概念
稀有放線菌其中主要集中在鏈黴菌屬,其次是小單孢菌屬和諾卡氏菌屬。此外,近年來有許多新抗生素來源於這三個屬以外,即所謂稀有放線菌屬。
分類
對中國土壤嗜酸放線菌的種群分布和系統發育關係研究發現:其中的稀有放線菌占約10%,分別屬於6個屬,其中諾卡氏菌屬 (Nocardia)是一優勢菌群;鏈黴菌占90%,在整個鏈黴菌科的系統發育樹上構成7個與已知種不同的進化群
稀有放線菌近年來通過放線菌系統學研究,發現了一批新屬種 利用現代放線菌多項分類的手段,對210多株生物活性物質產生菌、形態特殊或生理特性特殊的稀有放線菌進行了系統分類學研究。發現了放線菌1個新科,5個新屬和 34個新種,並在國際權威刊物發表。
稀有放線菌的分離
分離原理
由於稀有放線菌在自然界中存在的數量比鏈黴菌少得多,所以常規的土壤分離方法往往較難分離得到它們。有目的的分離稀有放線菌的工作可以採取如下一些措施:一是採用選擇性培養基,抑制鏈黴菌的生長;二是將土樣作適當的處理,殺死土樣中敏感的微生物。
由此創造出讓不敏感的稀有放線菌生長出來的條件;三是從某些具有特殊微生物區系的土樣、水樣、動植物殘體或活體中分離其特殊的放線菌。這裡介紹用選擇性培養基從土壤中分離馬杜拉屬與遊動放線菌等稀有放線菌的方法
分離器材
(1)馬杜拉屬放線菌的分離:
1)土壤:選擇含放線菌比較多的森林土壤或耕作土壤,風乾後過80目或100目篩。
2)抗生素:利福平、卡那黴素。二者均可購買市售的針劑,利福平配成500IU/mL,卡那黴素配成l000IU/ml的原液,過濾除菌,儲藏於冰櫃中備用。
3)其他器材:土樣篩、恆溫水浴鍋、無菌平皿、恆溫培養箱。
4)分離用培養基:見附錄三。
(2)遊動放線菌的分離:
1)培養基
2)無菌水洋菜(3%)。
分離方法
1)馬杜拉屬放線菌的分離:
分離方法(混土法)。
取8套無菌平皿,每皿中倒入15mL熔化的水洋菜,凝固後即成分離平板底層。
取上述分離培養基兩瓶(250mL二角瓶裝培養基50mL)熔化後,置於60℃水浴中,然後向其中的一瓶培養基中加2mL利福平溶液,混勻。向另外的一瓶培養基中加入2mL卡那黴素溶液,混勻。
將上述分離培養基逐一取出,放置片刻,待溫度降至55℃左右時.向每瓶中加5mg左右的細土樣,迅速搖勻、傾注約5mL於底層平板上.馬上蕩平成一均勻的薄層。每瓶培養基應倒4個平板。注意分別寫好編號。
將所做好的混土平板置於28—30℃恆溫箱培養。在二周后、三周后分兩次挑菌挑出的菌應在分離用培養基上用劃線法進一步純化,待單菌落長成之後轉接斜面,供進一步的篩選與鑑定實驗用。
(2)遊動放線菌的分離:
分離方法(自然基質誘導法)。
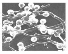
取大約一平匙土壤,放於一無菌平皿中,用適量的無菌水將其淹沒。然後取數片煮過的草葉或者某種植物的花粉(如松樹花粉、楓香樹花粉等),放入水中,讓這些物體漂浮在水面土,若水不夠.可適當再添一點無菌水。在25—30℃溫度下培養4—7d之後,用100×的解剖鏡檢查水面。
鏡檢時應採用較強的水平光照,以便發現遊動放線菌所產生的在空氣與水的界面上形成的孢囊。在這種情況下,孢囊往往表現為白色發亮的泡狀,在顯微鏡操作器下將產生這些孢囊的誘導基質連同孢囊轉移到3%的無菌水洋菜平板上。
在解剖鏡下切下孢囊並將其小心地在水洋菜平板表面滾動數厘米遠的距離。此時,孢囊上基本上無細菌污染。將孢囊連同瓊脂塊切下來,轉到蔗糖察氏瓊脂斜面上。25—28℃下培養數天。
如果這些孢囊可以形成無雜菌的小菌落,則把這些菌落轉管擴大培養。
