簡介
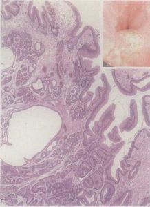
增生性息肉,又稱 化生性息肉,多發生在直腸,多數40歲以後發病,隨年齡增長,發病率增高。息肉的數目雖多,但無明顯的症狀,偶有大便帶鮮血。鏡下可見息肉體積小、均等、表面光滑、蒂短。本病無癌變傾向。目前該病的病因尚不清楚。一般不需特殊治療。
學說
加拿大學者賈西(Jass)等論述了增生性息肉特性,將息肉分為兩種類型,其中Ⅰ型者較大,具有鋸齒狀腺瘤樣息肉特徵並伴有異型增生。
而美國學者托爾拉科維奇(Torlakovic)等分析了散發增生性息肉的組織學特徵,又將息肉分為3個主要亞型,即微泡狀黏蛋白型鋸齒狀息肉(MVSP)、杯狀細胞型鋸齒狀息肉(GCSP)和黏蛋白缺失型。
MVSP的隱窩上部有大量富含微泡的柱狀細胞,鋸齒狀結構顯著。在某些位於近側結腸的病變中,這種鋸齒狀結構甚至沿隱窩向下延伸。
GCSP的隱窩上部和表面被復許多成熟杯狀細胞,鋸齒狀結構不如前者顯著。以後的分子生物學研究結果有力地支持該分類方法。

