病因
外傷性腦積水病理圖發病機制
外傷性腦積水CT圖1.血塊直接阻塞腦脊液循環通路或因蛛網膜絨毛被紅細胞阻塞而影響腦脊液吸收。
2.腦水腫、顱內血腫、腦疝 腦膨出或突出亦可壓迫腦池和腦表面的蛛網膜下腔 影響腦脊液的循環與吸收。
3.腦室內出血、腦室穿通傷 積血可阻塞室間孔、導水管、第四腦室正中孔,使腦脊液不能回流到蛛網膜下腔。
慢性腦積水是指傷後3周~1年內發生的腦積水,原因可能為蛛網膜下腔出血刺激腦膜,引起無菌性炎症反應形成粘連,阻塞蛛網膜下腔及蛛網膜絨毛而影響腦脊液的吸收與回流,以腦脊液吸收障
外傷性腦積水CT圖礙為主,病理切片可見蛛網膜增厚纖維變性 室管膜破壞及腦室周圍脫髓鞘改變。Johnston認為腦脊液的吸收與蛛網膜下腔和上矢狀竇的壓力差以及蛛網膜絨毛顆粒的阻力有關。當腦外傷後顱內壓增高時,上矢狀竇的壓力隨之升高,使蛛網膜下腔和上矢狀竇的壓力差變小 從而使蛛網膜絨毛微小管系統受壓甚至關閉,直接影響腦脊液的吸收。由於腦脊液的積蓄造成腦室內靜水壓升高,腦室乃進行性擴大。
因此,慢性積水的初期,病人的顱內壓是高於正常的,及至腦室擴大到一定程度之後,由於加大了吸收面,才漸使顱內壓下降至正常範圍,故臨床上稱之為正常顱壓腦積水。但由於腦脊液的靜水壓已超過腦室壁所能承受的壓強,使腦室不斷繼續擴大,腦萎縮加重而致進行性痴呆。
臨床表現
外傷性腦積水CT圖1.急性外傷性腦積水 呈進行顱內壓增高,腦挫裂傷程度較嚴重,傷後持久昏迷或曾有一度好轉又復惡化,雖經脫水、排除血腫、減壓手術及激素等多方治療,但意識恢復欠佳。病人顱內壓持續升高 減壓窗腦膨隆,腦脊液蛋白含量增加 顱內又無其他殘留或遲發血腫存在,故易誤診為遷延性昏迷或植物人。
2.慢性外傷性腦積水 慢性者多表現為正常顱壓腦積水,自傷後至出現腦積水症狀平均為4.18個月,一般都不及1年。病人主要表現為精神症狀、運動(步態)障礙及尿失禁。可出現淡漠、情緒不穩、痴呆、步態不穩 共濟失調、下肢僵硬、震顫性麻痹等臨床表現,偶爾尚有大、小便失禁、癲癇、情感自制力減退等症狀。病情發展較緩慢,症狀時有波動。測壓時腰穿或腦室內壓力大都正常,腦脊液蛋白含量升高。眼底檢查亦無視盤水腫現象。
併發症:
可能並發於腦挫裂傷、蛛網膜下腔出血、顱內血腫。
診斷
外傷性腦積水CT圖鑑別診斷:
注意與慢性硬腦膜下血腫、腦血管意外、早老性或老年性痴呆、白質腦病和抑鬱症相區別 影像學上應注意與腦萎縮相鑑別,參見輔助檢查部分。
實驗室檢查:
腰椎穿刺:急性外傷性腦積水,多伴顱內壓增高,不宜腰穿;慢性者為正常壓力,腦脊液蛋白含量可升高。
其它輔助檢查:
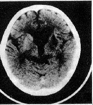
1.CT MRI檢查 腦室系統擴大並尤以側腦室前角為著;側腦室周圍特別是額角部有明顯的間質性水腫帶;腦室擴大的程度甚於腦池的擴大;腦回無萎縮表現 腦溝不加寬。不過,需要與腦萎縮相鑑別,因為嚴重腦挫傷、軸突損傷、腦缺血 缺氧和壞死等造成的腦萎縮也具有腦室擴大的CT影像。後者的特點是:側腦室普遍擴大 腦溝增寬、無腦室周圍的透亮水腫區。MRI檢查雖與CT所見相同,但更為明確和清晰:首先是側腦室前角的擴張及腦室周圍的間質性水腫帶,可於T2加權圖像上顯示出明顯的高信號;其次於冠狀面可以測出兩側室頂之間的夾角小於120°,相反在腦萎縮病人此角則常大於140°;再者於矢狀面尚可看到第三腦室呈球形擴大,視隱窩和漏斗隱窩變淺變鈍,而在腦萎縮病人,其第三腦室前後壁、漏斗隱窩、視隱窩則無明顯變形,雖有擴大但仍保持其原有輪廓。
2.放射性核素腦池造影 可有核素自腦池到腦室反流,最常見的為核素自第四腦室正中孔反流回腦室,腦室系統顯影而蛛網膜下腔不顯影,說明腦脊液的循環與吸收發生障礙。
治療及預後
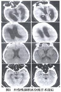
圖1 外傷性腦積水手術方法:局麻或全麻下施術,病人仰臥頭偏向左側,右肩稍抬高使頸部側方伸平。先於右顳後份(外耳道後方及上方各4cm處)行顱骨鑽孔,用腦針垂直穿刺深入3~4cm即達腦室三角區,證實有腦脊液流出後勿過多排放,隨即將分流管的腦室端,按腦針的方向和深度插入腦室,再將單向閥門固定在骨孔稍下方,然後經頭皮帽狀腱膜下層自耳後直至頸側皮下作一隧道,並將分流管的腹腔端導入與閥門出口相接,隨即縫合頭皮切口。分流管遠端繼續經頸部,胸部皮下潛行至右下腹。然後作闌尾炎麥氏切口,剪開腹膜後用環鉗將分流管末端沿盆腔右側壁小心送入直腸膀胱隱窩或子宮直腸隱窩。術畢如常縫合腹壁切口及分段皮膚切口,不放引流 術後投予抗生素預防感染 每天按壓閥門2~3次,以避免單向閥門分流裝置發生阻塞。
預後:
手術後神經症狀一般會有所改善,頭痛消失,精神較為活潑,Zander報導31例外傷性腦積水行腦室至心房分流術後,48%可恢復工作或生活自理 26%無改善,另外26%死亡。
