簡介
潰瘍性大腸炎在內視鏡下可見潰瘍出血。症狀
潰瘍性大腸炎常見的症狀有腹瀉、腹痛、大便帶血或黏液等,病灶主要侵犯大腸的黏膜,有時會侵犯到黏膜下層。直腸部位通常較嚴重,症狀有腹瀉、大便帶血或黏液,有時會有“想大但大不出來”,所謂“里急後重”的症狀,有時解便時腹部會疼痛。除了便血,潰瘍性大腸炎另一個常見的症狀是腹瀉,大便多呈糊狀,而且每天腹瀉多次,其特點是在大便末了會有排粘液便,或粘液血便,由於初期症狀和痔瘡及胃腸炎相似,容易讓病患失去警覺,常有患者會自行服用止瀉的成藥,以為止瀉就好了,而延誤治療時機。
由於潰瘍性大腸炎症狀與痔瘡出血、大腸癌相似,如耽誤治療時機,嚴重時會導致大腸潰爛而需切除,並且也有敗血症的風險。
診察
血液檢査會出現白血球數、血沉、CRP等與炎症相關的數據異常,嚴重者可出現低蛋白血症、低白蛋白血症。另外,血小板數量、纖維蛋白原增加、血液易凝固。
灌腸X線檢査
X線結果中正常黏膜已消失,出現黏膜糜爛及潰瘍等各種圖像。
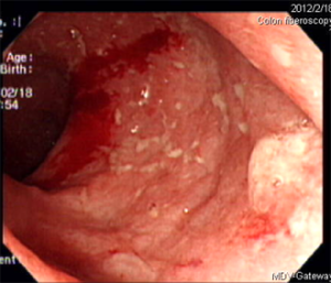
大腸內鏡檢査
在活動期可見黏膜腫脹、浮腫、糜爛及潰瘍、出血、粘液過多、血管透明至無法看見等病態,症狀消失期上述狀態消失、特別是血管的透明現象恢復的最好。
治療
藥物療法基本上使用抑制腸道炎症及抑制免疫反應的藥物。由於免疫異常被視為產生疾病的原因,所以可進行以5-ASA製劑為中心、使用免疫抑制劑、副腎皮質類固醇劑的治療。
若整個大腸的潰瘍性大腸炎經10年以上,其癌變率會非常高,需定期觀察其發展狀況。
與肛裂區分
潰瘍性大腸炎常並發於肛門周圍炎、肛瘺、肛裂和內痔。潰瘍性大腸炎所致肛裂多輕淺,且見於肛門的兩側,伴腹瀉、腹痛、便膿血。
而肛裂嚴重者疼痛也可牽及腹部,但以肛門疼痛最為劇烈。肛裂的裂處可有少量分泌物,便中帶鮮血,但糞便中不帶膿血。

