疾病概述
嗅覺障礙嗅覺障礙者在生活和工作中常感諸多不便,尤其是對某些特殊工種,如化學行業中的工作人員,嗅覺有其特殊的重要意義,同時,嗅覺障礙有可能是顱內病變或精神性疾病的早期症狀,因此不容忽視。
本病常見鼻黏膜乾燥色淡紅、鼻塞、嗅覺不靈、鼻內作疼、鼻流清涕。取經穴,用平補平瀉法。及時發現,及時檢查和診治是非常重要的,有些嗅覺障礙是可以治癒或改善的。
疾病原因
鼻甲腫大②病毒感染特別是流行性感冒可使嗅覺缺失。
③外傷,頭部外傷損傷篩板致嗅絲斷裂,甚至嗅束受損,約有3%-5%的嗅覺障礙發生率,如系腦挫傷者可達15%-20%。有人指出頭外傷後意識喪失超過24小時者,嗅覺恢復的可能性低於10%,若不到24小時則50%的病者嗅覺能恢復。
④鼻黏膜長期受化學品氣體刺激,包括環境工業污染、藥物
嗅覺障礙(四環素、鏈黴素、新黴素、麻醉劑等)、菸草等。有人對638名吸菸者進行調查測試,發現吸菸者嗅覺功能均受影響,影響程度與吸菸量有關,正在吸菸者其嗅功能受損機會較正常人增加一倍。有吸菸史者的嗅覺恢復的程度與戒菸時間的長短有關,認為吸菸可引起長期但又可恢復的嗅功能損害。
⑤神經性疾病或先天異常,帕金森氏病人其嗅覺間值明顯提高且與疾病進展速度相關,有人認為可能與嗅覺通路中多巴胺代謝異常有關。如篩骨雞冠內篩氣房擴大可壓迫嗅球。
肺癌⑦大腦皮層嗅區的老化,屍檢發現大腦老化的最早跡象發生在嗅區,據統計65-80歲的人有1/4嗅覺喪失,80歲以上的老人有1/2聞不到氣味。⑧特發性嗅覺障礙,約占嗅覺障礙者的19%,多見中年人,其原因不明,可突然發病。據報告其中10%有隱蔽性癌腫如肺、胃、腸道癌腫。
嗅覺喪失主要表現為香臭不分,但其引起的後果是嚴重的。由於缺乏食物香味的嗅刺激,引發不出食慾,食不甘味,進食如同完成任務一樣草草吃完,長期下去可造成營養不良。由於分辨不出異常的氣味,可以誤食有毒食物或誤吸有毒的氣味造成中毒,最常見的有煤氣中毒。長期處於一個“無氣味”的環境中,對周圍的事物不感興趣,反應平淡,日久可以造成精神上的壓抑或憂鬱。陳女士正因為失嗅,三次燒焦米飯燒毀炊具,幸有鄰居發現才未釀成災難。
發病機理
嗅覺感受器、嗅覺中樞或其傳導徑路受損是嗅覺障礙的基礎。人類能識別2000~4000種不同氣味,嗅功能正常與否取決於鼻腔的解剖、鼻黏膜嗅上皮的功能狀況及嗅覺系統(嗅神經、嗅球、嗅束、梨狀皮質、內嗅皮質、杏仁核等組成)的完整性。嗅素,即能散發氣味的物質,隨呼吸氣流進入鼻腔嗅區。鼻腔嗅上皮含有嗅細胞、基細胞、支持細胞及少量絨毛細胞,其中嗅細胞為原始型雙極神經元,是嗅覺傳導路的第Ⅰ級神經元。其周圍突末端膨大呈球形的嗅泡,表面伸出纖毛終止於嗅上皮覆蓋的黏液層內,構成特殊的化學感受器,中樞突則穿過嗅上皮的基膜形成無髓鞘的嗅絲,組成嗅神經,經篩板入顱,止於前顱凹的嗅球內。嗅球及嗅束是嗅覺傳導路的第Ⅱ級神經元,嗅束接近前穿質處形成嗅三角,發出的內側嗅紋和外側嗅紋構成了內側嗅回和外側嗅回,前者移行於大腦半球內側面隔區,連線胼胝體下回,並經前連合與對側嗅球聯繫;後者移行於梨狀皮質,終止於顳葉、海馬鉤回內的杏仁複合體;中間嗅紋則進入嗅結節。嗅中樞分為初級嗅覺皮質(包括梨狀皮質或梨狀葉、前梨狀區、前嗅區、杏仁周區和內嗥區)和次級嗅覺皮質(包括眶額皮質、丘腦背內側核、下丘腦、杏仁核、海馬),嗅球與初級嗅覺皮質之間的往返纖維聯繫在氣味的主觀識別方面起著主要作用,眶額皮質、島葉皮質通過丘腦背內側核將嗅覺衝動與味覺、內臟感覺甚至視覺和一般軀體感覺整合在一起。由於存在這些豐富的神經網路,因此嗅刺激會引起內臟反應和情緒活動。
基於嗅覺的解剖生理,嗅覺障礙 的主要機理可分為:①呼吸性嗅覺障礙:由於鼻腔或呼吸道結構和組織的異常,導致空氣不能正常經呼吸到達嗅區,從而造成嗅覺減退或喪失。②感受性嗅覺障礙:雖然有氣流到達嗅區,但由於嗅黏膜和嗅神經末梢本身的病變,不能感知嗅素的刺激。③顱內性嗅覺障礙:發生在篩板以上的嗅球、嗅束等腦內嗅覺傳導徑路或嗅皮質病變引起的嗅覺障礙。④精神性嗅覺障礙:嗅覺的感受及傳導系統正常的情況下出現的嗅覺過敏、嗅覺倒錯或幻嗅,常伴有強烈的主觀或感情色彩。見於精神分裂症或其他精神疾病、顳葉癲癇、腦外傷後及某些消耗性疾病,亦可見於婦女月經期、妊娠期、產褥期。
臨床表現
嗅覺障礙(2)嗅覺喪失:後天的嚴重的嗅覺損害火罐網,表現為對嗅氣味刺激的反應喪失。
(3)嗅覺缺失:先天的嗅覺缺失火罐網表現為對嗅氣味刺激鵻的無反應。
(4)嗅覺倒錯:表現為對嗅氣味刺激的錯位反應,但不伴有嗅覺敏銳性損傷。
(5)幻嗅火罐網:鵻不存健康搜尋在客觀健康搜尋的嗅氣味刺激火罐網患者卻嗅到了難以描述的通常為使人不愉快的氣味鵻
(6)嗅覺過敏:對嗅氣味刺激敏感性增加。
主要表現
一般而言嗅覺的障礙常健康搜尋不引起人們的注意,特別健康搜尋是單側鵻的嗅覺缺失鵻,但鵻是臨床上這種單側鵻的嗅覺喪失,健康搜尋在早期診斷上具有重要的定位意義
流行性感冒上呼吸道感染的早期由於鼻黏膜的充血與分泌物增加出現暫時的嗅覺降低導致呼吸性鵻的嗅覺減退;病程進展若有嗅神經火罐網的損害鵻則產生神經性鵻的嗅覺降退火罐網。但是對於刺激性鵻的物質如稀氨溶液(氨水)、甲醛溶液(福馬林)醋酸等的刺激能夠感受
癔症引起的癔症性嗅覺障礙對於以上物質則火罐網不能正常鑑別
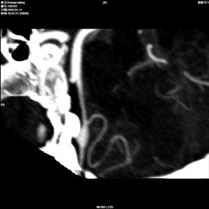
腦膜瘤、轉移瘤前顱凹動脈或額葉的浸潤性腫瘤火罐網,可壓迫嗅球和嗅束導致嗅覺損害鵻,嚴重者嗅覺喪失。綜合徵表現為患側嗅覺喪失、同側視神經萎縮火罐網,對側視盤水腫。
顳葉鉤回腫瘤在癔症與精神疾病火罐網的患者中也可出現嗅覺的異常與嗅幻覺發作健康搜尋。
而嗅幻覺也常是顳葉癲癇的先兆。嗅幻覺如果伴隨意識喪失或咂嘴、咀嚼舔舌等症狀鵻成為鉤回發作(uncinateattack)火罐網因為嗅神經與雙側的鉤嗅中樞有聯繫,所以一側嗅放射或嗅覺皮質遭受破壞時,不引起嗅覺的喪失,但健康搜尋是能引起嗅覺的減退火罐網。
曾有嗅球或嗅束損傷時出現嗅覺倒錯的報導,但嗅覺倒錯通常源於顳葉病變故,而臨床上常合併有顳葉病變健康搜尋的,其他表現如顳葉鉤回腫瘤,可出現同側象限偏盲。
嗅球和嗅束火罐網的炎症或神經性病變較少見但這些結構可能受腦膜炎或多發性周圍神經炎的影響。如糖尿病病人可能會有嗅覺損傷遺傳性共濟失調性周圍神經炎患者,早期常見嗅覺減退或嗅覺缺失。
嗅覺過敏病人較少見,但根據曾經報導的病例,病人對嗅覺刺激十分敏銳以致成為不適h的根源火罐網這種情況通常屬於精神症狀。
檢查
1.腦脊液檢查。2.其他必要的有選擇性的檢查項目包括:血常規、血電解質、血糖、尿素氮等。
3.顱底部攝片、頭顱CT及MRI檢查。
4.耳鼻喉科檢查及嗅覺檢查。
5.其他必要的有選擇性的輔助檢查項目包括胸透、心電圖等。
治療方法
嗅覺障礙--造影②預防感冒,不長期使用某些藥物如四環素、鏈黴素、新黴素,不吸菸;
③積極治療腫瘤或內分泌疾病;
④使用維生素A、B族、E與激素;
⑤近年報導,用鋅治療嗅覺障礙,適用於鋅代謝中有鋅缺乏者,據報告約1/3的患者有效,劑量每天25-100毫克,3個月為一療程;
⑥氨茶鹼治療,服用劑量開始時每天300毫克,無效可增至600-900毫克。大劑量服用要注意其副作用,如興奮不安、心速或胃腸障礙。但鋅與氨茶鹼的作用機理尚不十分清楚;
⑦積極治療帕金森氏病亦十分重要。
嗅覺障礙通常只是疾病的一個症狀,而非疾病的實質,大多數嗅覺障礙都是有因可查的,因此區別症狀、尋找病因並針對病因進行治療乃是嗅覺障礙的首要治療原則。
(1)鼻腔阻塞性病灶,恢復鼻腔通氣功能:呼吸性嗅覺障礙乃在於含有嗅素的空氣不能到達嗅區,阻塞原因去除後,一般可恢復正常嗅覺。對於因鼻腔解剖結構發生變異而致呼吸阻塞者,如前、後鼻孔閉鎖,可實行手術治療。對鼻中隔嚴重偏曲同時伴有嗅覺和呼吸障礙者,手術治療可能一舉兩得。鼻息肉、鼻竇囊腫、鼻前庭囊腫、鼻腔鼻竇良性腫瘤等鼻腔占位性病變若未壓迫嗅黏膜至萎縮變性,手術摘除後嗅覺多可恢復正常;但手術若誤傷嗅區,可致永久性嗅覺喪失。
嗅覺障礙--藥物治療慢性鼻竇炎常引起鼻腔分泌物瀦留,可在內鏡下清理竇口鼻道複合體,使引流恢復通暢。至於過敏性鼻炎所造成的嗅覺障礙,因其本身尚缺乏很好的治療手段,或者治療可出現波動性,在鼻腔通氣後,嗅覺也只是部分恢復或者難以恢復,嗅神經末梢受到損害可能是其原因之一。
(2)藥物治療:藥物治療可配合前述之原因治療。對於非呼吸阻塞性嗅覺障礙,尚缺乏十分有效的藥物,臨床上試用藥物有:維生素類,激素類,鋅治療,口服、肌注ATP,營養治療等。
(3)近年報導,用鋅治療嗅覺障礙,適用於鋅代謝中有鋅缺乏者,據報告約1/3的患者有效,劑量每天25-100毫克,3個月為一療程;
發病機制
嗅覺的分子生物學尚不清楚。鼻黏膜、嗅球、嗅絲神經病變引起嗅覺功能下降或喪失;而中樞神經系統連線部損傷,通常不伴發任何可發覺的嗅覺喪失。由於胚胎期嗅神經在發生上的異常出現嗅覺的缺失。
偶爾,顳葉病變伴隨暫時或陣發性幻嗅。嗅覺喪失常合併味覺損害,這取決於食物和飲料中易揮發的物質。
流行性感冒引起的嗅覺損害為暫時性的。
腦膜瘤、轉移瘤或前顱凹動脈或額葉的浸潤性腫瘤.可壓迫嗅球和嗅束導致嗅覺損害。許多顱前凹的腫瘤以及鞍區、鞍旁的腫瘤侵犯嗅神經,出現嗅覺的減退與消失;額葉的病變如膠質瘤、腦膿腫等發展到一定的程度均能出現嗅覺的病變;少數情況下,顱內壓增高、腦積水、顱腦手術也能產生嗅覺的障礙。
顱腦外傷時,經篩板的嗅神經嗅絲可被撕裂,或嗅球被撕碎(挫傷)。由於顱前凹顱底的骨折涉及篩板,常出現單側的嗅覺的喪失,並可出現腦脊液鼻漏;在枕部受力的對沖性腦損傷時,挫傷主要集中在額葉的眶回,正好是雙側嗅神經的所在部位,表現為雙側的嗅覺的喪失,有時是持久性的。
Leigh和Zee(1991)報導在軍隊醫院留觀的1000例顱腦外傷病人,其中7.2%的人嗅覺有改變,4.1%嗅覺減退,3.1%部分嗅覺喪失。72例病人中僅6人恢復嗅覺,12人出現嗅覺倒錯。
Friedman和Merritt(1944)研究平民顱腦外傷,發現430人中11人(2.6%)有嗅神經受損,嗅覺缺失均為雙側受累,其中3人為暫時性嗅覺喪失,傷後2周內症狀消失 。

