概況
肺解剖圖 大葉肺炎,又名肺炎球菌肺炎,是由肺炎雙球菌等細菌感染引起的呈大葉性分布的肺部急性炎症。常見誘因有受涼、勞累或淋雨等。屬於中醫“風溫”、“肺脹”等範疇。是由肺炎雙球菌引起的急性肺實質炎症。好發於青壯年男性和冬春季節。常見誘因有受寒、淋雨、醉酒或全身麻醉手術後、鎮靜劑過量等。主要病理改變為肺泡的滲出性炎症和實變。臨床症狀有突然寒戰、高熱、咳嗽、胸痛、咳鐵鏽色痰。血白細胞計數增高;典型的X線表現為肺段、葉實變。病程短,及時套用青黴素等抗生素治療可獲痊癒。
疾病描述
多種細菌均可引起大葉肺炎,但絕大多數為肺炎鏈球菌,其中以Ⅲ型致病力最強。肺炎鏈球菌為口腔及鼻咽部的正常寄生菌群,若呼吸道的排菌自淨功能及機體的抵抗力正常時,不引發肺炎。
當機體受寒、過度疲勞、醉酒、感冒、糖尿並免疫功能低下等使呼吸道防禦功能被削弱,細菌侵入肺泡通過變態反應使肺泡壁毛細血管通透性增強,漿液及纖維素滲出,富含蛋白的滲出物中細菌迅速繁殖,並通過肺泡間孔或呼吸細支氣管向鄰近肺組織蔓延,波及一個肺段或整個肺葉。大葉間的蔓延系帶菌的滲出液經葉支氣管播散所致。
大葉肺炎病變起始於局部肺泡,並迅速蔓延至一個肺段或整個大葉。臨床上起病急驟,病程大約一周,常以高熱、惡寒開始,繼而出現胸痛、咳嗽、咳鐵鏽色痰,呼吸困難,並有肺實變體徵及外周血白細胞計數增高等。
大葉性肺炎是肺炎鏈球菌感染引起的一個肺葉或一個肺段範圍內的肺泡炎。近年由於大量強有力抗生素的使用,典型的大葉性肺炎已較少見到。一般當氣候驟變,機體抵抗力下降時發病。冬春季多見,主要見於3歲以上兒童,因此時機體的免疫功能也就是防禦能力逐漸成熟,能使病變局限於一個肺葉或一個肺段而不致擴散。一般大葉性肺炎起病急,表現為突然高熱、胸痛、食欲不振、疲乏、煩躁,少數患兒可有腹痛,有時被誤診為闌尾炎。重症的患兒出現中毒性腦病症狀,驚厥、譫妄及昏迷;甚或出現感染性休克。
症狀體徵
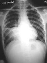
大葉肺炎 早期咳嗽多不重,無痰,以後可見有咳鐵鏽色痰,病程1周后尚可聽到濕性羅音。胸部X線片典型改變為一個肺葉或肺段的大片陰影,均勻緻密,右上葉或左下葉最為多見,可伴有胸腔積液。其它化驗室檢查可見白細胞及中性粒細胞明顯增高,C反應蛋白陽性,肺炎鏈球菌病原學檢測方法包括:血液、氣道分泌物、胸水的細菌培養,血、尿細菌莢膜抗原檢測,特異性抗體的檢測等。如獲得陽性結果是對診斷的有力支持。
對大葉性肺炎進行治療時應注意,一般肺炎鏈球菌對青黴素,頭孢黴素的治療有效,故多選用,療程1-2周,如病情重或伴有併發症如伴有胸膜炎、心包炎等可增加劑量、延長療程。目前發現肺炎鏈球菌已出現耐藥的問題,此時應根據細菌培養的藥物敏感試驗選擇抗生素。對合併膿胸的患兒應及時穿刺抽膿。重症病人需加強支持治療,間斷輸注丙種球蛋白、血漿或鮮血。
經過及時正確的治療,絕大多數患兒可獲得痊癒一般不留後遺症。
目前在某些國家和地區,對易發肺炎鏈球菌肺炎的高危人群試用多價肺炎鏈球菌多糖疫苗預防,認為有效,目前正在繼續研究中。
病因病機
多種細菌均可引起大葉性肺炎,但絕大多數為肺炎鏈球菌,其中以Ⅲ型致病力最強。肺炎鏈球菌為革蘭氏陽性菌,有莢膜,其致病力是由於高分子多糖體的莢膜對組織的侵襲作用。少數為肺炎桿菌、金黃*色葡萄球菌、溶血性鏈球菌、流感嗜血桿菌等。肺炎鏈球菌為口腔及鼻咽部的正常寄生菌群,若呼吸道的排菌自淨功能及機體的抵抗力正常時,不引發肺炎。當機體受寒、過度疲勞、醉酒、感冒、糖尿病、免疫功能低下等使呼吸道防禦功能被削弱,細菌侵入肺泡通過變態反應使肺泡壁毛細血管通透性增強,漿液及纖維素滲出,富含蛋白的滲出物中細菌迅速繁殖,並通過肺泡間孔或呼吸細支氣管向鄰近肺組織蔓延,波及一個肺段或整個肺葉。大葉間的蔓延系帶菌的滲出液經葉支氣管播散所致。
病理生理
大葉肺炎 大葉性肺炎其病變主要為肺泡內的纖維素性滲出性炎症。一般只累及單側肺,以下葉多見,也可先後或同時發生於兩個以上肺葉。典型的自然發展過程大致可分為四個期:
1.充血水腫期 主要見於發病後1~2天。肉眼觀,肺葉腫脹、充血,呈暗紅色,擠壓切面可見淡紅色漿液溢出。鏡下,肺泡壁毛細血管擴張充血,肺泡腔內可見漿液性滲出物,其中見少量紅細胞、嗜中性粒細胞、肺泡巨噬細胞。滲出物中可檢出肺炎鏈球菌,此期細菌可在富含蛋白質的滲出物中迅速繁殖。
2.紅色肝變期 一般為發病後的3~4天進入此期。肉眼觀,受累肺葉進一步腫大,質地變實,切面灰紅色,較粗糙。胸膜表面可有纖維素性滲出物。鏡下,肺泡壁毛細血管仍擴張充血,肺泡腔內充滿含大量紅細胞、一定量纖維素、少量嗜中性粒細胞和巨噬細胞的滲出物,纖維素可穿過肺泡間孔與相鄰肺泡中的纖維素網相連,有利於肺泡巨噬細胞吞噬細菌,防止細菌進一步擴散。
3.灰色肝變期 見於發病後的第5~6天。肉眼觀,肺葉腫脹,質實如肝,切面乾燥粗糙,由於此期肺泡壁毛細血管受壓而充血消退,肺泡腔內的紅細胞大部分溶解消失,而纖維素滲出顯著增多,故實變區呈灰白色。鏡下,肺泡腔滲出物以纖維素為主,纖維素網中見大量嗜中性粒細胞,紅細胞較少。肺泡壁毛細血管受壓而呈貧血狀態。滲出物中肺炎鏈球菌多已被消滅,故不易檢出。
4.溶解消散期 發病後1周左右,隨著機體免疫功能的逐漸增強,病原菌被巨噬細胞吞噬、溶解,嗜中性粒細胞變性、壞死,並釋放出大量蛋白溶解酶, 使滲出的纖維素逐漸溶解,肺泡腔內巨噬細胞增多。溶解物部分經氣道咳出,或 經淋巴管吸收,部分被巨噬細胞吞噬。肉眼觀,實變的肺組織質地變軟,病灶消失,漸近黃*色,擠壓切面可見少量膿樣混濁的液體溢出。病灶肺組織逐漸淨化,肺泡重新充氣,由於炎症未破壞肺泡壁結構,無組織壞死,故最終肺組織可完全恢復正常的結構和功能。 如今抗生素的早期套用,大葉性肺炎上述典型經過在實際病例中已不多見,病變分期不明顯,臨床症狀也不甚典型,病變範圍往往也較局限,表現為肺段性肺炎。
臨床表現
1.起病急驟,寒戰、高熱、胸痛、咳嗽、咳鐵鏽色痰。病變廣泛者可伴氣促和紫紺。
2.部分病例有噁心、嘔吐、腹脹、腹瀉 。
3.重症者可有神經精神症狀,如煩躁不安、譫妄等。亦可發生周圍迴圈 衰竭,並發感染性休克 ,稱休克型(或中毒性)肺炎。
4.急性病容,呼吸急促,鼻翼扇動。部分患者口唇和鼻周有捳睢I偈沙魷只起恪?
5.早期肺部體徵不明顯或僅有呼吸音減低和胸膜摩擦音。實變期可有典型體徵,如患側呼吸運動減弱,語顫增強,叩診濁音,聽診呼吸音減低,有濕羅音或病理性支氣管呼吸音。
臨床病理聯繫
大葉肺炎 疾病早期,患者因毒血症而出現高熱、寒戰,外周血白細胞計數增高。因肺泡腔內有漿液性滲出物,故聽診可聞及濕性囉音,X線檢查肺紋理增粗。當肺組織發生實變時,臨床上則出現叩診呈濁音、觸覺語顫增強及支氣管呼吸音等典型實變體徵。由於肺泡腔充滿滲出物,使肺泡換氣功能下降,出現發紺等缺氧症狀及呼吸困難。以後滲出物中的紅細胞被巨噬細胞吞噬、破壞,形成含鐵血黃素混於痰中,使痰液呈鐵鏽色。隨著肺泡腔中紅細胞被大量纖維素和嗜中性粒細胞取代,痰液的鐵鏽色消失。並發纖維素性胸膜炎時可出現胸痛,聽診可聞及胸膜摩擦音。X線檢查可見段性或大葉性分布的均勻密度增高陰影。隨著病原菌被消滅,滲出物溶解、液化和清除,臨床症狀減輕,肺實變灶消失。X線表現為散在不均勻的片狀陰影。若不出現併發症,本病的自然病程為2周左右,若早期套用抗生素可縮短病程。
診斷檢查
診斷
1.本病好發於青壯年男性和冬春二季。
2.起病前多有誘因存在,約半數病例先有上呼吸道病毒感染等前驅表現。
3.突然起病寒戰、高熱。
4.咳嗽、胸痛、呼吸急促,鐵鏽色痰。重症患者可伴休克。
5.肺實變體徵。重症患者血壓常降至10.5/6.5KPa(80/50mmHg)以下。
7.痰塗片可見大量革蘭氏陽性球菌。
8.痰、血培養有肺炎球菌生長。
9.血清學檢查陽性(協同凝集試驗、對流免疫電泳檢測肺炎球菌莢膜多糖抗原)。
10.胸部X線檢查顯示段或葉性均勻一致的大片狀密度增高陰影。
11.血氣分析檢查有PaO2及PaCO2下降,原有慢性阻塞性肺疾病的患者PaCO2可上升。
檢查
1、血白細胞總數增加,中性粒細胞達0.80以上,核左移,有中毒顆粒。
2、痰塗片可見大量革蘭氏陽性球菌。
3、痰、血培養有肺炎球菌生長。
4、血清學檢查陽性(協同凝集試驗、對流免疫電泳檢測肺炎球菌莢膜多糖抗原)。
5、胸部X線檢查顯示段或葉性均勻一致的大片狀密度增高陰影。
6、血氣分析檢查有及PaCO2下降,原有慢性阻塞性肺疾病的患者PaCO2可上升。
7.一般患者檢查專案以檢查框限“A”為主;
8.對重症者或須與其他病原菌肺炎鑑別時檢查專案可包括檢查框限“A”、“B”或“C”。
併發症
大葉性肺炎併發症較少見,如治療不及時、病原菌毒力強或機體反應性過高則可出現肺膿腫、膿胸或膿氣胸。嚴重感染細菌入血繁殖並播散可致敗血症或膿毒敗血症。如引起末梢循環衰竭及中毒症狀可導致感染性休克。病變累及胸膜導致纖維素滲出而發生纖維素性胸膜炎。
肺肉質變(pulmonary carnification):由於肺泡腔內滲出的嗜中性粒細胞數量少或功能缺陷,釋放蛋白溶解酶不足以使滲出的纖維素完全溶解而被吸收清除,由肉芽組織機化,使病變肺組織呈褐色肉樣纖維組織,稱肺肉質變。
肺肉質變(carnification) 滲出物不能完全吸收清除由肉芽組織機化肺膿腫膿胸,多見於合併金黃色葡萄球菌感染 敗血症或膿毒敗血症、中毒性休克。
1.中毒性休克
是大葉性肺炎最嚴重的併發症,多見於老年體弱者,細菌毒素入血使外周微循環血管擴張、血壓下降,引起中毒性休克如不及時搶救可造成死亡。
2.敗血症
當機體抵抗力極度低下或致病菌毒力過強時,大量細菌進入血液引起敗血症,有時還並發化膿性腦膜炎、化膿性關節炎及急性細菌性心內膜炎。
3.肺肉質變
如果滲入肺泡腔的中性粒細胞過少,或者纖維素過多,滲出的纖維素不能完全被溶解吸收,則由肉芽組織取代而發生機化,使病變部分肺組織變成褐色肉樣纖維組織稱肺肉質變。X線檢查在病變肺葉遺留永久性不規則點片狀陰影。
4.肺膿腫和膿胸
受累肺組織壞死液化形成肺膿腫,當胸膜病變嚴重時可發展成纖維素性化膿性胸膜炎,甚至膿胸。
預防治療
(1)注意預防上呼吸道感染,加強耐寒鍛鍊;
(2)避免淋雨受寒、醉酒、過勞等誘因;
(3)積極治療原發病,如慢性心肺疾病、慢性肝炎、糖尿病和口腔疾病等,可以預防大葉性肺炎。
治療原則
1、加強護理和支持療法。
2、抗菌藥物治療。
3、休克型肺炎的治療:加強護理,嚴密監測。補充血容量糾正休克。糾正酸鹼失衡。 套用血管活性藥物。套用足量抗生素。儘早加用糖皮質激素。防治心、腎功能不全及呼吸衰竭。
用藥原則
1、對輕型患者應首選青黴素肌注.
2、重症或休克型肺炎病人應及時套用足量抗生素靜脈滴注,並可聯用2-3種廣譜抗生素。如青黴素、頭孢菌素類藥等,加強支持和對症治療。
3、經補充血容量、糾正酸中毒後末稍迴圈仍無改善時,宜加用血管活性藥物如654-2、多巴胺或多巴酚丁胺及間羥胺。
4、病情嚴重或經上述療法休克仍未糾正時,宜儘早加用氫化可的松或地塞米松。
療效評價
1.治癒:症狀、體徵消失,血白細胞總數正常,肺部陰影完全吸收。
2.好轉:症狀、體徵基本消失,血白細胞總數及分類正常,肺部陰影大部分吸收。
3.未愈:症狀、體徵無好轉。
應急處理
(1)臥床休息,給予高熱量、多維生素及易消化食物飲食,鼓勵病人多渴水或菜湯以補充水份。
(2)全身套用大劑量抗生素如青黴素、氨苄青黴素等。
(3)高熱者可在頭、腋下、膕窩等處放置冰袋或冷水袋,全身溫水或酒精擦浴等物理降溫處理,必要時口服解熱藥物如APC、消炎痛等。
(4)神志恍惚或昏迷者,及時清除口腔內異物,保持呼吸道通暢。
(5)休克者應平臥,頭稍低,並速送醫院搶救。
注意事項
本病易與以下疾病混淆,在診斷時要特別注意:
(1)乾酪性肺炎 有結核病史起病緩慢白細胞計數正常痰中可找到結核桿菌X線檢查肺部可有空洞形成。
(2)肺癌繼發感染 年齡較大起病緩慢中毒症狀不明顯可持續有痰中帶血X線檢查及纖維支氣管鏡檢查或協助診斷。
(3)急性肺膿腫 常咯大量膿痰X線檢查有液平面的空洞形成可資鑑別。

