牙周炎特點
牙周炎的特點是牙齒周圍組織(包括牙齦、牙周膜、牙槽骨)慢性破壞,自覺症狀不明顯,所以常不為一般人注意。一旦發生牙齦出血、溢膿、口臭、牙齒鬆動、伸長、移位及疼痛發作,才引起患者重視。如不及時治療,其牙齒喪失的數目常不是單個而是多數牙,甚至全口牙同時受累。牙周炎發病的原因,有局部也有全身的因素。一般說,口腔衛生不良,牙石和牙垢堆積,食物嵌塞,細菌和菌斑作用,不良補牙和鑲牙刺激,或壓迫牙齦等,都是引起牙周炎的重要局部原因。有時,全身因素對牙周炎的發生和發展也起一定的作用,如年齡、性別、遺傳、內分泌、營養等因素,在一定的程度上也可以改變組織抵抗力以及口腔中共生菌之間的關係,使原來不能引起病變的局部因素,變為可以致病的因素。任何單獨的因素,不可能造成牙周炎。
組織病理
牙周袋
牙周袋形成是牙周炎最重要的病理性改變之一。當患牙齦炎時,由於牙齦的腫脹或增生使牙齦緣的位置向牙冠方向移動,從而使齦溝加深,但結合上皮的位置並未向根方遷移,也就是說沒有發生牙周附著喪失,此為假性牙周袋,或稱齦袋。而患牙周炎使,結合上皮向根方增殖,其冠方部分(即原來的齦溝底處)與牙面分離,使齦溝加深而形成牙周袋,這是真性牙周袋。當然,臨床上的牙周袋常包含上述兩種情況,即牙周袋是由於牙齦緣向冠方移動以及溝底向根方延伸所形成的。
牙周袋內含有菌斑、牙石、齦溝液、唾液粘蛋白、脫落上皮和白細胞等,白細胞壞死分解後形成膿液。袋壁軟組織經常受齦下牙石的機械刺激,引起袋內出血。袋內容物具有較大的毒性。
牙槽骨吸收
牙槽骨吸收是牙周炎的另一個主要病理變化。由於牙槽骨的吸收,使牙齒的支持組織高度降低,牙齒逐漸鬆動,最終脫落或拔除。牙槽骨是人體骨骼系統中帶些和改建最活躍的部分。在生理條件下,其吸收與新生是平衡的,故牙槽骨的高度保持不變。當骨吸收增加、或骨新生減少、或二者並存時,即發生骨喪失,使牙槽骨高度降低。
患牙周炎時牙槽骨的吸收主要由局部因素引起,全身因素的作用尚不明確。局部因素主要是慢性炎症和咬合創傷。炎症和創傷可單獨作用或合併作用,從而決定骨吸收的程度和類型。
在患牙周炎時,同一牙的不同部位和牙面,可以存在不同形式和不同程度的牙槽骨吸收,牙槽骨吸收程度所反映的是牙周炎在過去的破壞結果,與當前牙周軟組織的炎症情況、牙周袋深度等不一定一致。
牙周病的活動性
牙周病的活動性是指牙周炎病變呈靜止期和加重期交替出現。靜止期的特徵是炎症反應減輕,骨吸收和附著喪失停止或極其緩慢。加重期(活動期)的特徵是骨吸收和附著喪失加快發生,牙周袋也加深。活動期可持續數天、數周或數月,常呈隨即爆發性發作。此後,常可自動進入靜止期。
目前尚無理想的判斷活動期的客觀指標,一般以定期(1-3個月)測量附著喪失程度來監測,若在兩次檢查的間隔期出現附著喪失加重≥2mm,則認為有活動性發生。
牙周活動性破壞並不是同時發生在同一口腔的所有牙位,某一時期可以發生在某幾個牙,另一時期可以發生在另一些牙的一些位點,這成為牙周病的牙特異性和位點特異性。因此牙周炎程度的加重包含著發生新的疾病位點或/和原有疾病部位的破壞加重兩個方面。
臨床表現
本病一般侵犯全口多數牙齒,也有少數患者僅發生於一組牙(如前牙)或少數牙。發病有一定的牙位特異性,磨牙和下前牙以及鄰接面由於菌斑牙石易堆積,故較易患病。
臨床表征
1. 牙周袋>3mm,並有炎症,多有牙齦出血
2. 臨床附著喪失
3. 牙周袋探診後有出血
4. 晚期牙鬆動或移位
5. 伴發病變 :根分叉病變;牙周膿腫;牙齦退縮、牙根敏感、根面齲;食物嵌塞;逆行性牙髓炎;繼發性咬合創傷;口臭。
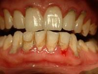
牙齦的炎症
牙周袋處的牙齦呈現不同程度的慢性炎症,顏色暗紅或鮮紅,質地鬆軟,點彩消失,邊緣圓鈍且不與牙面貼附。有些患者由於長期的慢性炎症,使牙齦有部分纖維性增生、變厚,表面炎症不明顯,但牙周探針後,袋內壁有出血,也可有膿。牙周袋探診深度超過3mm,且有附著喪失。如有牙齦退縮,則探診深度可能在正常範圍,但可見釉牙骨質界已暴露,因此附著喪失能更準確地反映牙周支持組織的破壞。
牙周袋的炎症、附著喪失和牙槽骨吸收在牙周炎的早起即已出現,但因程度較輕,一般無明顯不適,臨床主要的症狀為刷牙或進食時出血,或口內有異味,但通常不引起患者的重視,及至形成深牙周袋後,出現牙鬆動、咀嚼無力或疼痛,甚至發生急性牙周膿腫等才
去就診,此時多為晚期。
牙鬆動
在生理狀態下牙有一定的動度,主要是水平方向,也有極微小的軸向動度,均不超過0.02mm,臨床上不易察覺。在病理情況下牙鬆動超過生理範圍,這是牙周炎晚期的主要臨床表現之一,引起牙鬆動的原因如下:
1.牙槽骨吸收
牙槽骨的吸收使牙周支持組織減少,是牙鬆動最主要的原因。由於慢性牙周炎病程進展緩慢,早期牙並不鬆動。一般在牙槽骨吸收達根長的1/2以上時,特別是牙齒各個面的牙槽骨均有吸收時,臨床冠根比例失調,使牙鬆動度逐漸增大。單根牙比多根牙容易鬆動,牙根短小或呈錐形者比粗而長的牙齒容易鬆動。
有咬合創傷時可使牙槽骨發生垂直吸收,牙周膜間隙增寬,牙齒鬆動,但單純的咬合創傷並不會引起牙周袋的形成。當過大的咬合力消除後,牙槽骨可以自行修復,牙齒動度恢復正常。當患有牙周炎的牙齒同時伴有咬合創傷時,可以使動度明顯加重。常見的引起咬合創傷的原因有夜磨牙、緊咬牙、早接觸及牙尖干擾、過高的修復體及正畸加力過大等。急性外傷也可使牙鬆動,甚至脫臼。
3.牙周膜的急性炎症
如急性根尖周炎或牙周膿腫等可使牙明顯鬆動,這是由於牙周膜充血水腫及滲出所致。急性炎症消退後牙齒可恢復到原來的程度。
4.牙周翻瓣手術後
由於手術的創傷及部分骨質的去除,以及組織水腫,牙齒有暫時性動度增加。一般在術後數周牙齒即能逐漸恢復穩固。
5.女性激素水平變化
妊娠期、月經期及長期口服激素類避孕藥的婦女可有牙齒動度輕度增加。
治療方法
西醫治療
一般分為四個階段。
第一階段為基礎治療階段,目的在於選用牙周病常規的治療方法,清除或控制臨床炎症和咬致病因素,包括口腔自潔,拔除預後差和不利修復的牙,齦上潔治,齦下刮治以清除菌斑,牙石,選用抗菌藥控制炎症,咬頜調整等。
第二階段為牙周手術治療和鬆動牙固定。
第三階段為永久性修復治療,一般手術後2-3個月後進行。
第四階段為複查復治階段,每半年一次,包括檢查菌斑控制情況,衛生宣教,拍片檢查,以進一步擬訂治療計畫。
中醫治理
祖國醫學認為“齒為骨之餘”,腎主骨,失齒脫落者,多由腎氣虛弱,氣血不能榮潤,骨失所養,所以牙齒動搖鬆動;若經脈虛弱,風熱所襲,則致腫癢,甚至與齦間津液相搏,化為膿汁或出血,其病因與腎、胃有關,病機為腎虧虛,氣滯血瘀,因而選用滋陰補腎、活血行氣、清熱涼血藥物。
1、外用:主要有滑石、甘草、雄黃、冰片、硃砂等製成的中藥牙宣散,每天早晚用牙刷蘸藥刷患處2次;取藥末30g,生蜜60g,調勻,塗患處,早晚各一次。清熱解毒,消腫止痛,化腐生肌,收斂止血,對於牙周炎有很好的治療效果。
2、內服:烏賊骨、生甘草各30g。每日1劑,水煎至500毫升,早、晚飯前各服250毫升。疏風清熱,瀉火解毒,活血止痛,收斂止血。主治牙周炎,牙周膿腫,陽明濕熱型。證見牙齦腫脹,疼痛,溢膿,痛連頰腮,口乾發熱,溲黃便乾。
日常保健
1、牙齦按摩法:刷牙後用潔淨的雙手食指在牙齒和牙齦表面作環形的轉動按摩。可以從上下頜後牙開始,逐漸移向前方。早晚各一次,每次10~15分鐘。(註:炎症急性發作時不能按摩。)
2、叩齒:每天早晚空口咬合數十次。咬合時應鏗然有聲,這有增強牙周組織和增進血液循環的作用,常做可使牙齒堅固而不痛。
3、正確刷牙方法:豎刷法,即刷上牙時刷毛順著牙縫從上向下刷;刷下牙時順著牙縫從下向上刷。動作要慢一些,在同一部位上反覆數次,讓刷毛通過齦與牙的交界區時徹底去除污物,對牙齦也有按摩作用。
4、密切注意牙周疾病的早期信號。如果在刷牙或吃東西的時候,出現牙齦出血的現象,要及早引起重視,因為這是牙周有炎症的表現,應儘早到醫院診治,查看齦下牙石情況,以及牙齦萎縮的情況。
5、養成健康的飲食習慣。注意飲食結構要營養均衡,多吃白肉、蛋、蔬菜、瓜果等有益於牙齒口腔健康的食物;儘量少吃含糖食品,不抽菸,少喝酒,多吃富含纖維的耐嚼食物,有效增加唾液分泌,利於牙面及口腔清潔。
6、注意飲食方面的衛生預防意識。切勿常喝軟飲料,如冰茶、可樂、檸檬汽水等各種碳酸飲料,均會對牙齒造成不同程度的傷害;尤其注意是睡前,剛吃完酸性食物的時候,例如檸檬、西柚汁後,不要馬上刷牙,酸性液體容易使牙齒表面的釉質軟化,此時刷牙容易破壞牙釉質,導致牙齒損耗,應先漱口,過一段時間後再刷牙。
伴發症狀
慢性牙周炎患者除有上述特徵外,晚期常可出現其它伴發症狀,如:
1.由於牙鬆動、移位和牙齦退縮,造成食物嵌塞;
2.由於牙周支持組織減少,造成繼發性咬合創傷;
3.牙齦退縮使牙根暴露,對溫度敏感,並容易發生根面齲,在前牙還會影響美觀;
4.深牙周袋內膿液引流不暢時,或身體抵抗力降低時,可發生急性牙周膿腫;
5.深牙周袋接近牙根尖時,可引起逆行性牙髓炎;
6.牙周袋溢膿和牙間隙內食物嵌塞,可引起口臭。
疾病診斷
1. 多為成年人,也可見於兒童或青少年。
2. 有明顯的菌斑、牙石及局部刺激因素,且與牙周組織的炎症和破壞程度較為一致。
3. 患病率和病情隨年齡增大而加重,病情一般緩慢進展和加重,也可有快速進展的活動期。
4. 全身一般健康,也可有某些危險因素,如吸菸、精神壓力、骨質疏鬆等。
疾病治療
慢性牙周炎的治療目標首先應是徹底清除菌斑、牙石等病因刺激物,消除牙齦的炎症,使牙周袋變淺,並爭取適當的牙周組織再生,而且要使這些療效能長期穩定地保持。牙周治療追求的是長期的功能、舒適和美觀,而不僅著眼於治療期間能保留的牙數。為達到上述目標,需要採取一系列按部就班的綜合治療。由於每位患者的病情不同,同一口腔內各個牙的患病程度、解剖條件、局部刺激因子的多少也各異,因此須針對各個患牙的具體情況,逐個制定相應的治療計畫,而且在治療過程中根據患者對治療的反應,及時對治療計畫進行補充和調整。
1.清除局部致病因素
無論患者屬於哪種類型的牙周炎,有無全身疾病,清除牙面上的細菌堆積物------菌斑和牙石,是控制牙周感染的第一步治療。機械方法清除菌斑是清除菌斑牙石最為有效的方法,是牙周治療的基礎。
齦上牙石的清除稱為潔治術,齦下牙石的清除稱為齦下刮治術,也稱根面平整術,除了刮除齦下牙石外,還須將暴露在牙周袋內含有內毒素的病變牙骨質刮除,使根面光滑平整,以利於牙周支持組織重新附著於根面。
2.長期控制菌斑
清除了菌斑和牙石只是牙周治療的第一步,尚不能保證牙周炎的長期療效,因為菌斑在牙面上時刻不斷地形成。因此在治療前和治療中,患者必須明確菌斑的危害,能堅持不懈地有效清除菌斑。
3.全身和局部的藥物治療
慢性牙周炎對潔治和刮治有較好的反應,大多數輕、中度患者在根面平整後,組織能順利癒合,除非出現急性症狀,一般不需使用抗菌藥物。對一些炎症嚴重、肉芽組織增生的深牙周袋,在刮治後可適當地用藥物處理袋壁。
4.手術治療
基礎治療後2-3個月時,應複查療效,若仍有5mm以上的牙周袋,且有些部位的牙石難以徹底清除,探診仍有出血,則可考慮進行牙周手術,在直視下徹底刮除根面或根分叉處的牙石及不健康的肉芽組織;還可在術中修整牙齦和牙槽骨的外形、植骨或截除嚴重的患根等,通過手術改正牙周軟硬組織的外形,形成一種有利於患者控制菌斑的生理外形。
5.建立平衡的咬合關係
重症牙周炎患者有鬆動移位的牙齒,可發生繼發性咬合創傷,甚至缺牙。這些都需要咬合治療來解決,如調磨牙齒消除咬合干擾;如果松牙不再繼續加重,且無功能障礙,則不必作特殊處理;若松牙妨礙吃東西,且繼續加重,則需加以固定。有些患者還可通過正畸治療來矯正移位的牙齒。
6.拔牙
對於有深牙周袋、過於鬆動的嚴重患牙,如確已無保留價值者,應儘早拔除,這樣可以①消除細菌聚集部位;②有利於鄰牙的徹底治療;③避免牙槽骨繼續吸收,以利鑲牙或種植牙;④避免反覆發作牙周膿腫;⑤避免因患牙鬆動或疼痛而使該側不敢咬東西。
7.消除危險因素
在制訂治療計畫時,應針對容易導致牙周炎加重或復發的局部因素或全身性危險因素進行干預和處理,例如改正不良修復體、調整咬合、解除食物嵌塞等。對患有某些系統性疾病如糖尿病、心血管疾病等的慢性牙周炎患者,應積極治療並控制全身病,以利牙周組織癒合。
吸菸者對牙周治療的反應差,應戒菸。戒菸者經過徹底的牙周治療後,將出現良好的療效。
8.維護期的牙周支持治療
大多數慢性牙周炎患者在經過恰當的治療後,炎症消退、病情得到控制,但療效的長期保持卻有賴於患者堅持有效地菌斑控制,以及定期的複查、監測和必要地重複治療,否則病情將在數周至數月內復發,治療歸於失敗。複查的間隔根據病情和患者菌斑控制情況來定,治療剛結束時應勤複查,對於病情穩定、自我維護意識強的患者,可逐漸延長間隔期。

