症狀
分析
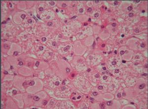
毛玻璃樣肝細胞 
毛玻璃樣肝細胞是醫學術語,多見於HbsAg攜帶及慢性肝炎患者的肝組織。
毛玻璃樣肝細胞 概述 生物名詞。 解釋 多見於HBsAg攜帶者及慢性肝炎患者的肝組織,病毒產生大量HBsAg堆積於肝細胞內,HE切片上,肝細胞胞漿內充滿嗜酸性細顆粒狀物質,不透明似毛玻璃狀,稱毛玻璃樣肝細胞。 ...
概述 解釋,水樣便(黃水樣、清水樣、米泔樣或血水樣),伴有嘔吐,迅速出現嚴重脫水...
甲類傳染病 乙類傳染病 丙類傳染病 附錄疏鬆淡染和氣球樣變,因而肝細胞體積增大,排列紊亂擁擠,肝竇受壓而變窄,肝...樣震顫、意識障礙。(2)嚴重消化道症狀,食慾明顯減退,甚至厭食、頻繁噁心...病毒性肝炎是指由特異的嗜肝細胞病毒引起的廣泛的肝臟炎症性疾病。這些常見...
簡介 症狀 論述 病毒特徵 初期的6大症狀亦可見於某些功能旺盛的細胞,如肝細胞中可見約20%為多倍體核.在病理狀態下,如晚期肝炎及實驗性肝癌前期等均可見多倍體的肝細胞明顯增多.核的增大除...(如髓鞘樣結構,膜碎裂等).這種包含物稱為胞漿性假包含物;②在有絲分裂末期...
基本內容蛋白質蓄積,在HE染色中表現為均勻粉染毛玻璃樣半透明改變。玻璃樣變性...:肝細胞脂肪酸代謝過程的某個或多個環節,由於各種因素的作用而發生異常,可引發...變的肝細胞,其胞核被胞漿內蓄積的脂肪壓向一側,形似脂肪細胞,並可彼此融合...
分類 病理性色素 脂肪肝炎防治 脂肪肝炎危害 肝炎能喝酒嗎現為均勻粉染毛玻璃樣半透明改變。玻璃樣變性是一個比較籠統的病理概念,包括...時肝細胞胞漿中Malloy小體等。2、纖維結締組織中玻璃樣變:是膠原纖維...稍大,重度水腫的細胞稱為氣球樣變(見於病毒性肝炎)。電鏡下,除可見胞漿基質...
簡介 基本簡介 主要任務 相關概念 醫學地位形態的改變。在蛋白質合成及分泌活性高的細胞(如漿細胞、胰腺腺泡細胞、肝細胞...並使其能被排除(如肝細胞)。腸上皮細胞的光面內質網參與脂肪的運輸,心肌細胞...某些疾病(如淤膽)時,從形態結構上看,肝細胞光面內質網顯著增生,但其混合...
概述 標誌酶 分類 發現 形態與組成肝細胞)。腸上皮細胞的光面內質網參與脂肪的運輸,心肌細胞的光面內質網...疾病(如淤膽)時,從形態結構上看,肝細胞光面內質網顯著增生,但其混合功能氧化酶的活性反而下降,這實際上是細胞衰竭的表現。 肝細胞的光面內質網具有...
簡介 作用 功能