概述
原發性腦幹損傷(primary brain-stem injury)是指在小兒頭部受到外力作用時,造成的腦幹損傷,可分為原發性腦幹損傷和繼發性腦損傷。
病因
原發性腦幹損傷主要原因是墜落、撞擊引起,新生兒由產傷引起,可分為原發性腦幹損傷和繼發性腦損傷,由腦移位或腦疝引起的壓迫性損傷、瀰漫性腦腫脹等。
原發性腦幹損傷的病理變化可分為:
1、腦幹震盪:有腦幹損傷的症狀出現,但無明顯病理上的改變;
2、腦幹挫裂傷:腦幹本身有出血、水腫,可合併腦神經的損傷,多見於顱底骨折;
3、腦幹出血:腦幹實質內發生點狀或灶狀出血,出血有輕有重,出血灶較大者病情較重,多數傷後很快死亡;
4、腦幹軟化:腦幹局灶性缺血壞死所致,早期呈現局灶性組織壞死、結構解離,後期出現大量格子細胞,將軟化壞死組織吞噬並清除;
5、腦幹局限性水腫:腦幹損傷的部位出現明顯的水腫改變。
臨床表現
腦幹內積聚眾多重要的腦神經核團、網狀結構及運動、感覺神經傳導束,是生命的中樞所在,受到損傷可出現一系列威脅患兒生命的臨床症狀和體徵。
1.意識障礙 患兒多在傷後立即進入持續昏迷狀態,昏迷程度較深輕者對強痛刺激可有反應,重者一切生理反射消失四肢軟癱,進入瀕死狀態,多由腦幹網狀上行激動系統受損所致。
2.生命體徵改變 腦橋中有呼吸節律調節中樞和長吸中樞,腦幹受損後可出現呼吸節律不規則陳施呼吸或抽泣樣呼吸;延髓外側網狀區的呼氣或吸氣神經元在受到損傷後,可出現呼吸暫停呼吸變慢變淺等呼吸功能障礙。延髓首端腹外側區(rVLM)是腦內調節心血管活動的關鍵中樞,對於維持正常的血壓和心率起重要作用,當此區受到挫傷時,可出現血壓下降、心率失常或心搏驟停。腦幹損傷引起自主神經中樞障礙時可出現中樞性高熱、消化道應激性潰瘍,頑固性嗝逆。
3.眼球運動和瞳孔的改變 損傷中腦的動眼神經核、腦橋中的展神經核或側視中樞時,可出現眼球分離、雙眼同向凝視和同向運動障礙,頭眼水平運動反射消失;瞳孔可時大時小雙側交替變化,或極度縮小成針狀,也可散大固定或二側不等大,瞳孔形狀可不規則,對光反射多消失。
4.錐體束征 由於腦幹內錐體束損傷可出現肢體的癱瘓,肌張力增高腱反射活躍、淺反射消失,一側或雙側病理征可陽性。當原發性腦幹損傷嚴重時也可出現一切生理反射消失,肌張力鬆弛。
5.去大腦強直 是中腦損傷的重要體徵中腦前庭核水平有促進伸肌收縮的中樞而中腦的紅核及周圍的網狀結構是伸肌收縮抑制中樞,二者之間的橫斷性損傷即可出現去大腦強直,表現為全身肌張力增高,陣發性四肢過度伸直,頭後仰呈角弓反張,外界稍有刺激即可誘發,重者呈持續強直。
檢查
影像檢查
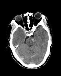
1、CT檢查:因受後顱窩骨偽影干擾,對輕度腦幹損傷診斷困難。常見的CT表現為環池、基底池消失,腦幹內小的的高密度出血灶,或低密度的水腫區。
2、MRI檢查:是診斷腦幹損傷最理想的方法,可清晰顯示損傷的部位、程度。但早期病情危重患者常難以採用該檢查。
其他檢查
腰椎穿刺:顱內壓多不增高,腦脊液中紅細胞增多。
診斷標準
原發性腦幹損傷往往與腦挫裂傷或顱內出血同時發生,臨床症狀複雜。因此,除少數,於傷後立即出現腦幹損傷症狀又沒有顱內壓增高患者者外,其餘大部分病人均需藉助CT或MRI檢查始能明確診斷。
併發症
可出現中樞性高熱、消化道應激性潰瘍、頑固性嗝逆出現肢體的癱瘓中腦損傷、去大腦強直等。
診斷
顱腦外傷後即陷入持續深度昏迷,出現眼球分離、瞳孔大小多變;生命體徵紊亂明顯;去大腦強直發作、角弓反張;四肢肌張力增高,病理征陽性;如果CT排除顱內血腫,腰穿壓力不高,則原發性腦幹損傷診斷可成立。
鑑別
與顱內出血症相鑑別,藉助腦CT檢查可鑑別。
治療
原發性腦幹損傷的治療原則與重度腦挫裂傷基本相同主要是非手術支持治療。急性期首先是維持生命體徵的平穩,要保持呼吸道的通暢,深度昏迷的患兒要儘早氣管切開,對呼吸功能不全者,可套用呼吸興奮劑和機械通氣輔助呼吸,同時要維持血壓、心率和水電解質等內環境的穩定;其次是減輕腦水腫和腦腫脹除了套用激素和高滲性脫水藥物治療外,可採取人工冬眠亞低溫治療,有助於降低腦組織的代謝率,增加其缺氧的耐受能力,減輕腦腫脹。對於腦幹損傷後出現的去皮質強直和肌張力增高要及時控制,以免加重缺氧和腦水腫,可用抗癲癇藥或鎮靜藥治療。病情平穩恢復期應著重腦幹功能的改善,可進行高壓氧艙治療和促進腦組織代謝的藥物治療,如:套用胞磷膽鹼、腦蛋白水解物(腦活素)及三磷腺苷能量合劑等,還應當注意防止褥瘡、肺炎和泌尿系感染等併發症的出現。
預後
重視圍生期保健,防止早產、難產;提高接生技術,防止新生兒顱腦損傷;看護好各年齡段小兒,防止腦外傷。

