一個重要輔助方法。一部分患者手術之後進行輔助的放療,可以減少復發轉移,獲得很長生存期。晚期不能手術切除的直腸腺癌患者,套用放療,大多可以達到緩解症狀的目的,特別對於緩解疼痛有較好的效果。放療時機亦有術前、術中和術後之分。方法有外照射、腔內照射、插植入放療等。除早期及廣泛轉移的直腸癌外,原則上都要行術前放療,尤其對下列患者更有價值:腫瘤惡性程度高、DukesB、C期、腫瘤巨大較固定。
4.生物靶向治療
對於晚期或轉移性結直腸癌的轉化治療,基於目前大量研究數據,生物製劑(如貝伐珠單抗、西妥昔單抗或帕尼單抗等)與鉑類或伊立替康等的聯合套用,使患者的手術切除率、生存率均提高,並且部分靶向治療已獲美國國立綜合癌症網路治療推薦,被列為一種治療選擇。

