疾病表現:1.Lhermitte-Duclos(LDD)是一種非常罕見的良性小腦病變,其常與 Cowden綜合症伴發, 同時有乳腺良性腫塊,皮膚、甲狀腺等病變,口腔乳頭狀瘤,消化道錯構瘤、息肉等。
2.另外還可與白內障、生殖泌尿系腫瘤病變伴生,疾病進展緩慢或基本無進展。
3.本病最可能引起交通性腦積水,其相關症狀,最常出現在30 - 40歲,但也有新生兒到60歲年齡組發病。
治療:外科手術有效,儘管病灶是不可能完全切除乾淨,但症狀復發病人罕見。
流行病學:LDD如果被證實,隨訪治療可以根據患者需要。
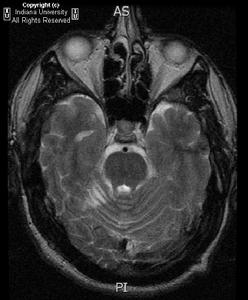
影像學表現:MR 腦溝腦回表現有界限清晰的小腦占位徵象,T2和 FLAIR 增強前後均顯示高信號,表現為“斑紋”狀(圖像如下)。彌散圖像在ADC上無減小。波譜分析NAA值上有增強的乳酸信號,另外有相對減少或正常的膽鹼信號。因此,可以利用磁共振波譜MRS來鑑別診斷膠質瘤。
CT 顯示有高密度“斑紋”,但增強後極少強化。

