症狀體徵
大多於生後1—2天發病,初起時常常有關體溫不穩、呼吸暫停、心動過緩、嗜睡等全身表現,同時或相繼出現不同程度的胃瀦留、腹脹、嘔吐、腹瀉及血便、查體可見腸形、腹壁發紅,腹部壓痛、右下腹包塊,腸鳴音減弱或消失,嚴重者常並發敗血症、腸穿孔或腹膜炎等。
疾病病因
早產兒胃腸道功能不成熟
早產兒胃酸分泌少,胃腸動力差,蛋白酶活性低,消化道黏膜通透性高,消化吸收和局部免疫反應低下,因此,在感染、腸壁缺血缺氧、不適當的腸道餵養等致病因素作用下易導致腸道損傷引發NEC。
感染
敗血症或腸道感染時,細菌及其毒素可直接損傷黏膜或間接通過增加炎症介質如血小板活化因子(PAF),白細胞介素(IL)腫瘤壞死因子(TNF)等的釋放,引起腸黏膜損傷,另外腸道內細菌的過度繁殖造成的腸脹也可加重腸損傷,較常見的細菌有大腸桿菌,梭狀芽胞桿菌、綠膿桿菌、沙門氏菌、克雷白桿菌、產氣莢膜桿菌等,病毒和真菌也可引起本病。
腸黏膜缺氧缺血
機體缺氧時血液重新分配,以保證心、腦等重要臟器的供應。此時,腸系膜血管收縮、腸道血流量減少至正常的35%—50%,如缺血持續存在或缺血後再灌注發生,則可引起腸黏膜損傷,因此圍生期窒息、嚴重心肺疾病、嚴重呼吸暫停、低體溫、紅細胞增多症,休克及臍動脈插管均可導致腸道損傷。
攝入高滲乳及高滲溶液
早產兒經口、經胃、或經腸攝入滲透壓過高(>460mmol/L)的配方乳以及深壓較的高藥物如維生素E、氨茶鹼、消炎痛等於,大量液體由血管轉入腸腔,影響腸血流灌注而損傷腸黏膜,高滲乳及高滲溶液也可直接損傷未成熟的腸黏膜。
病理生理
好發部位為迴腸遠端及近端升結腸,重者可累及全胃腸道,十二指腸較少受累。主要改變為腸腔充氣,黏膜呈斑片狀或大片壞死,腸壁不同程度積氣、出血及壞死,嚴重時腸壁全層壞死和穿孔。
診斷檢查
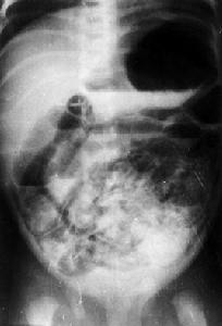
腹部X線平片對本病診斷有重要意義。早期主要表現為麻痹性腸梗阻:小腸排列紊亂,充氣明顯,腸腔內可見多個液平,呈階梯狀。病情進展如腸內氣體進入腸壁則出現腸壁囊樣積氣。腸壁間增寬,腸壁局部出現囊泡狀或串珠狀透亮區,漿膜下積氣時可呈現線,弧狀或環狀透亮區,較重病例因腸內氣體進入門靜脈可見門靜脈充氣征:肝臟可見自肝門向肝內沿門靜脈走行的條型或樹枝狀透亮影,嚴重者可見腸袢固定(腸壞死)氣腹(腸穿孔)、和腹腔積液(腹膜炎)。腸壁囊樣積氣和門靜脈充氣征為本病的特徵性表現。
嚴重者常伴有重症感染、代謝性酸中毒和(或)呼吸性酸中毒、血小板和中性粒細胞減少、DIC等、因此血氣分析,大便潛血及培養、血常規及培養以及DIC篩查和確診實驗室對病情判定均十分重要。
同時具備以下三項者,即可確診:①全身中毒表現:如體溫不穩、面色蒼白、呼吸不規則和心動過緩等。②胃腸道表現:胃瀦留、嘔吐、肉眼血便、腹脹及腸鳴音消失。③腹部X線表現:腸梗阻和腸壁積氣。
治療方案
禁食
疑似患兒禁食3天,確診病例7—10天。重症14天或更長。待臨床情況好轉,腹脹消失,大便潛血轉陰後可逐漸恢復飲食。恢復餵養要從水開始,再餵糖水、稀釋奶、根據病情逐步增加稀釋奶濃度。
胃腸減壓
禁食期間需進行胃腸減壓。
抗感染
①抗生素選擇:根據細菌培養及藥敏試驗,細菌不明時可用氨苄青黴素、氧哌嗪青黴素或第三代頭孢菌素,如為厭氧菌首選甲硝唑。
②療程:疑似患兒3天,確診病例7—10天,重症14天或更長。
支持療法和其他治療
禁食期間予以靜脈營養維持能量及水電解質平衡,每日供給209kJ(50kcal/kg),逐漸增加至418—503KJ(100—120kcal/kg),液體量120—150ml/hg,有凝血機制障礙時可輸新鮮冰凍血漿,出現休克時給予抗休克治療。
外科治療
明顯腹膜炎時可考慮手術、腸穿孔時應立即手術治療。
安全提示
1、禁食時間:一旦確診應立即禁食,輕者5~10天,重者10~15天或更長。腹脹明顯時給予胃腸減壓。
2、恢復進食標準:腹脹消失,大便潛血轉陰,腹部X線平片正常,一般狀況明顯好轉。如進食後患兒又出現腹脹、嘔吐等症狀,則需再次禁食。
3、餵養食品:開始進食時,先試餵5%糖水3~5ml,2~3次後如無嘔吐及腹脹,可改餵稀釋的乳汁,從每次3~5ml開始,逐漸加量,每次增加1~2ml,以母乳最好,切忌用高滲乳汁。

