淋病奈氏菌通稱淋球菌,是人類淋病的病原菌。淋病是一種性傳播疾病,
淋球菌是世界上發病率最高的性傳染病。本菌僅侵襲人類,人是唯一的自然宿主。
生物學性狀
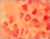
1.形態與染色 革蘭陰性雙球菌,與腦膜炎球菌相似,兩菌接觸面平坦,形似一對咖啡豆。在濃汁標本中,急性淋病患者的細菌大多位於中性粒細胞內,而慢性患者則多在細胞外。無芽胞和鞭毛,一般無莢膜,有菌毛。
2.培養特性與生化反應 專性需氧。營養要求高,一般多用朱古力血瓊脂平板,即經80攝氏度加熱的血瓊脂培養基,因血液加熱後呈朱古力色而得名。初次分離培養時需在5%~10%二氧化碳條件下,孵育48小時後形成圓形、凸起、灰白色的光滑形菌落。只分解葡萄糖產酸,而不分解麥芽糖等糖類。
3.抗原構造與分類 淋球菌的表面抗原至少有菌毛蛋白抗原、脂多糖抗原和外膜蛋白抗原。外膜蛋白抗原又分蛋白I II III類,主要蛋白為蛋白I,可分為46個血清型。
4.抵抗力 極弱,對乾燥、熱、冷極敏感,在乾燥的環境中,僅存活1~2小時,濕熱55攝氏度僅能存活5分鐘。在患者分泌物污染的衣褲、被褥及廁所上,能存活24小時。對消毒劑極敏感,如用1:4000硝酸銀作用2分鐘即可殺死淋球菌;對多種抗生素敏感,但易產生耐藥性。
致病性與免疫性
1.治病物質 淋球菌的致病物質主要是表面結構,如菌毛、外膜蛋白、脂多糖等。菌毛使菌體粘附到泌尿生殖道上皮細胞上,菌毛還有抗吞噬的作用。外膜蛋白I可直接插入中性粒細胞膜中,是細胞膜損傷;蛋白II參與淋球菌與宿主細胞間的粘附;蛋白III抑制抗體的殺菌作用。脂多糖能使黏膜上皮細胞壞死脫落,中性粒細胞聚集。淋球菌還能產生sIgA蛋白酶,破壞黏膜表面的sIgA,有利於細菌對黏膜表面的粘附。
2.所致疾病主要經性接觸傳染,也可經病人分泌物污染的衣服、毛巾、浴盆等傳染。淋球菌侵入泌尿生殖道感染,在男性主要引起尿道炎,尿道口有膿性分泌物自動溢出,有尿頻、尿急、尿痛、排尿困難等症狀,還可引起前列腺炎、輸精管炎、附睪炎等。在女性主要引起子宮頸炎及尿道炎,還可伴發陰道炎及外陰炎等,是導致不育原因之一。患淋病的孕婦,可引起胎兒宮內感染,導致流產、早產等。新生兒經產道時可被淋球菌感染,引起眼結膜炎,眼內有大量膿性分泌物,稱為濃漏眼。
3.免疫性對淋球菌無自然抵抗力,普遍易感,多數患者可自愈。病後免疫力不強,體內雖出現IgG、IgM抗體,但不能防止再次感染和慢性感染。
微生物學檢查
1.直接鏡檢 去泌尿生殖道分泌物塗片,革蘭染色鏡檢,發現中性粒細胞內有革蘭陰性雙球菌,有診斷價值,但要注意與這些部位寄居的其它非致病性奈氏菌相鑑別。此法對急性病人檢出率高,而慢性病人檢出率低。
2.分離培養與鑑定 將膿性分泌物及時接種含多種抗生素(萬古黴素、多粘菌素B等)的朱古力血瓊脂平板,置5%~10%二氧化碳中,37攝氏度孵育1~2天后,取可疑菌落塗片染色鏡檢,並作生化反應鑑定。慢性淋病的檢查多用此法。子宮頸內拭子培養診斷女性淋病,一次陽性檢出率高達80%~90%。
3.快速診斷法 主要有酶聯免疫吸附試驗和核酸探針試驗。前者用於直接檢測男性尿道分泌物中的淋球菌抗原;後者用於直接檢測泌尿生殖道和子宮頸標本中的淋球菌的rRNA。
