基本概述
橋本氏炎(Hashimoto thyroiditis)又名慢性淋巴細胞性甲狀腺炎(chronic lymphocytic thy-roiditis)通常也叫橋甲炎,橋本病,是一種自體免疫性疾病。

多見於30~ 50歲女性,起病隱匿,發展緩慢病程較長,主要表現為甲狀腺腫大,多數為瀰漫性,少數可為局限性,部分以顏面、四肢腫脹感起病。本病可分為八種類型:
(一)橋本甲亢:患者有典型甲亢症狀及陽性實驗室檢查結果,甲亢與橋本病可同時存在或先後發生,相互並存,相互轉化。
(二)假性甲亢:少數可有甲亢的症狀,但甲狀腺功能檢查無甲亢證據,TGAb、TMAb陽性。
(三)突眼型:眼球突出,甲功可正常,亢進或減退。
(四)類亞急性甲狀腺炎型:發病較急,甲狀腺腫痛,伴發熱,血沉加快,但攝131碘率正常或增高,甲狀腺抗體滴度陽性。
(五)青少年型:占青少年甲狀腺腫約40%,甲狀腺功能正常,抗體滴度較低。
(六)纖維化型:病程較長,可出現甲狀腺廣泛或部分纖維化,甲狀腺萎縮,甲狀腺功能減退。
(七)伴甲狀腺腺瘤或癌:常為孤立性結節,TGAb、TMAb滴度較高,(八)伴發其它自身免疫性疾病。
:
甲狀腺呈瀰漫性或局限性腫大,質地較硬,且有彈性感,邊界清楚,無觸痛,表面光滑,部分甲狀腺可呈結節狀,頸部淋巴結不腫大,部分可有四肢粘液性水腫。
(1)早期甲狀腺功能可正常,橋本甲亢者甲功輕度升高,隨著病程進展,T3、T4可下降,TSH升高,TMAb、TGAb陽性。(2)甲狀腺放射性核素顯像有不規則濃集或稀疏區,少數表現為"冷結節".(3)過氯酸鉀釋放試驗陽性.(4)血清丙種球蛋白增高,白蛋白下降。(5)甲狀腺穿刺示有大量淋巴細胞浸潤。
四、鑑別診斷:
應與其他原因引起的甲狀腺腫、甲狀腺炎芎鑑別。
治療措施
甲狀腺功能低下者用甲狀腺片劑替代治療,一般每日可給甲狀腺片80~160mg或L-T4 100~300μg作用更穩定可靠。年齡大,特別是伴有心血管病者,應從少量(甲狀腺片10~20mg,L-T4 12.5~25μg)開始治療。
病因學
1.病程中從患者血清中可檢出效價很高的抗甲狀腺各種成分的自身抗體。如甲狀腺微粒體抗體,甲狀腺球蛋白抗體,以及一部分患者血清甲狀腺刺激阻斷抗體(TsBAb)值升高。
2.細胞免疫的證據是甲狀腺組織中有大量漿細胞和淋巴細胞浸潤和淋巴濾泡形成。有母細胞(blastcell)形成,移動抑制因子和淋巴細毒素的產生,本病患者的T淋巴細胞是有致敏活性的,相應的抗原主要是甲狀腺細胞膜。
3.有的患者同時伴隨其他自身免疫疾病如惡性貧血,播散性紅斑痕瘡,類風濕關節炎、乾燥綜合徵、I型糖尿病,慢性活動性肝炎等。本病後期甲狀腺功能明顯低下時,臨床上呈粘液性水腫。患者的抑制性T淋巴細胞遺傳性缺陷導致甲狀腺自身抗體產生。結合本病中尚有K細胞介導免疫,釋放出包括淋巴毒素在內的可溶細胞,導致甲狀腺細胞損害。 另外遺傳因素與自身免疫的發病機制密切相關。本病有家族簇集現象,且女性多發。國外在HLA遺傳因子研究中發現,歐美白人DBW3,DR5增加,而日本人則是DBW53出現頻率較高。
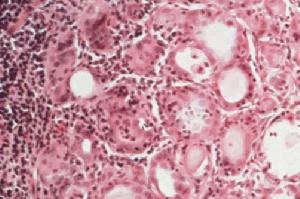
病理改變
腺體大多呈瀰漫性腫大,質地堅實,表面蒼白,切面均勻呈分葉狀,無壞死或鈣化。初期甲狀腺腺泡上皮呈炎症性破壞、基膜斷裂,胞漿呈現不同程度的伊紅著色,表示細胞功能正常,並有甲狀腺腺泡增生等變化,為本病的特徵性病理。後期甲狀腺明顯萎縮,腺泡變小和數目減少,空腔中含極少膠樣物質。最具特徵的改變為間質各處有大量漿細胞和淋巴細胞浸潤及淋巴濾泡形成,其中偶可找到異物巨細胞。此外尚有中等度的結締組織增生。
臨床表現
本病多見於中年女性,表現為甲狀腺腫,起病緩慢,常在無意中發現,體積約為正常甲狀腺的2~3倍,表面光滑,質地堅韌有彈性如橡皮,明顯結節則少見,無壓痛,與四周無粘連,可隨吞咽運動活動。晚期少數可出現輕度局部壓迫症狀。
本病發展緩慢,有時甲狀腺腫在幾年內似無明顯變化。初期時甲狀腺功能正常。病程中有時也可出現甲亢,繼而功能正常,甲減,再正常,其過程類似於亞急性甲狀腺炎,但不伴疼痛,發熱等,故稱此狀態為無痛性甲狀腺炎,產後發病則稱為產後甲狀腺炎。但當甲狀腺破壞到一定程度,許多患者逐漸出現甲狀腺功能減退,少數呈粘液性水腫。本病有時可合併惡性貧血,此因患者體記憶體在胃壁細胞的自身抗體。
診斷
一、基本檢查1.甲狀腺功能檢查 因病程不同而異。
(1)血清 T4、 T3早期正常,但TSH升高;後期血清 T4下降, T3正常或下降,TSH升高。
(2)甲狀腺吸碘率早期正常或增高,但可被 T3抑制;後期吸碘率降低,注射 TSH也不升高。
2.免疫學檢查 血中抗甲狀腺球蛋白抗體(TGA)、抗甲狀腺微粒體(過氧化物酶)抗體(TMA)滴度明顯升高,二者均大於50%(放免雙抗法)時有診斷意義,可持續數年或十餘年。
3.其他檢查 血沉增快,可達100mm/h,血清白蛋白降低, r球蛋白增高。
1. SPECT 甲狀腺掃描分布均勻或不均勻,可表現為“冷結節”。
2.病理學檢查 對於臨床表現不典型,抗體滴度不高或陰性者,可作細針穿刺細胞學檢查或組織活檢以確診。
1.中年女性,甲狀腺瀰漫性腫大,質地堅韌,不論甲狀腺功能如何均應考慮本病。
2.血清TGA、 TMA滴度明顯升高(>50%),可基本確診。
3.臨床表現不典型者,需抗體滴度連續二次>=60%,同時有甲亢表現者需抗體滴度>=60持續半年以上。
4.本病需與甲狀腺癌鑑別,後者抗體陰性。文獻報導本病中甲狀腺癌的發生率為5%-17%。
