適應症
眼部X線
適用於眼球突出、眼眶外傷、異物定位和淚道阻塞的檢查等。
(1)眼部常用的投照體位。
(2)異物定位。
(3)淚囊造影:在沖洗淚道、壓迫淚囊後,經淚小點注入40%碘油或60%泛影葡胺1~2ml,拭去結膜囊殘留造影劑,攝眶正、側位像,觀察造影劑充盈情況。
4)眼球突出:可觀察眶容積、密度大小、眶壁和視神經孔改變,眶上裂擴大以及鄰近結構的變化。
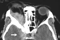
眼部CT檢查
眼部CT檢測圖(1)①眼球內病變:白瞳症、視網膜母細胞瘤、脈絡膜骨瘤、黑色素瘤及轉移瘤等。②眼眶病:有眼球突出或疑有眶內腫瘤,眶內炎症及寄生蟲,視神經及眼外肌病變,血管性病變如靜脈曲張、動靜脈瘺、眶壁腫瘤及缺失畸型等。③眼外傷:異物、眼球破裂、骨折、軟組織血腫等。④眶鄰近結構病變。⑤視路病變等。(2)①水平層面;眼眶豎徑35~40mm,取3mm厚度需14個斷層面,可分別觀察眶下部、中部和上部大部分結構及形態。②冠狀層面:可顯示眶頂、眶底和眼外肌的厚度,甚至眼動靜脈等小結構,彌補水平CT的不足。③矢狀層面,在平行於眶軸的層面上,可顯示眶上、下壁,上、下直肌及眶內神經的全程。
操作方法
眼部X線常規利用X線的螢光作用,將患者置於球管與螢光屏之間,進行觀察稱為透視。
螢光透視
X線檢測系統未採用螢光增強裝置,螢光亮度較低,必須在暗室內進行操作。
注意選擇適當的透視條件, 胸部透視用55~65KV、2~4mA;透視前做好眼睛暗適應。透視時,應將患者被檢部位貼近螢光屏,以防止影像放大和失真;此外透視時間不可過長,注意射線防護。現僅在基層醫院採用該透視方法。
X線攝影
採用影像增強器與電視系統結合,避免了暗室操作,擴大了檢查範圍,減低了病人所受的射線劑量。
利用X線的攝影效應,X線照射到感光膠片上,產生潛影,再將膠片經顯影和定影處理後而成像的方法稱為X線攝影。
攝影步驟
核對、確認病人信息;確定攝片位置並選擇適當尺寸大小的暗盒;在暗盒上標記病人信息;慮線器的選擇,如脊柱、骨盆及胸腹部應選用慮線柵;除去身上的能明顯影響X線穿透力的物質,如金屬、膏藥等;擺好體位,對準中心線;選擇適當的曝光條件,焦點大小以及焦-片距等;攝片部位與呼吸有關應屏氣,如胸、腹部平片;曝光,完畢後做好攝片條件記錄。
普通檢查
常稱為平掃或非增強掃描,指未行靜脈內注射造影劑或造影的掃描。一般常規先行平掃。腹部及盆腔普通掃描通常在掃描前口服一定量的對比劑充盈胃腸道,以增加胃腸等空腔臟器與周圍組織結構的對比度。
增強掃描
就是在掃描前由靜脈內注入水溶性有機碘造影劑後再行掃描的方法。注入方法可為滴注,也可為推注或兩者合用。增強掃描主要用於:發現平掃未顯示的病變;鑑別水腫與病變組織;進一步明確病變的大小以及與周邊組織的關係,為治療方案的擬定提供信息;為疑難病例提供進一步鑑別診斷的信息。
造影掃描
是先行器官或組織的造影,然後再行掃描的方法。例如向腦池內注入碘曲侖8~10ml或注入空氣4~6ml行腦池造影再行掃描,稱之為腦池造影CT檢查。

