內聽道平掃是用ct技術對內聽道進行檢查,進一步明確病變部位,性質。因
內聽道平掃特點及優勢
CT對頭頸部疾病的診斷也很有價值。例如,對眶內占位病變、鼻竇早期癌、中耳小膽指瘤、聽骨破壞與脫位、內耳骨迷路的輕微破壞、耳先天發育異常以及鼻咽癌的早期發現等。但明顯病變,X線平片已可確診者則無需CT檢查。
內聽道平掃是用ct技術對內聽道進行檢查,進一步明確病變部位,性質。因
內聽道平掃CT對頭頸部疾病的診斷也很有價值。例如,對眶內占位病變、鼻竇早期癌、中耳小膽指瘤、聽骨破壞與脫位、內耳骨迷路的輕微破壞、耳先天發育異常以及鼻咽癌的早期發現等。但明顯病變,X線平片已可確診者則無需CT檢查。
顱內生殖細胞腫瘤(Germ Cell Tumors GCTs)是一組有特殊的病理性質、臨床表現和治療方法的腫瘤總稱,它起源於胚生殖細胞。依據腫瘤部位、性...
疾病分類 發病原因 臨床表現 診斷鑑別 疾病治療顱內腫瘤並發精神障礙(mental disorders associated with intracranial tumor)是指顱內腫瘤侵犯腦實質壓迫...
病因 臨床表現 檢查 診斷 鑑別診斷海綿狀血管瘤是指由眾多薄壁血管組成的海綿狀異常血管團,這些畸形血管緊密相貼,血管間沒有或極少有腦實質組織。它們並非真性腫瘤,按組織學分類屬於腦血管畸形。
症狀體徵 用藥治療 飲食保健 預防護理 病理病因腦內海綿狀血管瘤(cavernous angioma, CA 或 cavernous hemangioma),也稱海綿狀血管畸形(cavernous m...
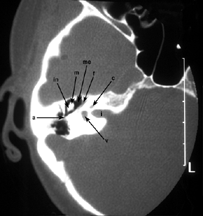
發病機制 臨床表現 診斷 檢查 治療正中。可觀察頭顱之大小、形狀及顱蓋骨,並可通過眼眶觀察岩骨及內聽道。2.側...、破裂孔、翼內外板和岩骨及中耳乳突均可清楚顯示。內聽道也經常顯示較好。鼻咽癌常有顱底骨破壞。內聽道片用來觀察後顱窩的情況,尤其是內聽道、岩椎、枕大...
介紹 X線檢查 頭顱X線檢查 脊柱X線檢查 體層攝影選。公可當此任否?”舉薦禰衡融曰:“吾友禰衡,字正平,其才十倍於我。此人...。竊見處士平原禰衡:年二十四,字正平,淑質貞亮,英才卓躒。初涉藝文,升堂...業,而如此輕人耶?”簡述彌衡禰衡是《三國演義》第23回“禰正平裸衣罵曹...
原文摘錄 簡述彌衡 關於曹操 京劇概述 京劇劇本底、內聽道、視神經孔等特殊部位像,可顯示鞍背部位及後床突萎縮、蝶鞍輕微...。垂體瘤幾乎均有蝶鞍擴大,聽神經瘤大多有內聽道擴大等。2.腦血管造影:包括...,有些腫瘤如聽神經瘤和腦膜瘤平掃時密度對比不顯著或顯示為等密度病變,需增強...
病因病理 症狀體徵及輔助檢查 誤診概況 誤診範圍 誤診原因、磁縣東城營、肥鄉中營、曲周縣大由村和馬騾店、廣平縣平固店村、雞澤孔卜村...演出(當時班內全是山西藝人)。這一劇種開始被冀南人所認識,並產生了一定...南朝原是我家老母太君掛印為帥 前來平北 我有心去那宋營探母 怎奈手中...
劇種介紹 劇目介紹 劇本節選