形成原因
心衰細胞心衰的臨床表現有呼吸急促困難、乏力和肺淤血以及外周水腫。往往通過心電圖、X線、超聲心動圖、動脈血氣分析、心衰標誌物等多項檢查進行診斷。心力衰竭一旦確診,應當及時治療。在配合醫生治療的前提下,心衰病人也要做好日常護理。減少心衰誘因,合理用餐,合理睡眠,適度運動,合理攝取營養物質,科學進行皮膚護理等都是心衰病人日常生活中應當做好的護理工作。心衰病人的飲食以低鈉、低熱量、清淡易消化為原則,注意攝取充足的維生素、無機鹽、碳水化合物,禁菸酒和過量脂肪,並注意少食多餐。對於臥床的心衰病人,還要定時翻身、按摩以及護理,注意動作應輕柔。
心衰細胞和心衰之間的聯繫大家現在也有了了解,並懂得了一些心衰病人的護理方式,最重要的是大家要有健康的生活方式和好的心態,讓心衰遠離自己。
具體表現
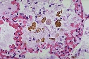
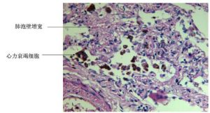
肺泡腔內有心力衰竭細胞肉眼觀察:肺體積增大,重量增加,包膜緊張,邊緣變鈍,顏色暗紅,質地變實。新鮮時切面可擠壓出或流出淡粉色或紅色血性泡沫狀液體。長期的慢性肺淤血,肺質地變硬,肉眼呈棕紅色,稱為肺褐色硬化。鏡下觀察:①肺泡毛細血管和小靜脈廣泛高度擴張,充滿紅細胞;②部分肺泡腔內見有多少不等的漏出液和漏出的紅細胞;③肺泡腔內見心衰細胞。
左心衰竭導致嚴重的肺淤血時,漏出到肺泡腔內的紅細胞被巨噬細胞吞噬後並將其血紅蛋白分解成棕黃色的含鐵血黃素,隨後含有含鐵血黃素的巨噬細胞崩解,因含有含鐵血黃素的巨噬細胞常見於左心衰竭時,故稱此種細胞為心衰細胞.

