概述
墜積性肺炎臨床症狀以發熱、咳嗽和咳痰為主,尤以咳痰不利,痰液粘稠而致嗆咳發生為其主要特點。
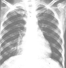
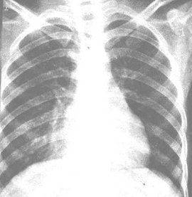
實驗室檢查一般為白細胞增多,中性粒細胞比例增高;痰菌檢查和痰培養陽性;肺部X線檢查雙肺下部或單側肺下部不規則小片狀密度增高影,邊緣模糊密度不均勻。
治療原則主要是原發病的治療,抗菌素、強心針及利尿劑的使用。因此對長期臥床的患兒要定時翻身、拍背,保持肺功能,避免血流停滯於肺底。
基本內容
墜積性肺炎一旦確診,要積極治療,選擇有效抗菌素以控制病情,鼓勵患者咳嗽,咯出痰液並給予祛痰藥,特別注意局部引流。如體位排痰,翻身拍背,病情嚴重要吸氧、吸痰,對活動不便的老年人要定期翻身,多飲水,進食高熱量、低流質飲食,並保持大便通暢,防止食道、胃返流。如飯後保持2小時的坐勢,還應充分保持口腔清潔。對食道、胃返流嚴重者應對其有效治療。另外尚要加強對原有基礎疾病的治療。
長時間臥床使得呼吸道分泌物難於咳出,淤積於中小氣管,成為細菌的良好培養基,極易誘發肺部感染,即墜積性肺炎。肺部感染對老年人來說是極其危險的,控制不好除了可引起敗血症、毒血症、呼吸窘迫外,還可能增加心臟負擔,引起肺源性心臟病,這是相當危險的。有相當一部分老年患者因此而不幸永久閉上眼睛。
多幫助病人翻身,扣擊後背有助於防止墜積性肺炎的發生。扣擊的手法是輕握拳(注意手掌中空),有節奏地自下而上,由外向內輕輕扣打,邊扣邊鼓勵病人咳嗽。室內通風可以減少呼吸道感染的發生,一般每次通風30分鐘即可,一日2~3次。加強口腔清潔也是不可忽略的一關,每日(尤其是進食後)用淡鹽水或溫開水漱口,以減少食物殘留在口腔內,防止細菌繁殖。尤其要注意的是,患感冒等呼吸道感染的親人,暫時不要與病人密切接觸,以免傳染。

