柵欄組織是一列或幾列長柱形的薄壁細胞,其長軸與上表皮垂直相交,呈柵欄狀排列。
相關研究
1、桿菌
各種桿菌的大小、長短、彎度、粗細差異較大。大多數桿菌中等大小長2~5um,寬0.3~1um。大的桿菌如炭疽桿菌(3~5um×1.0~1.3um),小的如野兔熱桿菌(0.3~0.7um×0.2um)。菌體的形態多數呈直桿狀,也有的菌體微彎。菌體兩端多呈鈍圓形,少數兩端平齊(如炭疽桿菌),也有兩端尖細(如梭桿菌)或未端膨大呈棒狀(如白喉桿菌)。排列一般分散存在,無一定排列形式,偶有成對或鏈狀,個別呈特殊的排列如柵欄狀或V、Y、L字樣。
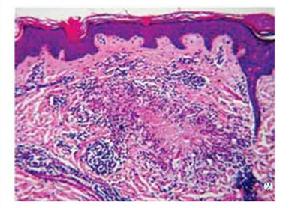
2、鑑別皮膚基底細胞癌(BCC)
皮膚基底細胞癌3、新蚜蟲癘霉Pandora neoaphidis
初生分生孢子無色透明,倒擬卵形或擬卵形,對稱或不對稱,乳突明顯,偏向一側,有明顯的液泡,雙囊壁,20.9~36.3×9.35~16.5μm,平均:13×28.5μm;配子囊底部球形,直徑為:13.2~25μm,或為不規則的球形膨大,膨大最粗部分可達38.5μm,最細部分為5.5μm,配子囊長88~231μm。分生孢子梗二歧分枝或掌狀分枝。柵欄狀排列蟲體上,成熟時形成淡黃色或黃色至棕色子實層通體覆蓋蚜屍。具有發達的假根,端部有不規則或規則的盤狀固著器。無休眠孢子。
4、努利蟲癘霉Pandora nouryi
初生分生孢子雙囊壁,擬卵形,多對稱,頂端圓,乳突明顯,6.6~9.9×10~18μm,平均為:8.0×15μm,L/D=1.5~2.2,平均:1.76。次生分生孢子與初生分生孢子同形,但稍小,粗短。菌絲段長棒狀或分枝。分生孢子梗為掌狀分枝,柵欄狀排列。假囊狀體漸尖削,細長。假根發達,末端擴展成盤狀的固著器。休眠孢子未見。被此菌寄生的蕈蚊的頭部、胸腹部均被緻密的子實層所覆蓋,蟲體膨脹,呈現乳白色。用挑針將蟲體從葉片上挑起,解剖鏡下觀察明顯可見將其牢牢地固定在白菜葉片上的發達的假根。
