簡介
圖象增強(image enhancement)是圖象處理的內容之一,是增進攝影圖象可讀性的處理技術,即套用計算機或光學設備改善圖象視覺效果的處理。模型處理方式是根據人眼對光亮度觀察的特性確定的,目的是提高圖象的可判讀性。圖象增強處理的內容包含:反差增強和濾波。反差增強處理在於改善圖象上類別的判讀效果;濾波處理是為提取或抑制圖象的邊緣和細節特徵、消除噪聲等。常用的反差增強方法有對比度擴展、彩色增強、多譜段圖象組合與變換.濾波增強分為空間域濾波和頻率域濾波.
圖象增強的目的有二:①提高圖象解析度,將已經看得見的細節更加清晰,使還不易看清的細節呈顯得更清楚,突出細節,使有用信息得到充分利用;②將圖象對比度(反差)加強使圖象更易於判讀。增強處理可通過光學方法或電子計算機進行。在數字計算機上進行增強處理,多採用灰度分布密度函式變換、比例成像、數字濾波等方法。此外還可採用偽彩色法。用於遙感圖片、醫學及工業X光照片、電子顯微照片等。
圖像增強為改善影象清晰度或突出影象某些特徵,以利於人工或電子計算機判讀,對原始圖象進行的轉換。圖象增強處理雖然未增加圖象的信息量,但卻改善了判讀條件,提高了可辨性,是遙感圖象分析研究的有效手段。有光學增強和計算機增強兩種處理方法,前者又可分為彩色合成法、密度分割法、邊緣增強法、反差增強法和比值增強法;後者可分為反差增強法、空間濾波法、比值增強法及主組分分析法等。人們在實際套用中, 根據專業性質和任務也可將光學增強處理與計算機增強處理結合起來。
發展歷史
計算機圖像處理的發展並不長久,大致可以將其劃分成如下幾個時期:初創時期;發展時期;普及時期;實用化時期。
該技術最早誕生於 1960 年左右,這一時期的圖像處理基本全部使用的是像素型光柵識別技術,先對圖像進行掃描,然後將掃描後的圖像放置於相應的處理裝置當中處理。總的來講,這一時期的圖像處理成本非常高,並且設備也極為稀缺,圖像處理技術並沒在較廣的範圍有所套用。
20 世紀 70 年代進入到發展期,這一時期圖像處理也漸漸採用光柵進行掃描處理,並且開始採用大、中型機對掃描後的圖像進行處理。此外,遙感技術與 CT 等新技術新裝備的出現極大刺激了圖像處理技術的進步。到 1980 年以後,圖像處理基礎開始向社會各個領域普及,很多微機都已經可以實現對圖像的簡單處理。VLSI 的誕生使得圖像處理效率有了質的飛躍,造價的降低也將了圖像系統在各領域普及化。
80 年代至今,圖像處理技術在各領域都占有一席之地,讓圖像處理技術買入實用化發展階段。
現狀
圖像增強的思路通常是根據某一指定的圖像及其實際場景需求,藉助特定的增強算法或者算法集合來強化圖像的有效信息或者感興趣信息,抑制不需要的信息或者噪聲。若按照處理空間進行劃分,圖像增強算法主要有:頻域增強法、空域增強法。而比較常用的算法主要有四種,分別是:灰度變換、直方圖修正、頻域濾波、同態濾波等。
現階段,比較流行的圖像增強技術有:灰度變換、同態濾波、直方圖修正、頻域濾波。其中,灰度變換法、直方圖法屬於空域方法,而同態濾波法、頻域濾波屬於頻域法。在實際生活當中,圖像處理是一項非常複雜的工作,因為圖像處理不僅要考慮到實際的分析目的,還要照顧到分析人員的喜好與圖像的實際特點,但無論何種方式,圖像處理的最終目標都是一致的。所以,圖像增強算法通常有著其各自適用的範圍,並不存在一種圖像增強算法能夠適用所有的場景。灰度變換法等基於空域的算法難以在細節增強和噪聲抑制之間取得良好的折衷;同態濾波等基於頻域的算法在細節增強方面的效果不明顯。
數字圖象的表示
就二維函式 f(x,y)而言,使用特定的分析技術如:採樣技術、量化技術等處理之後,便可以獲得對應的數字圖像。所以為了方便分析,圖像通常會使用二維矩陣來表示。所以,將一幅圖像輸入計算機後,將其轉化成二維矩陣便實現了圖像的數位化處理。數位化通常有三個核心環節:掃描、採樣、量化。掃描的過程實際上是根據特定的順利來對整個圖像進行檢查與篩選,而這一過程中最小的單位就是像素。在檢查與篩選圖像的時候所獲取的像素就是採樣,這一過程實際上也是對像素的離散化處理過程,採樣結果全部施工灰度值來展示,其一般採用光電感測器件進行。將採樣得到的灰度值用模數轉換器件轉換為離散的整數值的過程便是量化。
採樣實際上就是對圖像空間的離散化處理,這一過程主要確定的是圖像空間解析度。通俗來講,即通過特定的網路實現圖像的全部覆蓋,隨後將每一小格線中圖像的亮度進行平均化處理,然後將這一均值當成這一方格中心位置的取值。抑或取方格交叉點取值來表示方格的亮度取值。在這一變換結束後,模擬圖像便轉化成為一個由多個小方格中心取值(方格交叉點)來表現的離散數字圖像。這一格線一般也被叫做採樣網路,即在網路的基礎上,通過特定的方法來獲得模擬圖像點的取值。在進行採樣處理之後,圖像便轉化成數字圖像。
在實際採樣的時候,採樣點的間隔是一項非常重要的時候,很多時候圖像量化失敗都與採樣點間隔設定不合理有關,總的來講,採樣後的圖像必須與初始圖像有足夠的映射關係。一般情況下,採樣間隔的確定需要結合原始圖像的實際特點,如果要分析的內容過於細節化,那么採樣間隔就儘可能縮小。就空間角度來看,採樣過程會將圖像分割成很多個離散的點,但是所獲取的灰度值卻仍舊是連續的變數。因此,分析人員一般會通過採樣灰度值模擬量的轉化來表示灰度的量化結果。簡單來講,量化過程會導致圖像灰度坐標變得更加離散,這一過程與灰度解析度形成密不可分。常用的量化方式有:分層量化、非均勻量化、均勻量化。如果將樣本連續灰度值進行有限元分類,那么就構成了分層量化。均勻量化則是按照均勻分配的原則,將圖像灰度層次由暗至亮進行層次劃分,反之,不使用均勻化的分配原則便是非均勻量化。
空間域增強
通常空間域增強可以直接對圖像像素點進行處理。空間域增強可以由式所示:
g(x,y)=T[f(s,y)]
輸入圖像用 f (x, y)表示,增強後的圖像用 g (x, y)表示,T 能對圖像像素集合進行操作是增強函式,若 T 僅定義在像素點上,每次只對圖像單個像素點處理,而與其鄰域無關,則 T 表示的是一種點操作,又稱空域變換增強;若 T 定義在(x, y)的某個鄰域上,每次處理不僅會處理該像素點,還會處理其鄰域相關的點,稱 T 為模板操作,又叫空域濾波增強。其中點操作有灰度變換、幾何變換等幾種方式。採取該方法能直觀地從增強圖像和直方圖上觀察到圖像的增強效果。
灰度變換法
在套用當中,灰度變換法最典型的特點就是:對比度擴展、特徵明顯、圖像清晰。這些特點都會圖像增強有著極為明顯的效果。灰度變化法的原理為:將原始圖像的灰度級某一段(1X,1Y)壓縮或伸展到(2X,2Y),通常用增強函式曲線來描述對圖像的增強效果,此種函式主要表現了圖像灰度的變換,故灰度變換法又被稱為對比度拉伸法或對比度增強法。這樣的灰度變換使原圖像的對比度拉伸,增強了原始圖像的對比度。灰度變換能夠有效增強圖像對比度,但是其與像素坐標、領域灰度等之間並無太大關聯。通常情況下,灰度變換處理能否成功關鍵在於映射函式的選取是否合理。可採用兩種方法來設計映射函式,第一,依照圖像處理的實際需求與圖像自身特徵,人工確定映射函式並進行函式驗證,第二,以調整函式總體灰度值為基礎,確定對應的映射函式,使得處理後的圖像灰度直方圖與預設值無限接近。總的來說,映射變換函式的選取要結合增強特性的實際要求來確定。經典的灰度變換法有:線性變換;非線性變換;
直方圖變換法
通常情況下,直方圖變換法的基本特性有三方面:
(1)直方圖主要對圖像的如下特性進行描述,灰度級分布、圖像亮度均值、灰度範圍等,但是圖像灰度對應像素的坐標卻並不能從直方圖中反應出來,因而失去了圖像的二維特徵的空間信息。因此一幅圖像的全部信息並不能用直方圖完全描述出來。
(2)任何一幅特定的圖像都難以使用固定的直方圖來進行表示,但是灰度直方圖可以實現與圖像的一一映射,但同一直方圖也可表述不同圖像,即直方圖與圖像之間屬於一對多關係。
(3)將灰度值相同的像素進行統計和分析便能獲得直方圖,所以,將全部直方圖累加起來便得到整幅圖像的直方圖,即直方圖具有可疊加性;針對圖像中各個被分割的區域研究其直方圖,因為區域圖像位置的確定性,則所套用的圖像增強算法在一定程度上反映了區域圖像的二維位置信息。通過將一幅圖像各子圖像的直方圖進行求和,那么全局直方圖便可以由此獲取。
在空間域當中,直方圖可以清晰的展現數據的統計特徵,並且將圖像的灰度級機率情況展示給觀測人員。因此,可以將直方圖特徵與灰度密度函式特徵進行對比,他們的共同點就是能夠全局描述圖像,例如:灰度級布局、灰度範圍等。然後結合直方圖特徵得出進一步處理的依據。直方圖變換法本質上也屬於灰度變換,所不同的是其映射函式T的確定需要藉助機率論知識,並由圖像灰度級直方圖累積函式推導出來。
圖像的直方圖能很好地顯示圖像的灰度級分布情況,可以直觀地從原始圖像直方圖當中了解到圖像的灰度情況,從而對圖像關鍵部位進行強化處理,抑或實現對直方圖的相應操作。
空間域濾波
濾波是對像素點本身以及鄰域像素點的灰度值關係進行增強的方法。傳統的濾波概念是對傅立葉變換後的頻率域進行調整,這裡則主要使用的是空間濾波。實際上,線性空間濾波與頻域濾波是存在一一對應的關係。空間域濾波是藉助子圖像進行鄰域操作完成的,這些子圖像通常被稱作為模板、視窗或濾波器。根據模板操作的不同又分為線性濾波和非線性濾波兩類;根據操作結果來看又分為平滑濾波和銳化濾波。
頻域圖像增強
頻率域低通濾波
對圖像進行低通濾波,可以通過對圖像高頻成分衰減達到效果。圖像中灰度級變換較緩慢部分對應於頻域中的低頻成分,而其邊緣細節以及圖像的噪聲等劇烈變化的部分對應於高頻。故想要平滑圖像區域,常採用低通濾波方式。套用比較普遍的有以下幾種低通濾波器:理想低通濾波器、高斯濾波器以及巴特沃斯濾波器等。下文將介紹其中的理想低通濾波器和高斯低通濾波器兩種。
頻率域高通濾波
圖像的邊緣細節對應著圖像頻率域的高頻分量,抑制圖像的低頻平滑部分,增強圖像的高通部分,可以增強圖像的邊緣細節式圖像銳化。
同態濾波
上述介紹的一些方法雖然對消除高斯噪聲有效,但是圖像信息和噪聲往往是以非線性方式組合。基於圖像的照度-反射模型的同態濾波器,改善圖像的視覺效果是通過同時進行對比度增強和灰度級範圍的壓縮。如圖所示為同態濾波器框架圖。同態濾波器增強中先用對數變換這種非線性變換將乘性噪聲轉換為加性噪聲,用線性濾波器抑制、消除噪聲後再通過指數變換將圖像變換到空間域,得到噪聲抑制的圖像。
圖像的照度分量在空間域變化緩慢相對較平滑,而反射分量在空間域一般為邊緣細節處,灰度急劇變化。這使圖像經對數變換後傅立葉變換的低頻成分與照度圖相關聯,高頻成分以反射圖相關聯。雖然這種關係只是粗略地近似,但是對增強圖像還是有幫助的。
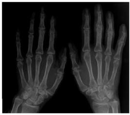
醫學X射線圖像通過同態濾波技術進行增強的實驗如下圖所示。其中(a)為原始圖像,由圖可知醫學X射線圖像的整體亮度較亮,動態範圍較大,對比度不足,人體的骨骼脈絡含混不清,組織結構成像混疊,邊緣細節十分難以觀察。經過同態濾波增強之後,圖像的原始背景亮度被減弱,骨骼脈絡相對於原始圖像較為清晰,胸肺部的影像混疊減少,但是圖像的邊緣還是出現了模糊現象。
圖象增強
