簡介
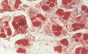
淋病雙球菌病菌習性
淋病是灑菌性尿道炎的簡稱,是一種古老而又常見的性病。淋病的病原體即奈瑟菌,是1879年由Neisserria首次分離出的淋病雙球菌,因而淋病雙球菌又稱為奈瑟雙球菌淋病。雙球菌呈腎形,兩個凹面相,大小一致。最適宜在潮濕、溫度為35℃、含2.5—5%二氧化碳的環境中生長。對外界理化條件的抵抗力差,最怕乾燥,在乾燥環境中1—2小時即可死亡。在高溫或低溫條件下都易致死。對各種化學消毒劑的抵抗力也很弱。預防措施
淋病的預防十分簡單,性交中,男方必須配戴安全套。
淋病雙球菌淋菌對青黴素較敏感,尤其在感染早期,及時用大劑量青黴素徹底治療是極有效的。因淋病常並發衣原體感染,故要加用四環素或紅黴素等治療。性侶必須檢查並做預防性治療。治療結束後一定要複查再塗片或培養。3個月後再複查。3次陰性始算徹底治癒。國外經過30年性傳播疾病的泛濫,致病的淋病雙球菌在長期與抗生素對抗中,逐漸對青黴素、四環素產生了耐藥性。耐藥淋病雙球菌感染,治療效果不佳,其傳播機會較大,人們對此必須提高警惕。

