基本概述
橋本氏甲減是由於橋本氏甲狀腺炎所引起的一種甲減症狀。橋本氏甲減常見於中年女性橋本氏甲狀腺炎患者,是由於橋本氏甲狀腺炎的發展加重,甲狀腺儲備功能逐漸降低,甲狀腺破壞到一定程度,從而出現甲減的表現。
橋本氏甲減的症狀表現為為出汗減少,畏冷,動作遲緩,易疲勞,智力減退,食少納差,大便秘結,體重增加等。約15%的患者會有粘液性水腫。少數病人可伴有突眼,但一般程度較輕。橋本氏甲減一般會隨著橋本氏甲狀腺炎的好轉而有所減輕。
約50%病人甲狀腺功能正常。少數患者在發病初期或病程的某個階段可出現甲亢症狀,如心悸、怕熱、多汗、食慾亢進、消瘦等。隨著病情的進一步發展,可能最終發展為甲狀腺功能減退,出現怕冷、浮腫、食欲不振、大便秘結及皮膚粗糙等。
病因學
1.病程中從患者血清中可檢出效價很高的抗甲狀腺各種成分的自身抗體。如甲狀腺微粒體抗體,甲狀腺球蛋白抗體,以及一部分患者血清甲狀腺刺激阻斷抗體(TsBAb)值升高。
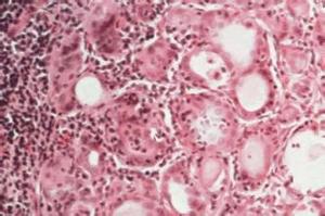
2.細胞免疫的證據是甲狀腺組織中有大量漿細胞和淋巴細胞浸潤和淋巴濾泡形成。有母細胞(blastcell)形成,移動抑制因子和淋巴細毒素的產生,本病患者的T淋巴細胞是有致敏活性的,相應的抗原主要是甲狀腺細胞膜。
3.有的患者同時伴隨其他自身免疫疾病如惡性貧血,播散性紅斑痕瘡,類風濕關節炎、乾燥綜合徵、I型糖尿病,慢性活動性肝炎等。本病後期甲狀腺功能明顯低下時,臨床上呈粘液性水腫。患者的抑制性T淋巴細胞遺傳性缺陷導致甲狀腺自身抗體產生。結合本病中尚有K細胞介導免疫,釋放出包括淋巴毒素在內的可溶細胞,導致甲狀腺細胞損害。 另外遺傳因素與自身免疫的發病機制密切相關。本病有家族簇集現象,且女性多發。國外在HLA遺傳因子研究中發現,歐美白人DBW3,DR5增加,而日本人則是DBW53出現頻率較高。
橋本氏甲減病因
一般來說,在臨床上的橋本氏甲減是屬於遺傳病中的一種。發病的原因是有很多種的,有的是因為外面原因,也有的是內在因素。而橋本病是典型的自身免疫性疾病,是由於多種原因導致機體免疫系統紊亂,機體產生了針對自身甲狀腺的有毒物質----自身抗體,導致甲狀腺細胞破壞,最終出現甲狀腺功能減退。橋本病有明顯的遺傳傾向,往往其近親屬也會患病,如其子女,或其父母,或其同胞姐妹等。橋本病可分不同期,輕重也可不一。輕者無症狀,查體時發現甲狀腺腫大,尤其以峽部腫大更為明顯,質地堅韌,不均勻。重者可表現為暫時性甲亢,或明顯甲減,症狀可有消瘦、心慌或體重增加、怕冷、乏力、皮膚粗糙等。
類型
由於本病病程叫長,臨床症狀不典型,大致可分為8種臨床類型:
(1)橋本甲亢:
患者伴發甲亢,部分病例還可有浸潤性突眼、膠前稅液性水腫等。可有典型的甲亢表現。循環抗體滴度較高。這類患者甲亢狀態可持續數年,常需要抗甲狀腺
藥物治療,但劑量不宜過大,要注意藥物性甲減發生。手術切除或放射性核素治療均不適宜,易發生永久性甲減。
(2)假性甲亢:
少數患者可有甲亢的臨床表現,如心悸、多汗、神經過敏等,但甲狀腺功能檢查無甲亢證據,TGAb、TMAb陽性。這種病人無需抗甲狀腺藥物治療,症狀可自行消失。
(3)突眼型:
本病可發生浸潤性突眼,其甲狀腺功能可正常、亢進或減退。眶後肌有淋巴細胞浸潤、水腫。血清TGAb和TMAb均為陽性。
(4)類亞急性甲狀腺炎型:
少數患者發病較急,伴發熱,甲狀腺迅速增大,伴局部疼痛和壓痛,血沉加快,但攝碘率正常或增高,甲狀腺抗體高滴度限性。
(5)青少年型:
青少年甲狀腺腫中,橋本甲狀腺炎約占40%,其甲狀腺較小,甲狀腺功能正常,甲狀腺抗體滴度又較低,臨床診斷較困難。有部分患者甲狀腺腫增大較迅速,稱青少年增生型。部分患者可合併甲狀腺功能減退。
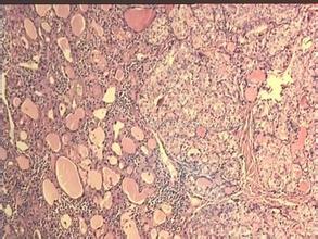
(6)纖維化型:
病程較長的患者,可出現甲狀腺廣泛纖維化。表現為甲狀腺萎縮、甲狀腺功能減退,部分患者纖維化不均勻,出現一部分或一葉緻密纖維化病變。局部質控堅硬,其餘部分為典型淋巴細胞浸潤。易誤診為腫瘤。
(7)伴甲狀腺腺瘤或癌:
常表現為孤立性結節,TGAb、TMAb滴度較高,結節部為腺瘤或癌的病理改變,其餘部分為橋本甲狀腺炎的組織學變化。
(8)伴發其他自身免疫性疾病。
可表現為自身免疫性多發性內分泌病。臨床上可有甲減伴發艾迪生病、糖尿病、甲狀分腺功能減退、原發性閉經等。也可伴發其他自身免疫病,如惡性貧血、重症肌無力、自身免疫性肝炎、系統性紅斑狼瘡、乾燥綜合徵、類風濕性關節炎、慢性萎縮性胃炎等。
橋本甲狀腺炎一般不能自行緩解。部分患者臨床症狀和清理活檢長期不變;有些患者發展為結節性甲狀腺腫;約30%——40%以上患者經過一段穩定期或不知不覺中,發展成為永久性甲狀腺功能減退症;橋本甲腺炎患者,若甲狀腺功能正常,一般不需要特殊治療;對甲狀腺功能減退者以及病程不長的甲狀腺腫者,應予以甲狀腺激素製劑治療。一般採用乾甲狀腺片或左鏇甲狀腺素。劑量視病情反應而定,宜從小劑量開始,以後逐漸增加。療程視病情而定,有時需終身服藥。藥物的套用一定要在醫生的指導下進行,否則容易出現甲狀腺中毒現象。
實驗室診斷檢查
除臨床表現外,主要依靠檢測TT4、FT4、TT3、FT3、TSH以及TRH興奮試驗等確立診斷。
一、一般檢查
①血常規常有輕、中度貧血,屬正細胞正色素性,小細胞低色素性或大細胞型。
②血糖正常或偏低,葡萄糖耐量曲線低平。
③血膽固醇,甘油三酯和β-脂蛋白增高。
二、甲狀腺功能檢查
橋本氏甲減①基礎代謝率降低,常在-30—-45%以下;
②甲狀腺攝碘率低於正常,呈扁平曲線;
③血清T4降低,常在38.6nmol/L(30ng/ml)以下,FT4常<9.11pmol/L(7.08pg/ml);血清T3與FT3亦可有不同程度降低,但輕中度患者有時可正常,血清rT3可低於0.3nmol/L(0.2ng/ml)。
三、下丘腦-垂體-甲狀腺軸功能檢查
①血清TSH測定,正常人多<10mu/L(10μu/ml),在原發性甲減中,TSH>20mu/L(20μu/ml);繼發性甲減則顯著降低,可<0.5mu/L(0.5μv/ml)
②TSH興奮試驗,皮下注射TSh 10單位後,如甲狀腺攝131碘率明顯升高,提示為繼發性甲減,如不升高,提示為原發性甲減。
③TRH興奮試驗,靜脈注射TRH200~500μg後,如血清TSH呈延遲增高反應,提示病變可能在下丘腦水平,如無增高反應,病變可能在垂體,如TSH基礎值較高,TRH注射後更高,則提示病變在甲狀腺。
四、X線檢查作頭顱平片、CT、磁共振或腦室造影,以除外垂體腫瘤、下丘腦或其他引起甲減症的顱內腫瘤。原發性甲減,垂體與蝶鞍可繼發性增大。
五、甲狀腺自身抗體檢查 病因與甲狀腺自身免疫有關者,患者血中抗甲狀腺微粒體抗體(TMA)和抗甲狀腺球蛋白抗體(TGA)可增高。
護理要點
◆飲食以多維生素、高蛋白、高熱量為主。不宜過食生冷食物。
◆病人應動、靜結合,作適當的鍛鍊。養成每天大便的習慣。注意保暖,避免受涼。飲食應加強營養,但忌吃生冷之品。
◆如並發嚴重急性感染,有重症精神症狀,胸、腹水及心包積液,頑固性心絞痛、心力衰竭、粘液性水腫性昏迷,應立即送醫院治療。
(1)補充適量碘,忌用生甲狀腺腫物質。
1)補充碘鹽:國內一般採用每2——10千克鹽加1克碘化鉀的濃度用以防治甲狀腺腫大,使發病率明顯下降,適用於地方性甲狀腺腫流行區。此外,對生育婦女更要注意碘鹽的補充,防止因母體缺碘而導致子代患克汀病。
2)忌用生甲狀腺腫物質:避免食用捲心菜、白菜、油菜、木薯、核桃等,以免發生申甲狀腺腫大。
(2)供給足量蛋白質:每人每天蛋白質量至少超過20G,才能維持人體蛋白質平衡蛋,胺基酸是組成蛋白質的基本成分,每日約有3%蛋白質不斷更新,甲減時小腸黏膜更新速度減慢,消化液分泌腺體受影響,酶活力下降,一般白蛋白下降,故應補充必需胺基酸,供給足量蛋白質,改善病情。
(3)限制脂肪和富含膽固醇的飲食:甲減病人往往有高脂血症,這在原發性甲減更明顯,故應限制脂肪飲食。每日脂肪供給占總熱量20%左右,並限制富含膽固醇的飲食。
(4)糾正貧血,供給豐富維生素:有貧血者應補充富含鐵質的飲食、補充維生素B12,如動物肝臟,必要時還要供給葉酸、肝製劑等。
(5)膳食調配:
1)宜選食物:因缺碘引起的甲減,需選用適量海帶、紫菜,可用碘鹽、碘醬油、碘蛋和麵包加碘。炒菜時要注意,碘鹽不宜放入沸油中,以免碘揮發而降低碘濃度。蛋白質補充可選用蛋類、乳類、各種肉類、魚類;植物蛋白可互補,如各種豆製品、黃豆等。供給動物肝臟可糾正貧血,還要保證供給各種蔬菜及新鮮水果。
2)忌選食物:忌各種生甲狀腺腫物質,如捲心菜、白菜、油菜、木薯、核桃等;忌富含膽固醇的食物,如奶油、動物腦及內臟等。限用高脂肪類食品,如食油、花生米、核桃仁、杏仁、芝麻醬、火腿、五花肉、甘乳酪等。
臨床表現
(1)基礎代謝率低症群:疲勞,感覺遲鈍,動作緩慢,智力減退,記憶力嚴重下降,嗜睡,注意力不集中,發涼,怕冷,毛髮乾枯脫落,男性鬍鬚生長慢,無汗及體溫低於正常。
(2)黏液性水腫面容:顏面浮腫,眼瞼松腫,鼻,唇增厚,表情淡漠,“呆板”“呆滯”呈“假面具樣”無精打采,舌大聲嘶,吐詞不清,言語含糊,少數病人有突眼。
(3)肌膚蒼白及甲狀腺激素缺乏,導致皮下胡蘿蔔素轉化為維生素A以及維生素A生成視黃醛的功能減弱。出現血漿胡蘿蔔素開高,又因貧血,膚色蒼白,因此,膚色蠟黃色,又粗糙少光澤,乾厚,冷的皮膚又多鱗屑和角化,尤以手、臂、大腿為明顯,少數患者體重增加。指甲生長緩慢,厚脆,表現出現裂紋。
(4)女病人可有月經過多,閉經,有時閉經含並乳溢,男性乳房發育,泌乳,女病人月經初潮早等表現。
橋本氏甲減(5)心血管系統表現為脈搏緩慢,心動過緩,心音減弱,心界擴大,心排血量明顯減少,常為正常的一半,有的伴心包積液,血壓偏高,特別是舒張期血壓升高多見,心電圖呈低電壓T波倒置,QRS波增寬,P-R間期延長,久病者易發生冠心病,心絞痛,心律失常。
(6)精神神經系統:表現精神倦怠,反應遲鈍,理解力和記憶力減退。視力、聽力、觸覺,嗅覺亦遲鈍。伴有頭昏、頭暈、耳鳴。手足麻木,痛覺異常。腱反射的收縮期往往敏捷,活潑,而腱反射的鬆弛期延緩,跟腱反射減退。膝反射多正常。
(7)肌肉與骨骼:肌肉鬆弛無力,主要累及肩,背部肌肉,有的患者暫時強址,痙攣或出現齒輪樣動作。腹背肌與腓腸肌有痙攣性疼痛,關節也常疼痛,骨質密度可增高
(8)呼吸系統:因黏液性水腫,肥胖,充血,胸腔積液以及循環系統功能減退等綜合因素相起呼吸急促,胸悶氣短,肺泡中二氧化碳彌散能力降低,從而產生咽癢,咳嗽,咳痰等呼吸道症狀,甚至出現二氧化碳麻醉現象。
(9)消化系統:表現為食不納差,納食不香,厭食、腹脹、便秘、腸鳴、鼓腸、甚至出現麻痹性腸梗阻,不少患者出現胃酸缺乏,甚至無胃酸;肝功中LDH,CPK,以及SGOT有可能增高。
(10)內分泌系統:一般來講,腎上腺皮質功能比正常低,雖無明顯腎上腺皮質功能減退的臨床表現,但可表現ACTH分泌正常或降低ACTH興奮試驗延遲,血和尿皮質醇降低。
(11)血液系統:甲減時,因甲狀腺激素不足而造血功能減退,紅細胞生成數減少,胃酸缺乏導致鐵和維生素B12吸收不良,若系女士月經量多,則可使患者中多數有輕、中度的正常色素和低色素小紅細胞型貧血,少數有惡性貧血。血沉亦增快,ⅧⅨ,因子缺乏造成凝血機制減弱,易發生出血現象。
(12)泌尿系統及水電解質代謝:甲減時,腎臟血流量多減少。腎小球的基底膜增厚可出現少量的蛋白尿。腎臟排泄功能受損,以致組織水瀦留。Na交換增加而出現低血鈉,然K的交換多正常。血清Mg增高,但交換的Mg排出率降低。
(13)昏迷:是甲減患者出現黏液性水腫最嚴重的臨床表現,一般見於老年,長期來正規治療,常在寒冷的冬季發病,感染和受涼是常見的誘因。
流行病學
甲減是內分泌疾病中比較常見的疾病,可以發生在各個年齡,從剛出生的新生兒至老年人都可發生甲減,以老年為多見。非缺碘地區甲減患病率0.3%~1.0%,60歲以上可達2%,新生兒甲減患病率1∶7000~1∶3000。
橋本氏甲減甲減在男女都可發病,但女性多見,男∶女為1∶4~1∶5,臨床甲減的患病率男性為0.1%,女性為1.9%。亞臨床甲減患病率增高,男性為2.7%,女性為7.1%。
在英國一個關於甲減的大規模長期流行病調查發現,自發性甲減每年的發病率女性為3.5∶1000,男性0.8∶1000。甲狀腺抗體陽性和TSH升高的女性,甲減發生率明顯增加到43∶1000。
臨床鑑別
甲狀腺功能正常的病態綜合徵
甲狀腺功能正常的病態綜合徵(normalthyroidsicksyndrome)一些急性或慢性非甲狀腺疾病會通過不同的途徑來影響甲狀腺激素的生成或代謝,臨床表現代謝低減和交感神經反應低下,如怕冷、乏力、水腫、食欲不振、便秘等表現,測定血清T3和(或)T4低下,容易誤診為甲減。單純T3低下稱為低T3綜合徵,嚴重者還可以表現T4低下,稱為低T4綜合徵。
當機體嚴重消瘦、長期飢餓、慢性疾病和嚴重感染、心肌梗死等疾病,體內5'脫碘酶活性下降,而5-脫碘酶活性上升,使體內T4向T3轉化減少,向rT3轉化增多,甲狀腺激素測定發現為T4、T3下降,但TSH不升高,其中T3下降更為明顯,當原發疾病治癒後,T4、T3恢復正常,這與一般臨床上常見的原發性甲減不同,後者TSH是升高的。急性心肌梗死時,T3在3~4天內下降50%。但TSH不升高,當原發疾病治癒後,T3恢復正常。鑑別低T3綜合徵或低T4綜合徵十分重要,因為它們的血清T3、T4下降是一種機體的保護性措施,人為的加服甲狀腺激素製劑以提高機體的代謝率,必然會加劇原發疾病的病情。
慢性腎炎甲減
橋本氏甲減慢性腎炎甲減病人因水鈉瀦留表現為皮膚蒼白、水腫、貧血、高血壓和血膽固醇升高,有些病人還伴有尿蛋白陽性,所以常常被認為是腎病,而得不到正確的診斷和治療。腎炎慢性腎功能不全的病人,常常會表現甲狀腺激素測定異常,主要是血清T3下降,這是機體降低代謝率的保護性反應。腎炎水腫多半是可凹性,甲減水腫多半為非可凹性。甲減和腎炎都有漿膜腔滲液,但甲減的血漿蛋白正常,而腎炎的血漿蛋白是低的。甲減病人除了水腫外常伴有怕冷、食慾低下、皮膚粗糙、心率慢、便秘等代謝低下的表現,而腎炎蛋白尿明顯。臨床上只要考慮到甲減,實驗室檢查不難鑑別診斷。
貧血
貧血約有25%~30%的甲減患者表現貧血,貧血原因是多種的,甲減病人多見於女性,常伴月經量多、經期長,導致失血過多,同時食慾減低、營養不足和胃酸缺乏更加重了貧血。而貧血在中年婦女又十分常見,不被引起重視,貧血患者常常同時伴有怕冷、食欲不振、乏力等症狀,所以不少甲減常被長期誤診為貧血,而得不到準確的診斷和治療。原發甲減的甲狀腺激素是低下的,TSH是升高的,鑑別診斷並不困難。原發甲減貧血中有5%~10%患者因葉酸缺乏表現大細胞貧血,在鐵劑治療效果不好時,應考慮大細胞貧血的可能。
漿膜腔積液甲減
漿膜腔積液甲減發生漿膜腔積液的原因是由於淋巴回流緩慢、毛細血管通透性增加、漿膜腔黏蛋白和黏多糖親水性、TSH刺激漿膜腔中腺苷酸環化酶活性,從而使透明質酸酶分泌增多,引起腹水、心包積液、胸腔積液和關節腔積液。漿膜腔積液可以單獨出現,也可兩個或多個出現。甲減發生漿膜腔積液常常被誤診為結核、惡性腫瘤、尿毒症、心包炎和結締組織病等。甲減的漿膜腔積液中蛋白含量高,細胞計數低,膽固醇含量和免疫球蛋白含量高,對利尿藥治療不敏感。凡遇有不明原因的漿膜腔積液病人,均應測定甲狀腺激素,除外甲減的可能性。
特發性水腫甲減
特發性水腫甲減病人的成纖維細胞分泌透明質酸和黏多糖,具有親水性,阻塞淋巴管,引起黏液性水腫,多數表現為非可凹性水腫,病人常常因症狀不特異,長期查不出原因,被誤診為特發性水腫。對TSH刺激效應更強,尤其在一些流產和分娩後的婦女,測定甲狀腺功能就不難將垂體瘤和甲減相鑑別。有時甲減病人由於手足腫脹、唇厚舌大,聲音嘶啞、手足增大,又有蝶鞍增大,會被誤診為垂體生長激素分泌瘤,但甲減病人血清生長激素水平正常。甲減病人怕冷、便秘、心率緩慢等症狀是與肢端肥大症不同的,激素測定可以進行鑑別診斷。
垂體瘤長期甲減
垂體瘤長期甲減病人,尤其是兒童患者,垂體可以表現增大,有時會被誤診為垂體瘤;原發甲減長期血T4下降,垂體TSH細胞增生肥大,致蝶鞍增大,一些女性病人由於月經紊亂和泌乳,實驗室檢查發現催乳素輕度升高,被誤診為垂體催乳素分泌瘤。甲減患者由於TRH升高,TRH刺激催乳素(PRL)效應比對TSH刺激效應更強,尤其在一些流產和分娩後的婦女,測定甲狀腺功能就不難將垂體瘤和甲減相鑑別。有時甲減病人由於手足腫脹、唇厚舌大,聲音嘶啞、手足增大,又有蝶鞍增大,會被誤診為垂體生長激素分泌瘤,但甲減病人血清生長激素水平正常。甲減病人怕冷、便秘、心率緩慢等症狀是與肢端肥大症不同的,激素測定可以進行鑑別診斷。
抑鬱症甲減
抑鬱症甲減病人發生在老年人中較多,隨著年齡的增長,甲減的患病率也隨之上升,老年病人症狀不特異,病程進展緩慢,不容易被發現,怕冷、遲鈍、食欲不振、情緒低落、睡眠不好和抑鬱等症狀,被診斷為老年性抑鬱症。對抑鬱症表現的老人要考慮甲減的可能性,甲減患者單純抗憂鬱治療不能取得滿意的療效。
保健措施
一. 適合食用性溫和的食物,禁食寒涼食物中醫認為,各種食物有寒涼溫熱之性,如眾所周知的多吃辛辣容易上火,多吃冷飲就容易傷胃。中醫認為陽氣有溫煦機體、促進氣血運行的作用,陽虛則寒。甲減患者怕冷、喜熱、乏力,多屬中醫的陽虛,適宜進食溫補。在肉類食品中,羊肉、狗肉、鹿肉、牛肉等性屬溫熱滋補,適宜甲減患者在冬季食用。從現代醫學角度講,蛋白質攝入不足時,甲狀腺功能有低下趨勢,供應足夠的蛋白質和熱量,能改善甲狀腺功能。蔬菜中韭菜、山藥可以溫陽健脾,瓜果類中胡桃肉可以補腎溫陽,甲減患者宜多食用。但寒涼生冷之品如冷飲、苦瓜、西瓜、菊花茶等則少吃為好。碘是製造甲狀腺激素的原料,海產品含碘豐富。甲減患者甲狀腺激素不足,多吃海產品既可以促進甲狀腺激素的合成,還有軟堅散結作用,對抑制甲狀腺腫大和結節有幫助。因此,甲減患者宜食用海產品如海參、蝦、牡蠣、海帶、紫菜等。但螃蟹性涼不宜多吃,我們平時吃螃蟹沾薑末也是為了避免其寒性。由於甲減患者胃腸功能減弱,容易出現消化不良、腹脹等問題,食用海產品最好清蒸,不僅能保持味道的鮮美,還避免油膩,減輕胃腸負擔。
橋本氏甲減二.日常飲食一定要少吃鹽甲減患者由於黏液性水腫常常手足腫脹、身體發胖,鹹的食物會引起水、鈉瀦留而加重水腫。雖說甲減患者不像腎病患者那么嚴格要求限制食鹽的攝入,但也要少吃偏鹹的食品如醃製的鹹菜等。
三.生活上要注意保暖,晨練宜晚不宜早甲減患者的身體產熱量下降,免疫力及抵抗力較差,比一般的人更容易受寒感冒,所以也就更應當注意防寒保暖。人體必須適應四時陰陽變化,才能與自然界保持協調平衡。冬季天寒地凍、草木凋零,是自然界萬物閉藏的季節,人的陽氣也要潛藏於內。甲減患者由於本身缺少甲狀腺素,體溫偏低,在清晨和傍晚時就更不宜外出活動。而且清晨的空氣品質是全天最差的時候。對有早起鍛鍊習慣的中老年人來說,應當儘量推遲早起鍛鍊時間,避免受寒。活動鍛鍊可以使經絡通暢、氣血流通,增強甲減患者的抵抗力和產熱量,但要注意防止運動過於劇烈,過度運動不僅無益於健康,還可能誘發老年人的心腦血管疾病。甩手、捶背、散步、太極拳等鍛鍊方法,很適合中老年甲減患者。
四.多搓手腳促進血液循環
甲減患者末梢循環不好,容易手足發涼,四肢欠溫,在天氣寒冷時,這些身體暴露的部位就更容易受寒。中醫學認為,陰經、陽經等十二經脈多在手指處交會,手上有許多穴位,經常搓揉按摩不僅可活動關節,有利氣血經脈通暢,升提陽氣防寒保暖,還可以幫助甲減患者緩解手脹、晨起手指關節僵硬症狀。這種保健方法十分簡便,您在看電視或坐車的時候都可以做。老百姓還常說寒從腳下起,護好腳身上就暖,這是有一定科學道理的。甲減患者每天晚上睡前用一盆熱水泡腳半小時,邊泡邊搓,不僅能促進血液循環,還能改善睡眠,與現在社會上流行的足療有相似作用,可謂免費的家庭足療。
