簡介
快速進行性腎小球腎炎病理改變
1)肉眼觀:雙側腎臟腫大,色蒼白,皮質表面有點狀出血。
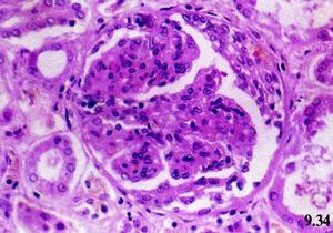
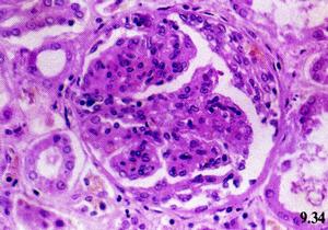
2)鏡下:腎小球可分別出現壞死、增生或其他各種改變。特徵性病變為多數腎小球內大量新月體的形成。新月體主要由增生的壁層上皮細胞和滲出的單核細胞構成,還可有嗜中性粒細胞和淋巴細胞。以上成分在球囊壁層在毛細血管球外側呈新月狀或環狀分布。腎小球基底膜受損導致纖維素滲出,因此,在新月體細胞成分之間有較多纖維素。纖維素滲出是刺激新月體形成的主要因素。早期新月體,以細胞成分為主,為細胞性新月體。以後纖維成分逐漸增多,形成纖維-細胞性新月體,最終新月體纖維化,成為纖維性新月體。新月體形成使腎小球囊腔變窄,並壓迫毛細血管叢,腎小球功能喪失。
3)電鏡下:部分病例顯示沉積物,幾乎所有病例出現腎小球基底膜的缺損和斷裂。
4)免疫螢光:部分病例可出現線性螢光或不連續的顆粒狀螢光。
臨床病理聯繫:快速進行性腎小球腎炎病情發展迅速,預後較差,如不及時治療,病人可迅速出現少尿、無尿和氮質血症,直至尿毒症而死亡。預後與病變廣泛程度和新月體形成的數量和比例有關,數量越多,預後越差。

